FRK Antibody
-
中文名稱:FRK兔多克隆抗體
-
貨號:CSB-PA008988ESR1HU
-
規格:¥440
-
圖片:
-
Western blot
All lanes: FRKantibody at 3.13μg/ml
Lane 1: Hela whole cell lysate
Lane 2: 293T whole cell lysate
Lane 3: K562 whole cell lysate
Lane 4: MCF-7 whole cell lysate
Lane 5: HepG2 whole cell lysate
Secondary
Goat polyclonal to rabbit IgG at 1/10000 dilution
Predicted band size: 59, 42 kDa
Observed band size: 59 kDa -
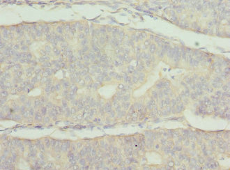
Immunohistochemistry of paraffin-embedded human colon tissue using CSB-PA008988ESR1HU at dilution of 1:100
-
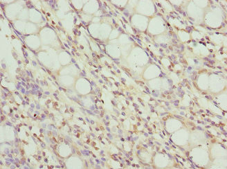
Immunohistochemistry of paraffin-embedded human endometrial cancer using CSB-PA008988ESR1HU at dilution of 1:100
-
-
其他:
產品詳情
-
產品名稱:Rabbit anti-Homo sapiens (Human) FRK Polyclonal antibody
-
Uniprot No.:
-
基因名:FRK
-
別名:Beta cell Src homology tyrosine kinase antibody; BSK antibody; BSK/IYK antibody; C85044 antibody; Frk antibody; Frk fyn related kinase antibody; FRK_HUMAN antibody; FYN related kinase antibody; FYN-related kinase antibody; GASK antibody; Gastrointestinal associated kinase antibody; Gastrointestinal associated tyrosine kinase antibody; GTK antibody; GTK; mouse; homolog of antibody; Intestine tyrosine kinase antibody; Nuclear tyrosine protein kinase RAK antibody; Protein-tyrosine kinase 5 antibody; PTK5 antibody; PTK5 protein tyrosine kinase 5 antibody; RAK antibody; Tyrosine protein kinase FRK antibody; Tyrosine-protein kinase FRK antibody
-
宿主:Rabbit
-
反應種屬:Human
-
免疫原:Recombinant Human Tyrosine-protein kinase FRK protein (1-220AA)
-
免疫原種屬:Homo sapiens (Human)
-
標記方式:Non-conjugated
-
克隆類型:Polyclonal
-
抗體亞型:IgG
-
純化方式:Antigen Affinity Purified
-
濃度:It differs from different batches. Please contact us to confirm it.
-
保存緩沖液:PBS with 0.02% sodium azide, 50% glycerol, pH7.3.
-
產品提供形式:Liquid
-
應用范圍:ELISA, WB, IHC
-
推薦稀釋比:
Application Recommended Dilution WB 1:1000-1:5000 IHC 1:20-1:200 -
Protocols:
-
儲存條件:Upon receipt, store at -20°C or -80°C. Avoid repeated freeze.
-
貨期:Basically, we can dispatch the products out in 1-3 working days after receiving your orders. Delivery time maybe differs from different purchasing way or location, please kindly consult your local distributors for specific delivery time.
-
用途:For Research Use Only. Not for use in diagnostic or therapeutic procedures.
相關產品
靶點詳情
-
功能:Non-receptor tyrosine-protein kinase that negatively regulates cell proliferation. Positively regulates PTEN protein stability through phosphorylation of PTEN on 'Tyr-336', which in turn prevents its ubiquitination and degradation, possibly by reducing its binding to NEDD4. May function as a tumor suppressor.
-
基因功能參考文獻:
- our results present the first evidence that site-specific promoter methylation contributes to the repression of FRK more so in basal B breast cancers. PMID: 28077797
- Loss of FRK protein may be implicated into the tumorigenesis and cell motility/invasiveness of human cervical cancer. PMID: 27665472
- antagomir-1290 significantly inhibited the proliferation, clonogenicity, invasion, and migration of CD133(+) cells by targeting fyn-related Src family tyrosine kinase. PMID: 25783528
- our results demonstrate a combined mechanism for the anti-proliferative effects of FRK by inhibiting cyclin D1 nucleus accumulation and pRb phosphorylation in glioma cells. PMID: 24792491
- FRK over-expression promoted beta-catenin translocation to the plasma membrane, where it formed complex with N-cadherin. PMID: 24969324
- exome sequencing identified recurrent somatic FRK mutations that induce constitutive kinase activity, STAT3 activation, and cell proliferation sensitive to Src inhibitors PMID: 24735922
- Data indicaate that the Rak/Frk SH2 and SH3 domains collaborate to increase the Rak-EGFR interaction. PMID: 23318459
- The expression levels of FRK were significantly correlated with invasiveness in both Hep3B and HepG2 tumor cell lines. PMID: 23267173
- these results clearly indicate that FRK may play a protective role against the progression of glioma by suppressing cell migration and invasion PMID: 22790444
- Genetic variation near FRK/COL10A1 and VEGFA are associated with advanced age-related macular degeneration. PMID: 21665990
- Study searched for mutations in the FRK gene, a recently identified tumor suppressor gene, for the first time in NSCLC. Somatic FRK mutations were found at a very low frequency in NSCLCs. PMID: 21074287
- Breast cancer cell line proliferation blocked by the Src-related Rak tyrosine kinase PMID: 12569567
- The tyrosine kinases Brk/PTK6/Sik, Srm, Frk/Rak/Gtk/Iyk/Bsk, and Src42A/Dsrc41 have a low degree of sequence homology to other known kinases. The exon structure of these kinases, called the Brk family, is highly conserved and distinct. PMID: 12725532
- Three common Japanese polymorphisms of the Fyn kinase gene studied in 127 healthy controls and 182 sporadic Alzheimer's disease failed to demonstrate any significant difference. PMID: 15082191
- Rak functions as a tumor suppressor by regulating PTEN protein stability and function in breast and bone neoplasms. PMID: 19345329
顯示更多
收起更多
-
亞細胞定位:Cytoplasm. Nucleus. Note=Predominantly found in the nucleus, with a small fraction found in the cell periphery.
-
蛋白家族:Protein kinase superfamily, Tyr protein kinase family, SRC subfamily
-
組織特異性:Predominantly expressed in epithelial derived cell lines and tissues, especially normal liver, kidney, breast and colon.
-
數據庫鏈接:
Most popular with customers
-
-
YWHAB Recombinant Monoclonal Antibody
Applications: ELISA, WB, IHC, IF, FC
Species Reactivity: Human, Mouse, Rat
-
Phospho-YAP1 (S127) Recombinant Monoclonal Antibody
Applications: ELISA, WB, IHC
Species Reactivity: Human
-
-
-
-
-















