GABRA4 Antibody
-
中文名稱:GABRA4兔多克隆抗體
-
貨號:CSB-PA009143LA01HU
-
規格:¥440
-
圖片:
-
Western Blot
Positive WB detected in: U251 whole cell lysate, Hela whole cell lysate
All lanes: GABRA4 antibody at 7µg/ml
Secondary
Goat polyclonal to rabbit IgG at 1/50000 dilution
Predicted band size: 62 kDa
Observed band size: 62 kDa -
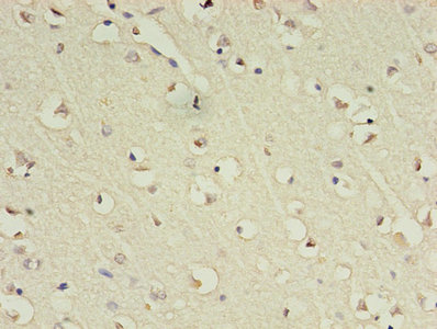
Immunohistochemistry of paraffin-embedded human brain tissue using CSB-PA009143LA01HU at dilution of 1:100
-
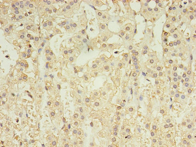
Immunohistochemistry of paraffin-embedded human adrenal gland tissue using CSB-PA009143LA01HU at dilution of 1:100
-
Immunofluorescence staining of PC-3 cells with CSB-PA009143LA01HU at 1:33, counter-stained with DAPI. The cells were fixed in 4% formaldehyde, permeabilized using 0.2% Triton X-100 and blocked in 10% normal Goat Serum. The cells were then incubated with the antibody overnight at 4°C. The secondary antibody was Alexa Fluor 488-congugated AffiniPure Goat Anti-Rabbit IgG(H+L).
-
-
其他:
產品詳情
-
產品名稱:Rabbit anti-Homo sapiens (Human) GABRA4 Polyclonal antibody
-
Uniprot No.:
-
基因名:GABRA4
-
別名:GABA(A) receptor subunit alpha 4 antibody; GABA(A) receptor subunit alpha-4 antibody; GABR A4 antibody; GABRA 4 antibody; Gabra4 antibody; Gamma aminobutyric acid (GABA) A receptor alpha 4 antibody; Gamma aminobutyric acid A receptor alpha 4 antibody; Gamma aminobutyric acid receptor alpha 4 subunit antibody; Gamma aminobutyric acid receptor subunit alpha 4 antibody; Gamma-aminobutyric acid receptor subunit alpha-4 antibody; GBRA4_HUMAN antibody
-
宿主:Rabbit
-
反應種屬:Human
-
免疫原:Recombinant Human Gamma-aminobutyric acid receptor subunit alpha-4 protein (36-258AA)
-
免疫原種屬:Homo sapiens (Human)
-
標記方式:Non-conjugated
本頁面中的產品,GABRA4 Antibody (CSB-PA009143LA01HU),的標記方式是Non-conjugated。對于GABRA4 Antibody,我們還提供其他標記。見下表:
-
克隆類型:Polyclonal
-
抗體亞型:IgG
-
純化方式:>95%, Protein G purified
-
濃度:It differs from different batches. Please contact us to confirm it.
-
保存緩沖液:Preservative: 0.03% Proclin 300
Constituents: 50% Glycerol, 0.01M PBS, PH 7.4 -
產品提供形式:Liquid
-
應用范圍:ELISA, WB, IHC, IF
-
推薦稀釋比:
Application Recommended Dilution WB 1:500-1:5000 IHC 1:20-1:200 IF 1:20-1:200 -
Protocols:
-
儲存條件:Upon receipt, store at -20°C or -80°C. Avoid repeated freeze.
-
貨期:Basically, we can dispatch the products out in 1-3 working days after receiving your orders. Delivery time maybe differs from different purchasing way or location, please kindly consult your local distributors for specific delivery time.
-
用途:For Research Use Only. Not for use in diagnostic or therapeutic procedures.
相關產品
靶點詳情
-
功能:GABA, the major inhibitory neurotransmitter in the vertebrate brain, mediates neuronal inhibition by binding to the GABA/benzodiazepine receptor and opening an integral chloride channel.
-
基因功能參考文獻:
- GABRA4 is associated with autism spectrum disorder in a dataset from Argentina. PMID: 26239769
- The ability of neurosteroids to modulate the phosphorylation and membrane insertion of alpha4 subunit-containing GABAARs may underlie the profound effects these endogenous signaling molecules have on neuronal excitability and behavior. PMID: 24778259
- Transgenic mice with the alpha4betadelta GABAA receptor subunit deletion show increased conditioned place preference, but not from delta-deficient or alpha4-deficient knockout mice. PMID: 24431441
- The pathway by which GABRA2 initially confers risk for eventual alcohol problems begins with a predisposition to sensation-seeking early in adolescence. PMID: 23561058
- Association between premenstrual symptom severity and two genes from the gamma-aminobutyric acid (GABA) pathway: steroid-5-alpha-reductase, alpha polypeptide 1 (SRD5A1) and gamma-aminobutyric acid receptor subunit alpha-4 (GABRA4). PMID: 22273344
- single nucleotide polymorphisms studied in the GABRA4, GABRE, and GABRQ genes are not related to the risk for familial ET. PMID: 21422964
- truncated alpha 4 N-terminus may play a post-translational regulatory role in intracellular folding/glycosylation/assembly of the alpha 4 subunit PMID: 12242096
- GABRA4 is involved in the etiology of autism and potentially increases autism risk through interaction with GABRB1. PMID: 16080114
- These results confirmed our earlier findings, indicating GABRA4 and GABRB1 as genes contributing to autism susceptibility, extending the effect to multiple ethnic groups and suggesting seizures as a stratifying phenotype. PMID: 16770606
- alpha4beta3gamma2L receptors have unique kinetic properties that limit the range of GABA applications to which they can respond maximally. PMID: 17124266
- Only two of the newly genotyped SNPs, rs10517173, rs16851647, were associated with nicotine dependence (observed P-values of 0.002, corrected FDR-BH P-values of 0.02). However, these SNPs were in complete LD with each other and with rs11731576. PMID: 19207358
- Lower delta mRNA levels in schizophrenia might reflect a reduced number of alpha(1)beta(x)delta GABA(A) receptors that could contribute to deficient tonic inhibition and prefrontal cortical dysfunction in schizophrenia. PMID: 19289452
顯示更多
收起更多
-
亞細胞定位:Cell junction, synapse, postsynaptic cell membrane; Multi-pass membrane protein. Cell membrane; Multi-pass membrane protein.
-
蛋白家族:Ligand-gated ion channel (TC 1.A.9) family, Gamma-aminobutyric acid receptor (TC 1.A.9.5) subfamily, GABRA4 sub-subfamily
-
數據庫鏈接:
Most popular with customers
-
-
YWHAB Recombinant Monoclonal Antibody
Applications: ELISA, WB, IHC, IF, FC
Species Reactivity: Human, Mouse, Rat
-
Phospho-YAP1 (S127) Recombinant Monoclonal Antibody
Applications: ELISA, WB, IHC
Species Reactivity: Human
-
-
-
-
-















