GAS1 Antibody
-
中文名稱:GAS1兔多克隆抗體
-
貨號:CSB-PA063689
-
規格:¥1100
-
圖片:
-
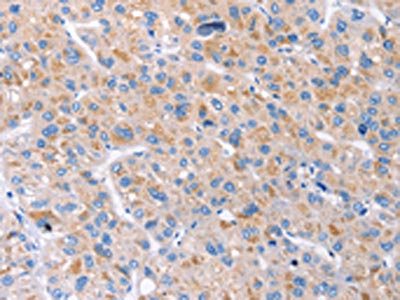
The image on the left is immunohistochemistry of paraffin-embedded Human liver cancer tissue using CSB-PA063689(GAS1 Antibody) at dilution 1/20, on the right is treated with synthetic peptide. (Original magnification: ×200)
-
Gel: 8%SDS-PAGE, Lysate: 40 μg, Lane 1-2: 293T cells, human kidney tissue, Primary antibody: CSB-PA063689(GAS1 Antibody) at dilution 1/100, Secondary antibody: Goat anti rabbit IgG at 1/8000 dilution, Exposure time: 3 minutes
-
-
其他:
產品詳情
-
Uniprot No.:
-
基因名:
-
別名:GAS-1 antibody; Gas1 antibody; GAS1_HUMAN antibody; Growth arrest-specific protein 1 antibody; Growth-arrest-specific protein 1 precursor antibody
-
宿主:Rabbit
-
反應種屬:Human
-
免疫原:Synthetic peptide of Human GAS1
-
免疫原種屬:Homo sapiens (Human)
-
標記方式:Non-conjugated
-
抗體亞型:IgG
-
純化方式:Antigen affinity purification
-
濃度:It differs from different batches. Please contact us to confirm it.
-
保存緩沖液:-20°C, pH7.4 PBS, 0.05% NaN3, 40% Glycerol
-
產品提供形式:Liquid
-
應用范圍:ELISA,WB,IHC
-
推薦稀釋比:
Application Recommended Dilution ELISA 1:1000-1:2000 WB 1:200-1:1000 IHC 1:10-1:50 -
Protocols:
-
儲存條件:Upon receipt, store at -20°C or -80°C. Avoid repeated freeze.
-
貨期:Basically, we can dispatch the products out in 1-3 working days after receiving your orders. Delivery time maybe differs from different purchasing way or location, please kindly consult your local distributors for specific delivery time.
-
用途:For Research Use Only. Not for use in diagnostic or therapeutic procedures.
相關產品
靶點詳情
-
功能:Specific growth arrest protein involved in growth suppression. Blocks entry to S phase. Prevents cycling of normal and transformed cells.
-
基因功能參考文獻:
- Studies establish Gas1 as a negative regulator in colorectal cancer. PMID: 27401611
- These results demonstrated that miR-184 and the GAS1/Akt pathway may be a potential therapeutic target for intervertebral disc degeneration. PMID: 26805687
- WT1 modulates Akt/JNK signaling pathway mediated autophagy by controlling the expression of growth arrest-specific 1 (Gas1). PMID: 27453337
- Downregulation of GAS1 is associated with clear cell renal cell carcinoma. PMID: 28184927
- the synergistic effect of Gas1 inhibition and GDNF against glutamate-induced cell injury in human SH-SY5Y neuroblastoma cells, is reported. PMID: 26215053
- solutions structure and biophysical characterization of the multifaceted signalling effector protein growth arrest specific-1 PMID: 25888394
- This review summarizes the structure of Gas1 and molecular mechanism of action during embryonic development and cellular functions. PMID: 25429664
- GAS1 is a novel endogenous inhibitor of glomerular mesangial cell proliferation. PMID: 23254899
- Growth arrest-specific gene 1 is downregulated and inhibits tumor growth in gastric cancer. PMID: 22846196
- GAS1 induced the activity of caspase-3 and resulting in apoptosis of the cells. PMID: 22311470
- Interference of endoplasmic reticulum to Golgi transport increased immature amyloid beta protein precursor accumulation upon Gas1 expression in lipid raft fractions. PMID: 21971401
- we demonstrate that sequence variants in GAS1 can impair its physical interaction with SHH, suggesting a decrease in the SHH downstream signaling cascade as a pathogenic mechanism of disease. PMID: 21842183
- Gas1 is a novel APP-interacting protein involved in the control of APP maturation and processing. PMID: 21357679
- Growth arrest-specific gene 1 contributes to predicting metastasis or recurrence in stage II and III colorectal cancer. PMID: 21111449
- GAS1 could be considered a candidate locus for one of the types of human holoprosencephaly. PMID: 20583177
- Gas1 is related to the GDNF alpha receptors and regulates Ret signaling PMID: 16551639
- This review considers the possible involvement of GAS1 in genetic diseases, stem cell renewal, and cancer growth through its cooperative activity with Hedgehog (HH) growth factor and the HH receptor. PMID: 17726382
- Gas1 is a molecule involved in cell arrest that can induce apoptosis when over-expressed in different cell lines. PMID: 18394855
- Gas1 has all the expected properties of a melanoma tumor suppressor: suppression of metastasis in a spontaneous metastasis assay, promotion of apoptosis following dissemination of cells to secondary sites, and down-regulation in human melanoma metastasis. PMID: 18981472
- Results present evidence demonstrating that Gas1 exerts its effects inhibiting cell growth and inducing apoptosis of glioma cells in the absence of Shh. PMID: 19460624
- Results suggest that GAS1 might be a target to overcome multidrug resistance and provide a novel approach to identifying candidate genes that suppress chemoresistance of gastric cancers. PMID: 19638344
- GAS1 is preferentially expressed by human bulge cells, compared to differentiated hair follicle keratinocytes PMID: 20050020
顯示更多
收起更多
-
亞細胞定位:Cell membrane; Lipid-anchor, GPI-anchor.
-
數據庫鏈接:
Most popular with customers
-
-
Phospho-YAP1 (S127) Recombinant Monoclonal Antibody
Applications: ELISA, WB, IHC
Species Reactivity: Human
-
-
-
-
-
-
VDAC1 Recombinant Monoclonal Antibody
Applications: ELISA, WB, IHC
Species Reactivity: Human, Mouse, Rat















