FSTL1 Antibody
-
中文名稱:FSTL1兔多克隆抗體
-
貨號:CSB-PA613266LA01HU
-
規格:¥440
-
圖片:
-
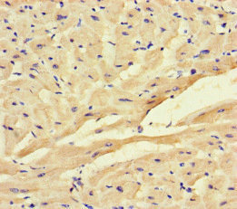
Immunohistochemistry of paraffin-embedded human heart tissue using CSB-PA613266LA01HU at dilution of 1:100
-
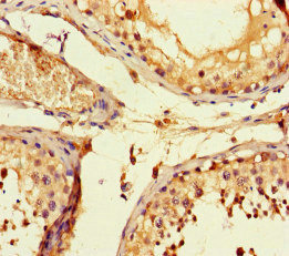
Immunohistochemistry of paraffin-embedded human testis tissue using CSB-PA613266LA01HU at dilution of 1:100
-
Immunofluorescent analysis of Hela cells using CSB-PA613266LA01HU at dilution of 1:100 and Alexa Fluor 488-congugated AffiniPure Goat Anti-Rabbit IgG(H+L)
-
-
其他:
產品詳情
-
產品名稱:Rabbit anti-Homo sapiens (Human) FSTL1 Polyclonal antibody
-
Uniprot No.:
-
基因名:FSTL1
-
別名:Anti FSTL1 antibody; FLJ50214 antibody; FLJ52277 antibody; Follistatin like 1 antibody; Follistatin related protein antibody; Follistatin-like protein 1 antibody; Follistatin-related protein 1 antibody; FRP antibody; FSL1 antibody; FSTL1 antibody; FSTL1 antibody antibody; FSTL1_HUMAN antibody; Micro RNA 198 antibody; MIR198 antibody; miRNA198 included antibody; OCC 1 antibody; OCC1 antibody
-
宿主:Rabbit
-
反應種屬:Human
-
免疫原:Recombinant Human Follistatin-related protein 1 protein (176-285AA)
-
免疫原種屬:Homo sapiens (Human)
-
標記方式:Non-conjugated
本頁面中的產品,FSTL1 Antibody (CSB-PA613266LA01HU),的標記方式是Non-conjugated。對于FSTL1 Antibody,我們還提供其他標記。見下表:
-
克隆類型:Polyclonal
-
抗體亞型:IgG
-
純化方式:>95%, Protein G purified
-
濃度:It differs from different batches. Please contact us to confirm it.
-
保存緩沖液:Preservative: 0.03% Proclin 300
Constituents: 50% Glycerol, 0.01M PBS, PH 7.4 -
產品提供形式:Liquid
-
應用范圍:ELISA, IHC, IF
-
推薦稀釋比:
Application Recommended Dilution IHC 1:20-1:200 IF 1:50-1:200 -
Protocols:
-
儲存條件:Upon receipt, store at -20°C or -80°C. Avoid repeated freeze.
-
貨期:Basically, we can dispatch the products out in 1-3 working days after receiving your orders. Delivery time maybe differs from different purchasing way or location, please kindly consult your local distributors for specific delivery time.
-
用途:For Research Use Only. Not for use in diagnostic or therapeutic procedures.
相關產品
靶點詳情
-
功能:Secreted glycoprotein that is involved in various physiological processes, such as angiogenesis, regulation of the immune response, cell proliferation and differentiation. Plays a role in the development of the central nervous system, skeletal system, lungs, and ureter. Promotes endothelial cell survival, migration and differentiation into network structures in an AKT-dependent manner. Also promotes survival of cardiac myocytes. Initiates various signaling cascades by activating different receptors on the cell surface such as DIP2A, TLR4 or BMP receptors.
-
基因功能參考文獻:
- In cultured human pulmonary artery smooth muscle cells, hypoxia-promoted cellular viability, DNA synthesis and migration were suppressed by exogenous FSTL1 but enhanced by small interfering RNA targeting FSTL1 PMID: 28361925
- Study suggests that follistatin like 1 plays an important role in lung fibrosis, and may serve as a novel therapeutic target for treatment of silicosis. PMID: 28341862
- Segmental allergen challenge increases levels of airway follistatin-like 1 in patients with asthma. PMID: 27001159
- Study found that FSTL1 was downregulated in non-small cell lung cancer (NSCLC) cells. FSTL1 overexpression suppressed tumor cell proliferation, altered cell cycle and induced apoptosis in addition to inhibiting cell survival, migration and invasion. Altogether, results revealed the critical tumor-suppression function of FSTL1 in NSCLC progression, suggesting it as an important factor in NSCLC progression. PMID: 29115636
- Smad3 knockdown could restore the inhibition of cell proliferation induced by FSTL1 overexpression in MDAMB231FSTL1 cells, indicating that the antiproliferative effect of FSTL1 overexpression may be associated with Smad3 involved TGFbeta signaling pathway regulation. This study identified FSTL1 as an inhibitor of cell proliferation in MDAMB231 and 231BR cell lines PMID: 29048681
- Dendritic cell-mediated immunity was activated by FSTL1. PMID: 29135371
- Fstl1serves an important role in liver fibrosis and target deletion of Fstl1 attenuated HSCs activation through suppressing TGFbeta1/Smad3 signaling pathway. PMID: 28901425
- Results showed that: 1- FSTL-1 expression is localized to the stromal compartment of the pancreas; 2- FSTL-1 expression is reduced in pancreatic cancer, and 3- FSTL-1 inhibited pancreatic cancer cell proliferation. PMID: 27886258
- Data show that follistatin-like 1 (FSTL1) contributed to unfavorable post-surgical outcome of hepatocellular carcinoma (HCC) patients via inhibiting cell apoptosis. PMID: 28655132
- results indicate that rs1259293 is associated with an increased risk and unfavorable postoperative prognosis of renal cell carcinoma, possibly by down-regulating FSTL1 expression in renal tissues. PMID: 27225192
- Data provide evidence that FSTL1 modestly affects the proliferation of breast cancer cells and vascular endothelial cells. These findings improve the understanding of the functions of FSTL1 in breast cancer development and angiogenesis. PMID: 28857515
- knockdown of FSTL1 inhibited ASM cell proliferation and migration induced by PDGF-BB at least partially via inhibiting the activation of ERK and AKT. These results provide novel insight into the pathogenesis of airway remodeling in childhood asthma and FSTL1 may be a possible therapeutic strategy for the treatment of asthma. PMID: 28393245
- Fstl1 inhibited Smad1/5/8 phosphorylation by blocking the association between bone morphogenetic protein 4 and Bone Morphogenetic Protein Receptors, Type II via competitive binding to bone morphogenetic protein 4. PMID: 29212066
- Data show that follistatin like-1 (FSTL1) was frequently downregulated in nasopharyngeal carcinoma (NPC) cell lines and primary tumor biopsies by promoter hypermethylation. PMID: 26918942
- Results indicate the significance of follistatin-like protein 1 (FSTL1) in driving oncogenesis and metastasis in esophageal squamous cell carcinoma (ESCC) by coordinating NF-kappa B (NFkappaB) and bone morphogenetic proteins (BMP) pathway control. PMID: 28883005
- FSTL1 mRNA levels increased in castration-resistant prostate cancer in association with predominantly nuclear FSTL1. PMID: 27976415
- FSTL1 may induce epithelial mesenchymal transition and airway remodeling by activating autophagy. PMID: 28473327
- DROMs levels positively associated with Fstl1, Hemoglobin A1c and hsCRP levels. PMID: 27145224
- FSTL1 displays anti-inflammatory effects against oxidized low-density lipoprotein-induced pro-inflammatory cytokine production via a mechanism that involves the TLR4/MyD88/NF-kappaB and MAPK signaling pathways. PMID: 27569284
- this study shows that 1) the expression of follistatin-like protein 1 is upregulated in rheumatoid arthritis patients; 2) miR-27a inhibits cell migration of rheumatoid arthritis synoviocytes by targeting follistatin-like protein 1 and restraining the TLR4/NFkappaB pathway PMID: 27498552
- FSTL1 plays a critical role in immune regulation, enhancing the antigen presentation ability of dendritic cells by up-regulating NF-kappab expression and down-regulating JNK expression. PMID: 27859422
- the knockdown of FSTL1 induces apoptosis through a mitotic arrest and caspase-dependent cell death. FSTL1 plays the important roles in cellular proliferation and apoptosis in lung cancer cells, and thus can be a new target for lung cancer treatment. PMID: 26716515
- Children with chronic heart failure group had a significantly higher serum level of FSTL1 than the control group. PMID: 26903060
- provide mechanistic insight into the regulation of erythropoiesis by FSTL1 signaling and lay a foundation for exploring FSTL1 signaling as a therapeutic target for anemia PMID: 26365350
- FSTL1 is elevated in patients with osteoarthritis and involved in the progression of synovial inflammation. PMID: 25888873
- administration of Fstl1 induced airway remodeling and increased OSM, whereas administration of an anti-OSM Ab blocked the effect of Fstl1 on inducing airway remodeling, eosinophilic airway inflammation PMID: 26355153
- data suggest that the loss of epicardial FSTL1 is a maladaptive response to injury, and that its restoration would be an effective way to reverse myocardial death and remodelling following myocardial infarction in humans PMID: 26375005
- Fstl1 is induced in response to lung injury and promotes the accumulation of myofibroblasts and subsequent fibrosis. These data suggest that Fstl1 may serve as a novel therapeutic target for treatment of progressive lung fibrosis. PMID: 25584011
- FSTL1 is elevated in various inflammatory conditions and decreased during the course of treatment. FSTL1 may therefore be a valuable biomarker for such diseases. PMID: 24838142
- FSTL1 is a potential mediator of inflammation and insulin resistance in obesity. PMID: 24347831
- These results suggest that FSTL-1 may act on the NLRP3 inflammasome to promote IL-1beta secretion from monocytes/macrophages. PMID: 24470197
- results demonstrated that follistatin-like protein 1 (Fstl1) is expressed and secreted by human myotubes and plasma Fstl1 levels are increased after exercise PMID: 23419164
- A clear inverse correlation between the expression pattern of FSTL1 (pro-migratory) and miR-198 (anti-migratory) highlights the importance of this regulatory switch in controlling context-specific gene expression to orchestrate wound re-epithelialization. PMID: 23395958
- Data show that the serum and synovial fluid (SF) FSTL1 levels were markedly higher in female OA patients than in males. PMID: 22117761
- FRP has the function of evoking innate immune responses as one of the endogenous TLR4 agonists. PMID: 22265692
- Elevated FSTL1 levels reflect not only joint diseases but also inflammation and tissue degradation in systemic autoimmune diseases. PMID: 21303509
- These data suggest that Cx43 inhibits the invasion and metastasis of pulmonary giant cell carcinoma cells by modulating the secretion of FSTL1, which is regulated by histone acetylation. PMID: 21718795
- DIP2A could be a cell-surface receptor protein and mediate a FOS down-regulation signal of FRP. FRP bound to DIP2A and CD14, and also with proteins of the TGF-beta superfamily PMID: 20860622
- Whilst follistatin expression is unchanged, follistatin-related gene is down-regulated in endometrial carcinoma. PMID: 15296481
- FRP mRNA is overexpressed in rheumatoid arthritis synovium, the product of which exerts inhibitory activity on synovial cell growth PMID: 15638044
- TSC-36 can be induced in VSMCs (vascular smooth muscle cells) and inhibits VSMCs proliferation in vitro and in vivo. PMID: 16256108
- Elevated myocardial expression of FST-like genes is a feature of heart failure and may be linked to both disease severity and mechanisms underlying recovery. PMID: 18617621
- Fstl1 is a secreted muscle protein or myokine that can function to promote endothelial cell function and stimulates revascularization in response to ischemic insult through its ability to activate Akt-eNOS signaling PMID: 18718903
- Cell migration and invasion assays demonstrated a remarkably lower cell migration and invasion capability in FSTL1-transfected cells in relation to downregulation of matrix metallopeptidase-2 PMID: 18796737
- FSTL-1 is overexpressed by 2-3-fold in synovial tissues of rheumatoid arthritis patients compared with control synovium obtained from subjects undergoing knee arthroscopic anterior cruciate ligament repair. PMID: 19109154
顯示更多
收起更多
-
亞細胞定位:Secreted.
-
組織特異性:Overexpressed in synovial tissues from rheumatoid arthritis.
-
數據庫鏈接:
Most popular with customers
-
-
YWHAB Recombinant Monoclonal Antibody
Applications: ELISA, WB, IHC, IF, FC
Species Reactivity: Human, Mouse, Rat
-
Phospho-YAP1 (S127) Recombinant Monoclonal Antibody
Applications: ELISA, WB, IHC
Species Reactivity: Human
-
-
-
-
-















