GALNT17 Antibody
-
中文名稱:GALNT17兔多克隆抗體
-
貨號:CSB-PA743592LA01HU
-
規格:¥440
-
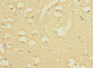
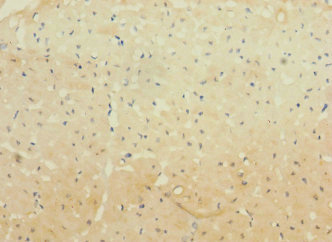
圖片:
-
其他:
產品詳情
-
產品名稱:Rabbit anti-Homo sapiens (Human) GALNT17 Polyclonal antibody
-
Uniprot No.:
-
基因名:GALNT17
-
別名:GALNT17 antibody; WBSCR17Polypeptide N-acetylgalactosaminyltransferase 17 antibody; EC 2.4.1.41 antibody; Polypeptide GalNAc transferase-like protein 3 antibody; GalNAc-T-like protein 3 antibody; pp-GaNTase-like protein 3 antibody; Protein-UDP acetylgalactosaminyltransferase-like protein 3 antibody; UDP-GalNAc:polypeptide N-acetylgalactosaminyltransferase-like protein 3 antibody; Williams-Beuren syndrome chromosomal region 17 protein antibody
-
宿主:Rabbit
-
反應種屬:Human
-
免疫原:Recombinant Human Polypeptide N-acetylgalactosaminyltransferase 17 protein (101-300AA)
-
免疫原種屬:Homo sapiens (Human)
-
標記方式:Non-conjugated
本頁面中的產品,GALNT17 Antibody (CSB-PA743592LA01HU),的標記方式是Non-conjugated。對于GALNT17 Antibody,我們還提供其他標記。見下表:
-
克隆類型:Polyclonal
-
抗體亞型:IgG
-
純化方式:>95%, Protein G purified
-
濃度:It differs from different batches. Please contact us to confirm it.
-
保存緩沖液:Preservative: 0.03% Proclin 300
Constituents: 50% Glycerol, 0.01M PBS, PH 7.4 -
產品提供形式:Liquid
-
應用范圍:ELISA, IHC
-
推薦稀釋比:
Application Recommended Dilution IHC 1:20-1:200 -
Protocols:
-
儲存條件:Upon receipt, store at -20°C or -80°C. Avoid repeated freeze.
-
貨期:Basically, we can dispatch the products out in 1-3 working days after receiving your orders. Delivery time maybe differs from different purchasing way or location, please kindly consult your local distributors for specific delivery time.
-
用途:For Research Use Only. Not for use in diagnostic or therapeutic procedures.
相關產品
靶點詳情
-
功能:May catalyze the initial reaction in O-linked oligosaccharide biosynthesis, the transfer of an N-acetyl-D-galactosamine residue to a serine or threonine residue on the protein receptor.
-
基因功能參考文獻:
- GWA study identified maternal genetic effects not previously identified in ASD at a locus in WBSCR17. PMID: 27876814
- a subset of O-glycosylation produced by WBSCR17 controls dynamic membrane trafficking, probably between the cell surface and the late endosomes through macropinocytosis PMID: 22787146
-
相關疾病:WBSCR17 is located in the Williams-Beuren syndrome (WBS) critical region. WBS results from a hemizygous deletion of several genes on chromosome 7q11.23, thought to arise as a consequence of unequal crossing over between highly homologous low-copy repeat sequences flanking the deleted region.
-
亞細胞定位:Golgi apparatus membrane; Single-pass type II membrane protein.
-
蛋白家族:Glycosyltransferase 2 family, GalNAc-T subfamily
-
組織特異性:Highly expressed in brain and heart. Weakly expressed in kidney, liver, lung and spleen.
-
數據庫鏈接:
Most popular with customers
-
-
YWHAB Recombinant Monoclonal Antibody
Applications: ELISA, WB, IHC, IF, FC
Species Reactivity: Human, Mouse, Rat
-
Phospho-YAP1 (S127) Recombinant Monoclonal Antibody
Applications: ELISA, WB, IHC
Species Reactivity: Human
-
-
-
-
-















