FRMD6 Antibody
-
中文名稱:FRMD6兔多克隆抗體
-
貨號:CSB-PA822270ESR2HU
-
規格:¥440
-
圖片:
-
Immunohistochemistry of paraffin-embedded human liver cancer using CSB-PA822270ESR2HU at dilution of 1:100
-
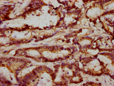
Immunohistochemistry of paraffin-embedded human duodenal tissue using CSB-PA822270ESR2HU at dilution of 1:100
-
Western Blot
Positive WB detected in: Hela whole cell lysate, HepG2 whole cell lysate
All lanes: FRMD6 antibody at 3µg/ml
Secondary
Goat polyclonal to rabbit IgG at 1/50000 dilution
Predicted band size: 73, 71, 30 kDa
Observed band size: 73 kDa -
IHC image of CSB-PA822270ESR2HU diluted at 1:293 and staining in paraffin-embedded human colon cancer performed on a Leica BondTM system. After dewaxing and hydration, antigen retrieval was mediated by high pressure in a citrate buffer (pH 6.0). Section was blocked with 10% normal goat serum 30min at RT. Then primary antibody (1% BSA) was incubated at 4°C overnight. The primary is detected by a biotinylated secondary antibody and visualized using an HRP conjugated SP system.
-
-
其他:
產品詳情
-
產品名稱:Rabbit anti-Homo sapiens (Human) FRMD6 Polyclonal antibody
-
Uniprot No.:
-
基因名:
-
別名:FRMD6 antibody; C14orf31FERM domain-containing protein 6 antibody; Willin antibody
-
宿主:Rabbit
-
反應種屬:Human
-
免疫原:Recombinant Human FERM domain-containing protein 6 protein (413-622AA)
-
免疫原種屬:Homo sapiens (Human)
-
標記方式:Non-conjugated
-
克隆類型:Polyclonal
-
抗體亞型:IgG
-
純化方式:Antigen Affinity Purified
-
濃度:It differs from different batches. Please contact us to confirm it.
-
保存緩沖液:PBS with 0.02% sodium azide, 50% glycerol, pH7.3.
-
產品提供形式:Liquid
-
應用范圍:ELISA, WB, IHC
-
推薦稀釋比:
Application Recommended Dilution WB 1:500-1:5000 IHC 1:20-1:500 -
Protocols:
-
儲存條件:Upon receipt, store at -20°C or -80°C. Avoid repeated freeze.
-
貨期:Basically, we can dispatch the products out in 1-3 working days after receiving your orders. Delivery time maybe differs from different purchasing way or location, please kindly consult your local distributors for specific delivery time.
-
用途:For Research Use Only. Not for use in diagnostic or therapeutic procedures.
相關產品
靶點詳情
-
基因功能參考文獻:
- a novel function of FRMD6 in inhibiting human GBM growth and progression and uncover a novel mechanism by which FRMD6 exerts its anti-GBM activity. PMID: 27661120
- Genome-wide and gene-based association implicates FRMD6 in Alzheimer disease. PMID: 22190428
- Human homolog of Drosophila expanded, hEx, functions as a putative tumor suppressor in human cancer cell lines independently of the Hippo pathway PMID: 21785462
- in mammalian cells willin influences Hippo signaling activity by activating the core Hippo pathway kinase cassette PMID: 21666719
- Results describe a new FERM domain-containing protein called Willin. PMID: 16137681
顯示更多
收起更多
-
亞細胞定位:Cytoplasm. Cell membrane; Peripheral membrane protein; Cytoplasmic side. Note=Can colocalize with actin.
-
數據庫鏈接:
Most popular with customers
-
-
Phospho-YAP1 (S127) Recombinant Monoclonal Antibody
Applications: ELISA, WB, IHC
Species Reactivity: Human
-
-
-
-
-
-















