FREM1 Antibody
-
中文名稱:FREM1兔多克隆抗體
-
貨號:CSB-PA686013LA01HU
-
規格:¥440
-
圖片:
-
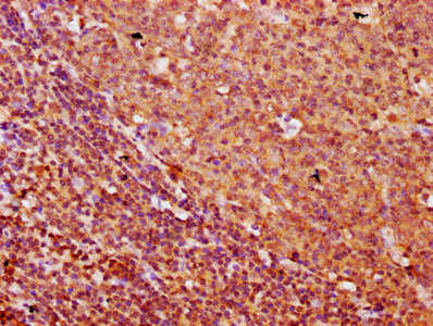
IHC image of CSB-PA686013LA01HU diluted at 1:500 and staining in paraffin-embedded human tonsil tissue performed on a Leica BondTM system. After dewaxing and hydration, antigen retrieval was mediated by high pressure in a citrate buffer (pH 6.0). Section was blocked with 10% normal goat serum 30min at RT. Then primary antibody (1% BSA) was incubated at 4°C overnight. The primary is detected by a biotinylated secondary antibody and visualized using an HRP conjugated SP system.
-
-
其他:
產品詳情
-
產品名稱:Rabbit anti-Homo sapiens (Human) FREM1 Polyclonal antibody
-
Uniprot No.:
-
基因名:FREM1
-
別名:BC037594 antibody; BNAR antibody; C9orf143 antibody; C9orf145 antibody; C9orf154 antibody; D430009N09 antibody; D630008K06 antibody; FLJ25461 antibody; FRAS1-related extracellular matrix protein 1 antibody; FREM 1 antibody; FREM1 antibody; FREM1_HUMAN antibody; Heb antibody; MOTA antibody; Protein QBRICK antibody; QBRICK antibody; RGD1306981 antibody; RP11-265B7.2 antibody; RP23-410K19.1 antibody; TILRR antibody
-
宿主:Rabbit
-
反應種屬:Human
-
免疫原:Recombinant Human FRAS1-related extracellular matrix protein 1 protein (1957-2082AA)
-
免疫原種屬:Homo sapiens (Human)
-
標記方式:Non-conjugated
本頁面中的產品,FREM1 Antibody (CSB-PA686013LA01HU),的標記方式是Non-conjugated。對于FREM1 Antibody,我們還提供其他標記。見下表:
-
克隆類型:Polyclonal
-
抗體亞型:IgG
-
純化方式:>95%, Protein G purified
-
濃度:It differs from different batches. Please contact us to confirm it.
-
保存緩沖液:Preservative: 0.03% Proclin 300
Constituents: 50% Glycerol, 0.01M PBS, pH 7.4 -
產品提供形式:Liquid
-
應用范圍:ELISA, IHC
-
推薦稀釋比:
Application Recommended Dilution IHC 1:500-1:1000 -
Protocols:
-
儲存條件:Upon receipt, store at -20°C or -80°C. Avoid repeated freeze.
-
貨期:Basically, we can dispatch the products out in 1-3 working days after receiving your orders. Delivery time maybe differs from different purchasing way or location, please kindly consult your local distributors for specific delivery time.
-
用途:For Research Use Only. Not for use in diagnostic or therapeutic procedures.
相關產品
靶點詳情
-
功能:Extracellular matrix protein that plays a role in epidermal differentiation and is required for epidermal adhesion during embryonic development.
-
基因功能參考文獻:
- we identified genome-wide significant association involving measures of central upper lip height at 9p22 within FREM1 PMID: 28441456
- FREM1 expression is significantly downregulated in human masticatory mucosa during wound healing PMID: 28005267
- this report describes a patient with a phenotype compatible with Manitoba-oculo-tricho-anal syndrome in whom two novel FREM1 mutations were identified in the compound heterozygous state thus broadening the mutational spectrum of the disease. PMID: 28111185
- Disruption of the FREM1 gene can produce a spectrum of clinical manifestations encompassing the previously described MOTA and BNAR syndromes. PMID: 23401257
- We conclude that FREM1 plays a critical role in the development of the diaphragm and that FREM1 deficiency can cause CDH in both humans and mice. PMID: 23221805
- The significant association of rs1552896 with an HIV-resistant phenotype, together with the expression profile of FREM1 in tissues relevant to HIV infection, suggests that FREM1 is a potentially novel candidate gene for resistance to HIV infection. PMID: 22915813
- The location of the IBD region 16 kb from FREM1 suggests the phenotype in Manitoba oculotrichoanal syndrome patients is attributable to a variant outside of FREM1, potentially in a regulatory element. PMID: 22690109
- FREM1 encodes a basement membrane protein of FRAS1-related extracellular matrix protein 1 which is required for epidermal adhesion during embryonic development PMID: 22876578
- a role for TILRR in selective amplification of NF-kappaB responses through IL-1RI and suggest that the specificity is determined by changes in receptor conformation and adapter protein recruitment. PMID: 22262840
- These data suggest that copy number variations and mutations involving FREM1 can be identified in a significant percentage of people with MC with or without midface hypoplasia. PMID: 21931569
- Manitoba-oculo-tricho-anal (MOTA) syndrome is caused by mutations in FREM1. FREM1 deficiency ties the molecular cause of MOTA syndrome closely to the pathogenesis of Fraser syndrome. PMID: 21507892
- TILRR, an isoform encoded by an alternatively spliced FREM1 mRNA, is an IL-1RI co-receptor that associates with the signaling receptor complex to enhance recruitment of MyD88 and control Ras-dependent amplification of NF-kappaB and inflammatory responses. PMID: 19940113
- The phenotypic variability reported for different Frem1 mouse mutants suggests that the apparently distinct phenotype of bifid nose and anorectal and renal anomalies syndrome in humans may represent a previously unrecognized variant of Fraser syndrome. PMID: 19732862
顯示更多
收起更多
-
相關疾病:Bifid nose, with or without anorectal and renal anomalies (BNAR); Manitoba oculotrichoanal syndrome (MOTA); Trigonocephaly 2 (TRIGNO2)
-
亞細胞定位:Secreted, extracellular space, extracellular matrix, basement membrane.
-
蛋白家族:FRAS1 family
-
數據庫鏈接:
Most popular with customers
-
YWHAB Recombinant Monoclonal Antibody
Applications: ELISA, WB, IHC, IF, FC
Species Reactivity: Human, Mouse, Rat
-
Phospho-YAP1 (S127) Recombinant Monoclonal Antibody
Applications: ELISA, WB, IHC
Species Reactivity: Human
-
-
-
-
-
-















