GAS7 Antibody
-
中文名稱:GAS7兔多克隆抗體
-
貨號:CSB-PA965093
-
規格:¥1100
-
圖片:
-
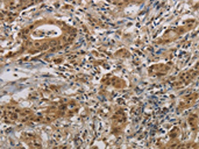
The image is immunohistochemistry of paraffin-embedded Human liver cancer tissue using CSB-PA965093(GAS7 Antibody) at dilution 1/30. (Original magnification: ×200)
-
The image is immunohistochemistry of paraffin-embedded Human gastric cancer tissue using CSB-PA965093(GAS7 Antibody) at dilution 1/30. (Original magnification: ×200)
-
Gel: 8%SDS-PAGE, Lysate: 40 μg, Lane 1-2: Human fetal brain tissue, mouse brain tissue, Primary antibody: CSB-PA965093(GAS7 Antibody) at dilution 1/600, Secondary antibody: Goat anti rabbit IgG at 1/8000 dilution, Exposure time: 40 seconds
-
-
其他:
產品詳情
-
Uniprot No.:
-
基因名:GAS7
-
別名:GAS 7 antibody; GAS-7 antibody; Gas7 antibody; GAS7_HUMAN antibody; Growth arrest specific 7 antibody; Growth Arrest Specific Protein 7 antibody; Growth arrest-specific protein 7 antibody; KIAA0394 antibody; MGC1348 antibody; MLL/GAS7 antibody; MLL/GAS7 fusion protein antibody
-
宿主:Rabbit
-
反應種屬:Human,Mouse,Rat
-
免疫原:Fusion protein of Human GAS7
-
免疫原種屬:Homo sapiens (Human)
-
標記方式:Non-conjugated
-
抗體亞型:IgG
-
純化方式:Antigen affinity purification
-
濃度:It differs from different batches. Please contact us to confirm it.
-
保存緩沖液:-20°C, pH7.4 PBS, 0.05% NaN3, 40% Glycerol
-
產品提供形式:Liquid
-
應用范圍:ELISA,WB,IHC
-
推薦稀釋比:
Application Recommended Dilution ELISA 1:2000-1:5000 WB 1:500-1:2000 IHC 1:50-1:200 -
Protocols:
-
儲存條件:Upon receipt, store at -20°C or -80°C. Avoid repeated freeze.
-
貨期:Basically, we can dispatch the products out in 1-3 working days after receiving your orders. Delivery time maybe differs from different purchasing way or location, please kindly consult your local distributors for specific delivery time.
-
用途:For Research Use Only. Not for use in diagnostic or therapeutic procedures.
相關產品
靶點詳情
-
功能:May play a role in promoting maturation and morphological differentiation of cerebellar neurons.
-
基因功能參考文獻:
- Polymorphism rs11656696 is not associated with primary open angle glaucoma (POAG) nor any of its endophenotypic traits such as intraocular pressure and cup/disk ratio and is thus not a risk factor for POAG in this Saudi cohort PMID: 29022762
- Collectively, our findings provide a novel basis for using miR-181a/GAS7-based therapeutic strategies to reverse gefitinib resistance in NSCLC. PMID: 29269300
- Among 8 SNPs in 3 loci that showed at least nominal association (P < 5.00E-02) in the primary cohort, a representative SNP for each loci (rs2157719 for CDKN2B-AS1, rs33912345 for SIX6, and rs9913911 for GAS7) were selected PMID: 29261660
- These results demonstrate GAS7 as a susceptibility gene for schizophrenia. PMID: 27189492
- Low GAS7C increases cancer cell motility by promoting N-WASP/FAK/F-actin cytoskeleton dynamics. It also enhances beta-catenin stability via hnRNP U/beta-TrCP complex formation. PMID: 26506240
- We conclude that lower neuronal Gas7b levels may impact Alzheimer disease progression. PMID: 24151073
- The results suggest that regulation to maintain an appropriate concentration of hGas7b is required for healthy neurotransmission. PMID: 22496485
- These findings indicate that Gas7 is involved in motor neuron function associated with muscle strength maintenance. PMID: 22662195
- Intraocular pressure (IOP)was significantly associated with rs11656696, located in GAS7 at 17p13.1 and with rs7555523, located in TMCO1 at 1q24.1.These data suggest that we have identified two clinically relevant genes involved in IOP regulation. PMID: 22570627
- regulates the differentiation of mesenchymal stem cells into osteoblasts by enhancing Runx2-dependent gene expression PMID: 21452305
- Knockdown of Gas7 by shRNA preferentially suppressed the Gas7b protein isoform in human preneuronal cells and to reduce apoptosis induced either by serum starvation or by the antineoplastic agents in human neuroblastoma SH-SY5Y cells. PMID: 20890993
- This work reports the identification of two human Gas7 cDNA: hGas7-a with 2,427 nucleotides, which encodes 330 amino acids, and hGas7-b with 2,610 nucleotides, which encodes 412 amino acids according to predicted open-reading-frames. PMID: 15948147
- hGas7b has a role in microtubular maintenance and is possibly implicated in Alzheimer disease PMID: 19801671
顯示更多
收起更多
-
相關疾病:A chromosomal aberration involving GAS7 is found in acute myeloid leukemia. Translocation t(11;17)(q23;p13) with KMT2A/MLL1.
-
亞細胞定位:Cytoplasm.
-
數據庫鏈接:
Most popular with customers
-
YWHAB Recombinant Monoclonal Antibody
Applications: ELISA, WB, IHC, IF, FC
Species Reactivity: Human, Mouse, Rat
-
Phospho-YAP1 (S127) Recombinant Monoclonal Antibody
Applications: ELISA, WB, IHC
Species Reactivity: Human
-
-
-
-
-
-















