GAS2L1 Antibody
-
中文名稱:GAS2L1兔多克隆抗體
-
貨號:CSB-PA859511ESR2HU
-
規格:¥440
-
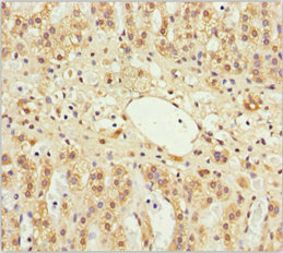
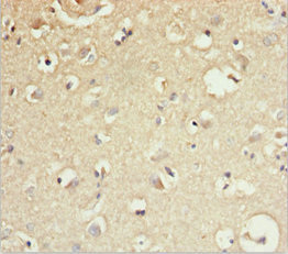
圖片:
-
其他:
產品詳情
-
產品名稱:Rabbit anti-Homo sapiens (Human) GAS2L1 Polyclonal antibody
-
Uniprot No.:
-
基因名:GAS2L1
-
別名:GA2L1_HUMAN antibody; GAR 22 antibody; GAR22 antibody; GAS2 like protein 1 antibody; GAS2 related protein on chromosome 22 antibody; GAS2-like protein 1 antibody; GAS2-related protein on chromosome 22 antibody; GAS2L1 antibody; Growth arrest specific 2 like 1 antibody; Growth arrest specific protein 2 like 1 antibody; Growth arrest-specific protein 2-like 1 antibody; MGC17243 antibody
-
宿主:Rabbit
-
反應種屬:Human
-
免疫原:Recombinant Human GAS2-like protein 1 protein (130-400AA)
-
免疫原種屬:Homo sapiens (Human)
-
標記方式:Non-conjugated
-
克隆類型:Polyclonal
-
抗體亞型:IgG
-
純化方式:Antigen Affinity Purified
-
濃度:It differs from different batches. Please contact us to confirm it.
-
保存緩沖液:PBS with 0.02% sodium azide, 50% glycerol, pH7.3.
-
產品提供形式:Liquid
-
應用范圍:ELISA, IHC
-
推薦稀釋比:
Application Recommended Dilution IHC 1:20-1:200 -
Protocols:
-
儲存條件:Upon receipt, store at -20°C or -80°C. Avoid repeated freeze.
-
貨期:Basically, we can dispatch the products out in 1-3 working days after receiving your orders. Delivery time maybe differs from different purchasing way or location, please kindly consult your local distributors for specific delivery time.
-
用途:For Research Use Only. Not for use in diagnostic or therapeutic procedures.
相關產品
靶點詳情
-
功能:Involved in the cross-linking of microtubules and microfilaments. Regulates microtubule dynamics and stability by interacting with microtubule plus-end tracking proteins, such as MAPRE1, to regulate microtubule growth along actin stress fibers.
-
基因功能參考文獻:
- This work reveals a GAS2L1-mediated centriole-tethering mechanism of microtubules and actin, which provide the forces required for centrosome dynamics and separation. PMID: 28017616
- GAS2L1 and GAS2L2 are differentially involved in mediating the crosstalk between F-actin and microtubules. PMID: 24706950
- There was no significant difference in the frequency six marker haplotype in the GAS2L1 gene between the cases of schizophreina and controls. PMID: 20537721
- The beta isoforms of hGAR17 and hGAR22 appear to be able to crosslink microtubules and microfilaments PMID: 12584248
- T3-induced genes identified basic transcription element binding protein 1/Kruppel-like factor 9 (BTEB1/KLF9) and GAR22 as TR target genes PMID: 19375645
顯示更多
收起更多
-
亞細胞定位:Cytoplasm, cytoskeleton. Cytoplasm, cytoskeleton, stress fiber.
-
蛋白家族:GAS2 family
-
數據庫鏈接:
Most popular with customers
-
-
YWHAB Recombinant Monoclonal Antibody
Applications: ELISA, WB, IHC, IF, FC
Species Reactivity: Human, Mouse, Rat
-
Phospho-YAP1 (S127) Recombinant Monoclonal Antibody
Applications: ELISA, WB, IHC
Species Reactivity: Human
-
-
-
-
-
VDAC1 Recombinant Monoclonal Antibody
Applications: ELISA, WB, IHC
Species Reactivity: Human, Mouse, Rat















