FXYD1 Antibody
-
中文名稱:FXYD1兔多克隆抗體
-
貨號:CSB-PA584842
-
規格:¥1100
-
圖片:
-
The image on the left is immunohistochemistry of paraffin-embedded Human tonsil tissue using CSB-PA584842(FXYD1 Antibody) at dilution 1/60, on the right is treated with fusion protein. (Original magnification: ×200)
-
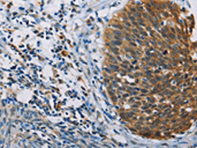
The image on the left is immunohistochemistry of paraffin-embedded Human colon cancer tissue using CSB-PA584842(FXYD1 Antibody) at dilution 1/60, on the right is treated with fusion protein. (Original magnification: ×200)
-
Gel: 12%SDS-PAGE, Lysate: 40 μg, Lane: Mouse heart tissue, Primary antibody: CSB-PA584842(FXYD1 Antibody) at dilution 1/1290, Secondary antibody: Goat anti rabbit IgG at 1/8000 dilution, Exposure time: 1 second
-
-
其他:
產品詳情
-
Uniprot No.:
-
基因名:
-
別名:FXYD1; PLM; Phospholemman; FXYD domain-containing ion transport regulator 1; Sodium/potassium-transporting ATPase subunit FXYD1
-
宿主:Rabbit
-
反應種屬:Human,Mouse,Rat
-
免疫原:Fusion protein of Human FXYD1
-
免疫原種屬:Homo sapiens (Human)
-
標記方式:Non-conjugated
-
抗體亞型:IgG
-
純化方式:Antigen affinity purification
-
濃度:It differs from different batches. Please contact us to confirm it.
-
保存緩沖液:-20°C, pH7.4 PBS, 0.05% NaN3, 40% Glycerol
-
產品提供形式:Liquid
-
應用范圍:ELISA,WB,IHC
-
推薦稀釋比:
Application Recommended Dilution ELISA 1:2000-1:5000 WB 1:500-1:2000 IHC 1:50-1:200 -
Protocols:
-
儲存條件:Upon receipt, store at -20°C or -80°C. Avoid repeated freeze.
-
貨期:Basically, we can dispatch the products out in 1-3 working days after receiving your orders. Delivery time maybe differs from different purchasing way or location, please kindly consult your local distributors for specific delivery time.
-
用途:For Research Use Only. Not for use in diagnostic or therapeutic procedures.
相關產品
靶點詳情
-
功能:Associates with and regulates the activity of the sodium/potassium-transporting ATPase (NKA) which transports Na(+) out of the cell and K(+) into the cell. Inhibits NKA activity in its unphosphorylated state and stimulates activity when phosphorylated. Reduces glutathionylation of the NKA beta-1 subunit ATP1B1, thus reversing glutathionylation-mediated inhibition of ATP1B1. Contributes to female sexual development by maintaining the excitability of neurons which secrete gonadotropin-releasing hormone.
-
基因功能參考文獻:
- Study demonstrated that the expression of FXYD1, FXYD3 and FXYD5 is elevated in the lungs of Acute respiratory distress syndrome patients PMID: 26410457
- a period of high-intensity training with reduced training volume increases expression and phosphorylation levels of FXYD1, which may affect Na(+)/K(+) pump activity and muscle K(+) homeostasis during intense exercise. PMID: 26791827
- Stopped-flow experiments using the dye RH421 show that FXYD1 slows the conformational transition E2(2K)ATP --> E1(3Na)ATP but does not affect 3NaE1P --> E2P3Na. PMID: 26429909
- the evolutionary conservation of G-quadruplex forming sequences with the confirmation of G-quadruplex formation in vitro by two FXYD1 homologues PMID: 25051342
- Phospholemman is the target of a variety of post-translational modifications and these can dynamically alter the activity of the Na pump. [Review] PMID: 23672825
- PLM regulates important ion transporters in the heart and offers a tempting target for development of drugs to treat heart failure. PMID: 23224879
- Intracellular trafficking of FXYD1 (phospholemman) and FXYD7 proteins in Xenopus oocytes and mammalian cells. PMID: 22535957
- the severity of the spinal cord lesion is an important factor controlling the expression of Na(+)-K(+)-ATPase and its regulatory protein PLM PMID: 22275761
- in left ventricular myocardium from patients with heart failure, PLM Ser-68 phosphorylation was approximately 50% lower than in nonfailing controls PMID: 21849407
- Exercise induces FXYD1 phosphorylation at multiple sites in human muscle; in mice, contraction-induced changes in FXYD1 phosphorylation are fiber-type specific and dependent on protein kinase Calpha activity. PMID: 21957166
- FXYD1 raises the affinity of the human alpha1beta1 isoform of Na,K-ATPase for Na ions PMID: 21449573
- Results suggest that the PLM cytoplasmic domain populates NKA-associated and membrane-associated states in dynamic equilibrium and that phosphorylation may alter the position of the equilibrium. PMID: 21130070
- phosphorylation of PLM increases its oligomerization into tetramers, decreases its binding to NKA, and alters the structures of both the tetramer and NKA regulatory complex. PMID: 21220422
- PLM phosphorylation at either Ser63 or Ser68 is both necessary and sufficient for completely relieving the PLM-induced NKA inhibition. PMID: 20861470
- Data suggest that phospholemman plays an important role in fine tuning the gating kinetics of cardiac calcium channels and likely plays an important role in shaping the cardiac action potential and regulating Ca(2+) dynamics in the heart. PMID: 20720179
- Phospholemman modulates the gating of cardiac L-type calcium channels PMID: 20371314
- Study reveals, in various human tissues, the specific expression of FXYD1, which may associate with Na, K-ATPase in selected cell types and modulate its catalytic properties. PMID: 19879113
- molecular cloning, protein expression, sequencing and NMR structure determination PMID: 12535606
- show that the helical regions and connecting segments of FXYD1, FXYD3, and FXYD4 determined in micelles by NMR spectroscopy coincide with the positions of intron-exon junctions in the genes PMID: 16288923
- PLM interacts with the intracellular loop of NCX1, most likely at residues 218-358 PMID: 16921169
- study reports that FXYD1 is elevated in frontal cortex neurons of Rett syndrome patients and Mecp2-null mice; FXYD1 is identified as a MeCP2 target gene whose de-repression may directly contribute to RTT neuronal pathogenesis PMID: 17309881
- the structure of FXYD1 suggests a mechanism whereby the phosphorylation of conserved Ser residues, by protein kinases A and C, could induce a conformational change in the cytoplasmic domain, to modulate its interaction with the Na,K-ATPase, alpha subunit PMID: 18000745
- reconstituted FXYD1 protects both alpha1beta1 and alpha2beta1 very strongly against thermal inactivation PMID: 18052210
- Data show that PLM associates with and modulates both NKA-alpha1 and NKA-alpha2 in a comparable but not identical manner. PMID: 19638348
顯示更多
收起更多
-
亞細胞定位:Cell membrane, sarcolemma; Single-pass type I membrane protein. Apical cell membrane; Single-pass type I membrane protein. Membrane, caveola. Cell membrane, sarcolemma, T-tubule.
-
蛋白家族:FXYD family
-
組織特異性:Highest expression in skeletal muscle and heart. Moderate levels in brain, placenta, lung, liver, pancreas, uterus, bladder, prostate, small intestine and colon with mucosal lining. Very low levels in kidney, colon and small intestine without mucosa, pros
-
數據庫鏈接:
Most popular with customers
-
-
YWHAB Recombinant Monoclonal Antibody
Applications: ELISA, WB, IHC, IF, FC
Species Reactivity: Human, Mouse, Rat
-
-
-
-
-
-
VDAC1 Recombinant Monoclonal Antibody
Applications: ELISA, WB, IHC
Species Reactivity: Human, Mouse, Rat















