FSD1 Antibody
-
中文名稱:FSD1兔多克隆抗體
-
貨號:CSB-PA861136LA01HU
-
規格:¥440
-
圖片:
-
IHC image of CSB-PA861136LA01HU diluted at 1:500 and staining in paraffin-embedded human brain tissue performed on a Leica BondTM system. After dewaxing and hydration, antigen retrieval was mediated by high pressure in a citrate buffer (pH 6.0). Section was blocked with 10% normal goat serum 30min at RT. Then primary antibody (1% BSA) was incubated at 4°C overnight. The primary is detected by a biotinylated secondary antibody and visualized using an HRP conjugated SP system.
-
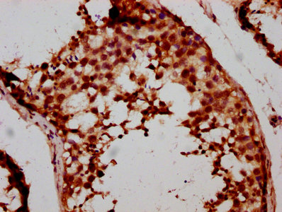
IHC image of CSB-PA861136LA01HU diluted at 1:500 and staining in paraffin-embedded human testis tissue performed on a Leica BondTM system. After dewaxing and hydration, antigen retrieval was mediated by high pressure in a citrate buffer (pH 6.0). Section was blocked with 10% normal goat serum 30min at RT. Then primary antibody (1% BSA) was incubated at 4°C overnight. The primary is detected by a biotinylated secondary antibody and visualized using an HRP conjugated SP system.
-
-
其他:
產品詳情
-
產品名稱:Rabbit anti-Homo sapiens (Human) FSD1 Polyclonal antibody
-
Uniprot No.:
-
基因名:FSD1
-
別名:Fibronectin type 3 and SPRY (spla; ryanodine) domain containing (with coiled-coil motif) 1 antibody; Fibronectin type 3 and SPRY domain containing 1 antibody; Fibronectin type III and SPRY domain containing 1 antibody; Fibronectin type III and SPRY domain-containing protein 1 antibody; Fibronectin type III and SPRY domains containing protein 1 antibody; FSD1 antibody; FSD1_HUMAN antibody; GLFND antibody; MGC3213 antibody; MGC58341 antibody; Microtubule-associated protein GLFND antibody; MID1-related protein 1 antibody; midline 1-related protein 1 antibody; MIR1 antibody; VLP27 antibody
-
宿主:Rabbit
-
反應種屬:Human
-
免疫原:Recombinant Human Fibronectin type III and SPRY domain-containing protein 1 protein (251-370AA)
-
免疫原種屬:Homo sapiens (Human)
-
標記方式:Non-conjugated
本頁面中的產品,FSD1 Antibody (CSB-PA861136LA01HU),的標記方式是Non-conjugated。對于FSD1 Antibody,我們還提供其他標記。見下表:
-
克隆類型:Polyclonal
-
抗體亞型:IgG
-
純化方式:>95%, Protein G purified
-
濃度:It differs from different batches. Please contact us to confirm it.
-
保存緩沖液:Preservative: 0.03% Proclin 300
Constituents: 50% Glycerol, 0.01M PBS, pH 7.4 -
產品提供形式:Liquid
-
應用范圍:ELISA, IHC
-
推薦稀釋比:
Application Recommended Dilution IHC 1:500-1:1000 -
Protocols:
-
儲存條件:Upon receipt, store at -20°C or -80°C. Avoid repeated freeze.
-
貨期:Basically, we can dispatch the products out in 1-3 working days after receiving your orders. Delivery time maybe differs from different purchasing way or location, please kindly consult your local distributors for specific delivery time.
-
用途:For Research Use Only. Not for use in diagnostic or therapeutic procedures.
相關產品
靶點詳情
-
功能:May be involved in microtubule organization and stabilization.
-
基因功能參考文獻:
- Overexpression of miR-1 mimics significantly decreased tumor glycolysis, including lactate production and glucose uptake, and cell proliferation, and these effects were reversed by ectopic expression of Smad3. PMID: 28471448
- These regulatory mechanisms of miR-1 expression could help us to understand the functions of altered miR-1 expression. PMID: 27923712
- Taken together, our findings established a tumor suppressive role for miR-1 in the progression of ccRCC by targeting CDK4, CDK6, Caprin1 and Slug and suggested miR-1 can be served as a novel potential therapeutic target for ccRCC. PMID: 26036633
- Data report the identification of MIR1, a protein with microtubule-binding activity which is located at the centrosome and is related to MID1/midin. [MIR1] PMID: 12154070
-
亞細胞定位:Cytoplasm, cytoskeleton, microtubule organizing center, centrosome. Nucleus. Cytoplasm. Cleavage furrow. Note=Cell-cycle-dependent association with the centrosome. Colocalizes with a subpopulation of microtubules. Does not associates with microtubules during mitosis but reassociates with microtubules during cytokinesis. Localizes to the central portions of a small subset of microtubules in interphase cells and a subpopulation of microtubules in the cleavage furrow, not present in the mitotic spindle.
-
組織特異性:Highly expressed in brain tissues, including cerebellum, cerebral cortex, medulla, occipital pole, frontal lobe, temporal lobe and putamen. Lower expression in spinal chord.
-
數據庫鏈接:
Most popular with customers
-
-
YWHAB Recombinant Monoclonal Antibody
Applications: ELISA, WB, IHC, IF, FC
Species Reactivity: Human, Mouse, Rat
-
Phospho-YAP1 (S127) Recombinant Monoclonal Antibody
Applications: ELISA, WB, IHC
Species Reactivity: Human
-
-
-
-
-















