GAD1 Antibody
-
中文名稱:GAD1兔多克隆抗體
-
貨號:CSB-PA219867
-
規格:¥1100
-
圖片:
-
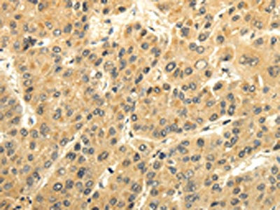
The image on the left is immunohistochemistry of paraffin-embedded Human liver cancer tissue using CSB-PA219867(GAD1 Antibody) at dilution 1/35, on the right is treated with synthetic peptide. (Original magnification: ×200)
-
Gel: 8%SDS-PAGE,Lysate: 40 μg,,Primary antibody: CSB-PA219867(GAD1 Antibody) at dilution 1/200 dilution,Secondary antibody: Goat anti rabbit IgG at 1/8000 dilution,Exposure time: 30 seconds
-
-
其他:
產品詳情
-
Uniprot No.:
-
基因名:
-
別名:67 kDa glutamic acid decarboxylase antibody; CPSQ1 antibody; DCE1 antibody; DCE1_HUMAN antibody; EC 4.1.1.15 antibody; FLJ45882 antibody; GAD 1 antibody; GAD 67 antibody; GAD antibody; GAD-67 antibody; GAD1 antibody; Glutamate decarboxylase 1 (brain; 67kDa) antibody; Glutamate decarboxylase 1 antibody; Glutamate decarboxylase 1 brain 67kD antibody; Glutamate decarboxylase 1 brain 67kDa antibody; Glutamate decarboxylase 67 kDa isoform antibody; Glutamate decarboxylase; brain; 67-KD antibody; OTTHUMP00000041054 antibody; OTTHUMP00000041055 antibody; OTTHUMP00000228572 antibody; SCP antibody
-
宿主:Rabbit
-
反應種屬:Human,Mouse,Rat
-
免疫原:Synthetic peptide of Human GAD1
-
免疫原種屬:Homo sapiens (Human)
-
標記方式:Non-conjugated
-
抗體亞型:IgG
-
純化方式:Antigen affinity purification
-
濃度:It differs from different batches. Please contact us to confirm it.
-
保存緩沖液:-20°C, pH7.4 PBS, 0.05% NaN3, 40% Glycerol
-
產品提供形式:Liquid
-
應用范圍:ELISA,WB,IHC
-
推薦稀釋比:
Application Recommended Dilution ELISA 1:1000-1:2000 WB 1:200-1:1000 IHC 1:30-1:150 -
Protocols:
-
儲存條件:Upon receipt, store at -20°C or -80°C. Avoid repeated freeze.
-
貨期:Basically, we can dispatch the products out in 1-3 working days after receiving your orders. Delivery time maybe differs from different purchasing way or location, please kindly consult your local distributors for specific delivery time.
-
用途:For Research Use Only. Not for use in diagnostic or therapeutic procedures.
相關產品
靶點詳情
-
功能:Catalyzes the production of GABA.
-
基因功能參考文獻:
- Association between GAD1 rs3749034 polymorphisms with antisaccade task performance in schizophrenic patients. PMID: 29429137
- This study detected significant reductions in the mRNAs associated with GAD1 in the frontal cortex (FC) of autism spectrum disorder. PMID: 28229923
- Our results demonstrate a weak effect of the GAD1 gene on the risk of bipolar illness, and the associated marker might represent a proxy for real signals of rare variants. PMID: 28710909
- findings converge on variation in glutamic acid decarboxylase 1 gene predicting a susceptibility mechanism that affects white matter fractional anisotropy, GABAergic inhibitory neurotransmission in the dorsolateral prefrontal cortex, and working memory performance. PMID: 26822489
- Results show how epigenetic changes in GAD1 expression alter local glutamate metabolism in the brain metastatic microenvironment, contributing to a metabolic adaption that facilitates metastasis outgrowth in that setting. PMID: 28400476
- We investigate the possible influence of GAD1 SNPs rs3749034 and rs11542313 on ADHD susceptibility. The C allele of rs11542313 was significantly overtransmitted from parents to ADHD probands. Hyperactive/impulsive score was higher in rs3749034G allele and rs11542313C allele carriers. GAD1 haplotypes were associated with higher hyperactive/impulsive scores in ADHD youths. GAD1 gene is associated with ADHD susceptibility. PMID: 27530595
- GAD1 is reactivated by DNA methylation, which provided a model for DNA methylation and the active orchestration of oncogenic gene expression by CTCF in cancer cells. PMID: 26549033
- There was no difference in GAD25 and GAD67 gene expression level, and GAD25/GAD67 ratio between patients with first episode psychosis and healthy controls PMID: 28122016
- Genetic variability in GAD1 and GAD2 contributes to the risk of methamphetamine dependence in the Thai population. PMID: 27967329
- Reduced GAD67 expression in PV neurons is not an upstream cause of the lower levels of GABA-associated transcripts, or of the characteristic behaviors, in schizophrenia. PMID: 26980143
- Glutamic acid decarboxylase 67 (GAD67) is one of the isoforms that catalyze GABA synthesis. Here, we used recombinant herpes simplex virus (HSV-1) vectors that encode gad1 gene to evaluate the therapeutic potential of GAD67 in peripheral HIV gp120-induced neuropathic pain PMID: 26752351
- This study showed that in female groups, the expression of GABRA5 was generally higher in schizophrenia cases compared to the control. PMID: 25660468
- GAD autoantibodies were associated with risk of developing type 1 diabetes. PMID: 25523979
- Conversion of GAD autoantibody is associated with patients with presumed type 2 diabetes. PMID: 25301693
- The GAD65-independent mechanism for targeting of GAD67 to synaptic vesicles in neurons is not functional in islet beta-cells. PMID: 25647668
- These results suggest a link between altered inhibitory mechanisms and synchrony and, therefore point to potential mechanisms via which a disruption in neurodevelopmental processes might lead to pathophysiology associated with schizophrenia. PMID: 25072323
- Gene ransfer of GAD67 by herpes simplex virus vectors prevents HIV gp120/ddC-induced neuropathic pain. PMID: 25851180
- Phosphate-activated glutaminase and GAD65/67 concentrations are compared in Alzheimer's disease cerebellum versus normal cerebellum controls PMID: 24950944
- results statistically show that a reduction in GAD1 and SCL1A2 expression in the dorsolateral prefrontal cortex in subjects with major depressive disorder is related to a possible attenuated RAF/MEK/ERK pathway PMID: 24652383
- CNR1, GAD1 and BDNF polymorphisms are associated with male heroin dependence in the Dai population in China. PMID: 25252306
- The decreased amount of GAD65 and GAD67 suggests the decreased synthesis of neurotransmitter and basic GABA pools that indicates insufficient functioning of the GABA system in the cerebellar cortex of Alzheimer's disease patients. PMID: 24874321
- Deficient Zif268 mRNA expression may contribute to lower cortical GAD67 levels in schizophrenia, suggesting altered cortical GABA synthesis and impaired cognition in schizophrenia. PMID: 24874453
- A compensatory role was found for the GAD1 gene hypomethylation in panic disorder depending on genetic variation. PMID: 23906988
- GAD1 expression correlates with cellular invasiveness and migration by regulating beta-catenin translocation and MMP7 activation. PMID: 24261884
- The data of this study showed a robust reduction of cortical thickness in the left parahippocampal gyrus (PHG) in G allele homozygotes of GAD1 rs3749034. PMID: 23566421
- The GG GAD1 haplotype (rs3791862, rs16858977) frequency demonstrated significantly statistical difference between cerebral palsy patients and controls. PMID: 24228494
- Single nucleotide polymorphism(SNP)s in the GAD1 gene are associated with increased susceptibility to post-traumatic seizures after traumatic brain injury. PMID: 22840783
- In schizophrenia, abnormal PSA-NCAM and GAD67 expression may underlie the alterations observed in inhibitory neurotransmission. PMID: 23022470
- The present study represents the first systematic evaluation of gender-specific enrichment of risk alleles of the common SNP variation in the panic disorder candidate gene GAD1. PMID: 22662185
- This study provides further support for involvement of mainly GAD1, but also NPY in determining predisposition to anxiety disorders. PMID: 22328461
- Changes in copy number intensities vary in accordance with the disturbances in the expression of mRNAs associated with GAD67 regulation, but the patterns seen are fundamentally different for patients with schizophrenia and patients with bipolar disorder. PMID: 22309971
- Anti-idiotypic antibodies specific to GAD65Ab have a protective role in type 1 diabetes PMID: 22384267
- These findings point to a role for GAD1 polymorphism in heroin dependence among Han Chinese, and may be informative for future genetic or neurobiological studies on heroin dependence. PMID: 22564729
- Glutamate decarboxylase 67 is expressed in hippocampal mossy fibers of temporal lobe epilepsy patients PMID: 21509853
- The expression of synaptophysin and GAD67 was downregulated in the basolateral nucleus of schizophrenics. PMID: 22099865
- From midgestation to infancy, the pattern of GABAA receptor binding changed from uniformly low across all cortical layers to high levels concentrated in the middle laminae;GAD67 levels differentially increased. PMID: 21937910
- Support for the hypothesis that lower GABA synthesis in parvalbumin neurons contributes to dorsolateral prefrontal cortex dysfunction and impaired cognition in schizophrenia. PMID: 21632647
- Our findings show abnormal BDNF, trkB-TK+ and GAD67 mRNA expression in the hippocampus of individuals with schizophrenia and mood disorders. PMID: 21223646
- GAD65 is the major autoantigen in type 1 diabetes, and GAD67 per se has very low immunogenicity. PMID: 21494613
- Alterations of glutamic acid decarboxylase (GAD) play a crucial role in schizophrenic pathology. Read More: http://informahealthcare.com/doi/full/10.3109/15622975.2010.539270 PMID: 21250934
- Observations suggest that genetic variation in the GAD1 gene is unlikely to play a critical role in pervasive child development disorders. PMID: 21302352
- The correlation of GAD67 gene expression with MUC5AC expressions suggests that the up-regulation of airway epithelium expression of GAD67 may contribute to the increase in mucus production observed in association with cigarette smoking. PMID: 21034448
- some of Japanese patients who presented with acute onset diabetic ketosis and negative for GADAb share several clinical characteristics with atypical type 2 diabetes such as ketosis-prone diabetes and "soft-drink ketosis," but others do not PMID: 20960264
- results highlight a statistical association between one SNP of GAD67 (rs 11542313) and the condition of alcohol dependence. PMID: 20598486
- Analysis of expression data from a microarray study performed in samples from Brodmann area 9 confirms that GAD67 expression is decreased in Parkinson's disease PMID: 20832408
- These results support the importance of genetic variation in GAD1 in regulating prefrontal cortical GABA function. PMID: 20357758
- The overall amount of GAD-67 was significantly reduced (-34%) in depressed subjects compared to matched controls. PMID: 20236554
- Subjects with schizophrenia showed a significant, on average 8-fold deficit in repressive chromatin-associated DNA methylation at the GAD1 promoter. PMID: 17726539
- GAD gene transfer into glutamatergic excitatory neurons leading to an inhibitory bias with altered network activity and a neuroprotective phenotype holds potential for treatment of Parkinson's disease PMID: 12376704
- autoreactivity to GAD25 is rare in newly diagnosed type 1 diabetes and does not underlie GAD67 reactivity PMID: 12515288
顯示更多
收起更多
-
相關疾?。?/div>Cerebral palsy, spastic quadriplegic 1 (CPSQ1)蛋白家族:Group II decarboxylase family組織特異性:Isoform 3 is expressed in pancreatic islets, testis, adrenal cortex, and perhaps other endocrine tissues, but not in brain.數據庫鏈接:
Most popular with customers
-
YWHAB Recombinant Monoclonal Antibody
Applications: ELISA, WB, IHC, IF, FC
Species Reactivity: Human, Mouse, Rat
-
Phospho-YAP1 (S127) Recombinant Monoclonal Antibody
Applications: ELISA, WB, IHC
Species Reactivity: Human
-
-
-
-
-
-















