GALM Antibody
-
中文名稱:GALM兔多克隆抗體
-
貨號:CSB-PA850268HA01HU
-
規格:¥440
-
圖片:
-
Western blot
All lanes: GALM antibody at 2µg/ml
Lane 1: Mouse kidney tissue
Lane 2: Rat adrenal gland tissue
Secondary
Goat polyclonal to rabbit IgG at 1/10000 dilution
Predicted band size: 38 kDa
Observed band size: 38 kDa -
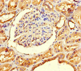
Immunohistochemistry of paraffin-embedded human heart tissue using CSB-PA850268HA01HU at dilution of 1:100
-
Immunohistochemistry of paraffin-embedded human kidney tissue using CSB-PA850268HA01HU at dilution of 1:100
-
-
其他:
產品詳情
-
產品名稱:Rabbit anti-Homo sapiens (Human) GALM Polyclonal antibody
-
Uniprot No.:
-
基因名:GALM
-
別名:Aldose 1 epimerase antibody; Aldose 1-epimerase antibody; BLOCK25 antibody; Galactomutarotase antibody; Galactose mutarotase antibody; Galm antibody; GALM_HUMAN antibody; IBD1 antibody
-
宿主:Rabbit
-
反應種屬:Human, Mouse, Rat
-
免疫原:Recombinant Human Aldose 1-epimerase protein (2-342AA)
-
免疫原種屬:Homo sapiens (Human)
-
標記方式:Non-conjugated
本頁面中的產品,GALM Antibody (CSB-PA850268HA01HU),的標記方式是Non-conjugated。對于GALM Antibody,我們還提供其他標記。見下表:
-
克隆類型:Polyclonal
-
抗體亞型:IgG
-
純化方式:>95%, Protein G purified
-
濃度:It differs from different batches. Please contact us to confirm it.
-
保存緩沖液:Preservative: 0.03% Proclin 300
Constituents: 50% Glycerol, 0.01M PBS, PH 7.4 -
產品提供形式:Liquid
-
應用范圍:ELISA, WB, IHC
-
推薦稀釋比:
Application Recommended Dilution WB 1:1000-1:5000 IHC 1:20-1:200 -
Protocols:
-
儲存條件:Upon receipt, store at -20°C or -80°C. Avoid repeated freeze.
-
貨期:Basically, we can dispatch the products out in 1-3 working days after receiving your orders. Delivery time maybe differs from different purchasing way or location, please kindly consult your local distributors for specific delivery time.
-
用途:For Research Use Only. Not for use in diagnostic or therapeutic procedures.
相關產品
靶點詳情
-
功能:Mutarotase that catalyzes the interconversion of beta-D-galactose and alpha-D-galactose during galactose metabolism. Beta-D-galactose is metabolized in the liver into glucose 1-phosphate, the primary metabolic fuel, by the action of four enzymes that constitute the Leloir pathway: GALM, GALK1 (galactokinase), GALT (galactose-1-phosphate uridylyltransferase) and GALE (UDP-galactose-4'-epimerase). Involved in the maintenance of the equilibrium between the beta- and alpha-anomers of galactose, therefore ensuring a sufficient supply of the alpha-anomer for GALK1. Also active on D-glucose although shows a preference for galactose over glucose.
-
基因功能參考文獻:
- This study demonistrated that polymorphism in galactose mutarotase (GALM) is associated with serotonin transporter binding potential in the human thalamus. PMID: 21339755
- Identification and characterisation of human aldose 1-epimerase. PMID: 12753898
- The enzyme is a monomer and has a similar structure to the Lactococcus lactis mutarotase. PMID: 15026423
- Gene encodes a functional aldose 1-epimerase (mutarotase). The enzyme exhibits (approx. four-fold) preference for galactose over glucose. Mutation E307A results in no detactable activity. PMID: 12753898
-
亞細胞定位:Cytoplasm.
-
蛋白家族:Aldose epimerase family
-
數據庫鏈接:
Most popular with customers
-
-
YWHAB Recombinant Monoclonal Antibody
Applications: ELISA, WB, IHC, IF, FC
Species Reactivity: Human, Mouse, Rat
-
Phospho-YAP1 (S127) Recombinant Monoclonal Antibody
Applications: ELISA, WB, IHC
Species Reactivity: Human
-
-
-
-
-















