GALNT2 Antibody
-
中文名稱:GALNT2兔多克隆抗體
-
貨號:CSB-PA605995ESR1HU
-
規格:¥440
-
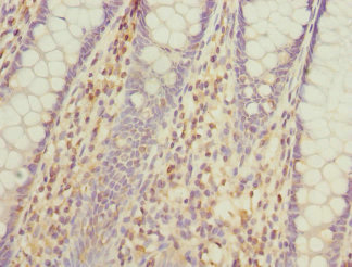
圖片:
-
其他:
產品詳情
-
產品名稱:Rabbit anti-Homo sapiens (Human) GALNT2 Polyclonal antibody
-
Uniprot No.:
-
基因名:GALNT2
-
別名:GalNAc T2 antibody; GalNAc-T2 antibody; Galnt2 antibody; GALT2_HUMAN antibody; GaNTase 2 antibody; Polypeptide GalNAc transferase 2 antibody; Polypeptide N acetylgalactosaminyltransferase 2 antibody; Polypeptide N acetylgalactosaminyltransferase 2 soluble form antibody; Polypeptide N-acetylgalactosaminyltransferase 2 soluble form antibody; pp GaNTase 2 antibody; pp-GaNTase 2 antibody; Protein UDP acetylgalactosaminyltransferase 2 antibody; Protein-UDP acetylgalactosaminyltransferase 2 antibody; UDP GalNAc transferase 2 antibody; UDP N acetyl alpha D galactosamine:polypeptide N acetylgalactosaminyltransferase 2 (GalNAc T2) antibody; UDP N acetyl alpha D galactosamine:polypeptide N acetylgalactosaminyltransferase 2 antibody; UDP-GalNAc:polypeptide N-acetylgalactosaminyltransferase 2 antibody
-
宿主:Rabbit
-
反應種屬:Human
-
免疫原:Recombinant Human Polypeptide N-acetylgalactosaminyltransferase 2 protein (442-571AA)
-
免疫原種屬:Homo sapiens (Human)
-
標記方式:Non-conjugated
-
克隆類型:Polyclonal
-
抗體亞型:IgG
-
純化方式:Antigen Affinity Purified
-
濃度:It differs from different batches. Please contact us to confirm it.
-
保存緩沖液:PBS with 0.02% sodium azide, 50% glycerol, pH7.3.
-
產品提供形式:Liquid
-
應用范圍:ELISA, IHC
-
推薦稀釋比:
Application Recommended Dilution IHC 1:20-1:200 -
Protocols:
-
儲存條件:Upon receipt, store at -20°C or -80°C. Avoid repeated freeze.
-
貨期:Basically, we can dispatch the products out in 1-3 working days after receiving your orders. Delivery time maybe differs from different purchasing way or location, please kindly consult your local distributors for specific delivery time.
-
用途:For Research Use Only. Not for use in diagnostic or therapeutic procedures.
相關產品
靶點詳情
-
功能:Catalyzes the initial reaction in O-linked oligosaccharide biosynthesis, the transfer of an N-acetyl-D-galactosamine residue to a serine or threonine residue on the protein receptor. Has a broad spectrum of substrates for peptides such as EA2, Muc5AC, Muc1a, Muc1b. Probably involved in O-linked glycosylation of the immunoglobulin A1 (IgA1) hinge region. Involved in O-linked glycosylation of APOC-III, ANGPTL3 and PLTP. It participates in the regulation of HDL-C metabolism.
-
基因功能參考文獻:
- GALNT2 rs12040273 variants might not be associated with the susceptibility of coronary artery disease or its severity in a Chinese Han population. The CC genotype could be associated with elevated serum HDL-C levels. PMID: 29351739
- Our results indicate that GALNT2 suppresses the malignant potential of gastric adenocarcinoma cells PMID: 26848976
- The crystal structure of GalNAc-T2 with the galactose derivative traps the enzyme in an inactive form; this suggests that compounds only containing the beta-phosphate could be efficient ligands for the enzyme. Computational studies with GalNAc-T2 corroborate these findings and provide further insights into the mechanism of the catalytic cycle of this family of enzymes. PMID: 27071848
- These results posit GALNT2 as a direct modulator of high density lipoprotein metabolism across mammals. PMID: 27508872
- Our data suggest a role of GALNT2 expression changes on serum triglycerides. PMID: 26239958
- This study demonstrates that the polypeptide GalNAc-transferase 2 (GalNAc-T2) specifically O-glycosylates beta 1-adrenergic receptor at five residues in the extracellular N terminus, including the Ser-49 residue at the location of the common S49G single-nucleotide polymorphism. PMID: 28167537
- The presence of lectin domain T3lec or T4lec during ppGalNAc-T2 and ppGalNAc-T3 catalytic reaction had a clear inhibitory effect on GalNAc-T activity. PMID: 27738109
- Possible inter-locus interactions among the DOCK7, PCSK9 and GALNT2 SNPs were also noted. PMID: 26493351
- Differences in lipid profiles between the Jing and Han populations might partially attribute to the DOCK7, PCSK9 and GALNT2 gene polymorphisms and their haplotypes determining different risk for the development of cardiovascular diseases. PMID: 26744084
- The results suggest that rs4846913 and rs2144300 drive the association to HDL-C plasma levels through an inhibitory regulation of GALNT2. PMID: 26817450
- The present work indicates that SNP rs4846914 in GALNT2 gene is related to an increased risk of hypertension in China Han population, but the APOE gene is not. PMID: 26405973
- Multiple hepatic regulatory variants at the GALNT2 GWAS locus have been found associated with high-density lipoprotein cholesterol. PMID: 26637976
- Downregulation of GALNT2 is associated with IgA nephropathy. PMID: 25744272
- Our findings suggest that GALNT2 regulates malignant phenotypes of neuroblastoma cells PMID: 25362349
- promoter DNA hypermethylation of the ABCG1 and GALNT2 genes, but not the HMGCR gene, is associated with an increased risk of CHD. PMID: 25084356
- genome-wide association study in population in Finland: Data suggest that one SNP in GALNT2 (rs6684432) and two SNPs in VDBP (vitamin D binding protein; rs7041, rs705117) are associated with serum levels of VDBP in the male population studied. PMID: 24740207
- findings suggest that GALNT2 plays an important role in the invasive behavior of OSCC and that targeting GALNT2 could be a promising approach for OSCC therapy PMID: 24582885
- GALNT2 is down-regulated in patients with type 2 diabetes PMID: 23894607
- Endoplasmic reticulum localization of GalNAc-T2 Is Sufficient to Drive High Tn Expression. PMID: 23912186
- ppGalNAc-T2 may exert anti-proliferative and anti-metastatic activity through the decrease of MMP-2 and TGF-beta1. PMID: 22992780
- Data suggest that GALNT2 and protein O-glycosylation are critical in extravillous trophoblast (EVT) invasion/placentation. GALNT2 is expressed in subpopulations of EVT in decidua; GALNT2 expression in EVT increases as pregnancy progresses. PMID: 23117232
- analysis of LIPG, CETP, and GALNT2 mutations in Caucasian families with extremely high HDL cholesterol PMID: 22952570
- Studies indicate that three loci for lipid levels identified by GWAS has identified functional genes GALNT2, TRIB1, and SORT1, and a functional variant at SORT1. PMID: 22418572
- Heterozygosity for a loss-of-function mutation in GALNT2 improves plasma triglyceride clearance in man. PMID: 22152306
- The status of the O-glycans attached to the EGFR was altered by GALNT2, changing EGFR responses after EGF binding. PMID: 21990321
- genetic association studies in rural populations in Guangxi, China: SNPs in GALNT2 (rs2144300; rs4846914) are associated with plasma lipid/lipoprotein levels in the general population; ethnic differences exist in Mulao and Han populations. PMID: 21933382
- these findings clearly indicate that biological activity (catalytic capacity and glycan-binding ability) of ppGalNAc-T2 is regulated by acetylation. PMID: 21651894
- Data show that SNPs associated with TG in normolipidemic samples, including APOA5, TRIB1, TBL2, GCKR, GALNT2 and ANGPTL3 were significantly associated with HLP types 2B, 3, 4 and 5. PMID: 19656773
顯示更多
收起更多
-
亞細胞定位:Golgi apparatus, Golgi stack membrane; Single-pass type II membrane protein. Secreted. Note=Resides preferentially in the trans and medial parts of the Golgi stack. A secreted form also exists.
-
蛋白家族:Glycosyltransferase 2 family, GalNAc-T subfamily
-
組織特異性:Widely expressed.
-
數據庫鏈接:
Most popular with customers
-
-
YWHAB Recombinant Monoclonal Antibody
Applications: ELISA, WB, IHC, IF, FC
Species Reactivity: Human, Mouse, Rat
-
Phospho-YAP1 (S127) Recombinant Monoclonal Antibody
Applications: ELISA, WB, IHC
Species Reactivity: Human
-
-
-
-
-















