GGCT Antibody
-
中文名稱:GGCT兔多克隆抗體
-
貨號:CSB-PA009387LA01HU
-
規格:¥440
-
圖片:
-
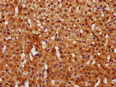
IHC image of CSB-PA009387LA01HU diluted at 1:400 and staining in paraffin-embedded human adrenal gland tissue performed on a Leica BondTM system. After dewaxing and hydration, antigen retrieval was mediated by high pressure in a citrate buffer (pH 6.0). Section was blocked with 10% normal goat serum 30min at RT. Then primary antibody (1% BSA) was incubated at 4°C overnight. The primary is detected by a biotinylated secondary antibody and visualized using an HRP conjugated SP system.
-
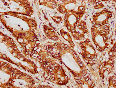
IHC image of CSB-PA009387LA01HU diluted at 1:400 and staining in paraffin-embedded human colon cancer performed on a Leica BondTM system. After dewaxing and hydration, antigen retrieval was mediated by high pressure in a citrate buffer (pH 6.0). Section was blocked with 10% normal goat serum 30min at RT. Then primary antibody (1% BSA) was incubated at 4°C overnight. The primary is detected by a biotinylated secondary antibody and visualized using an HRP conjugated SP system.
-
-
其他:
產品詳情
-
產品名稱:Rabbit anti-Homo sapiens (Human) GGCT Polyclonal antibody
-
Uniprot No.:
-
基因名:GGCT
-
別名:C7orf24 antibody; CRF21 antibody; Cytochrome c-releasing factor 21 antibody; Gamma glutamyl cyclotransferase antibody; Gamma-glutamylcyclotransferase antibody; GCTG antibody; GGC antibody; Ggct antibody; GGCT_HUMAN antibody
-
宿主:Rabbit
-
反應種屬:Human
-
免疫原:Recombinant Human Gamma-glutamylcyclotransferase protein (54-188AA)
-
免疫原種屬:Homo sapiens (Human)
-
標記方式:Non-conjugated
本頁面中的產品,GGCT Antibody (CSB-PA009387LA01HU),的標記方式是Non-conjugated。對于GGCT Antibody,我們還提供其他標記。見下表:
-
克隆類型:Polyclonal
-
抗體亞型:IgG
-
純化方式:>95%, Protein G purified
-
濃度:It differs from different batches. Please contact us to confirm it.
-
保存緩沖液:Preservative: 0.03% Proclin 300
Constituents: 50% Glycerol, 0.01M PBS, pH 7.4 -
產品提供形式:Liquid
-
應用范圍:ELISA, IHC
-
推薦稀釋比:
Application Recommended Dilution IHC 1:200-1:500 -
Protocols:
-
儲存條件:Upon receipt, store at -20°C or -80°C. Avoid repeated freeze.
-
貨期:Basically, we can dispatch the products out in 1-3 working days after receiving your orders. Delivery time maybe differs from different purchasing way or location, please kindly consult your local distributors for specific delivery time.
-
用途:For Research Use Only. Not for use in diagnostic or therapeutic procedures.
相關產品
靶點詳情
-
功能:Catalyzes the formation of 5-oxoproline from gamma-glutamyl dipeptides and may play a significant role in glutathione homeostasis. Induces release of cytochrome c from mitochondria with resultant induction of apoptosis.
-
基因功能參考文獻:
- GGCT is highly upregulated in HGSC tissues and associated with FIGO stage, lymph node metastasis and ascitic fluid volume. High expression of GGCT is associated with poor survival in HGSC patients. PMID: 29429592
- Taken together, the results indicate that PHB2 plays a central role in p21 upregulation following GGCT knockdown and as such may promote deregulated proliferation of cancer cells by suppressing p21. PMID: 29307834
- GGCT plays a critical role in glioma cell proliferation and may be a potential cancer therapeutic target. PMID: 26828272
- GGCT is promising as a diagnostic marker and a therapeutic target for various cancers. This review summarizes these interesting findings. PMID: 26339607
- G6PD, GGCT, IDH1, isocitrate dehydrogenase 2 (NADP+,mitochondrial) (IDH2) and glutathione S-transferase pi 1(GSTP1), five of the critical components of GSH pathway, contribute to chemoresistance. PMID: 25818003
- GGCT plays a critical role in lung cancer cell proliferation. PMID: 25941902
- Transcriptional silencing of the C7orf24 gene in the non-malignant cells is elicited through heterochromatin formation in its promoter region. PMID: 23853312
- increased expression of GGCT was a common event among invasive esophageal squamous cell carcinoma tissues regardless of the depth of invasion. Lymph node metastasis and tumor differentiation correlated with GGCT expression PMID: 24342434
- C7orf24 has been recognized as a potent marker for bladder and breast cancers. Studies on the role of gamma-glutamylcyclotransferace may aid in the control of malignant transformation of these cancers. PMID: 23513927
- GGCT may be a biomarker of tumors in a limited range of organs. PMID: 22205682
- C7orf24 overexpression defines a subgroup of breast tumors with poor clinical outcome. PMID: 20527979
- CRF21 might play an important role in the induction of apoptosis by GGO in leukemia U937 cells. PMID: 16765912
- presence of extra electron density/ligands and conservation at the sequence and structure levels, it is likely that the cavity has a crucial role in the function of LOC79017 and its structural neighbors possibly as an active site or ligand-binding site PMID: 17932939
- The GGCT gene is located on chromosome 7p14-15 and consists of four exons that span 8 kb, the primary sequence is 188 amino acids in length and is unlike any protein of known function PMID: 18515354
顯示更多
收起更多
-
蛋白家族:Gamma-glutamylcyclotransferase family
-
數據庫鏈接:
Most popular with customers
-
YWHAB Recombinant Monoclonal Antibody
Applications: ELISA, WB, IHC, IF, FC
Species Reactivity: Human, Mouse, Rat
-
Phospho-YAP1 (S127) Recombinant Monoclonal Antibody
Applications: ELISA, WB, IHC
Species Reactivity: Human
-
-
-
-
-
-















