FOXE1 Antibody
-
中文名稱:FOXE1兔多克隆抗體
-
貨號:CSB-PA083549
-
規格:¥1100
-
圖片:
-
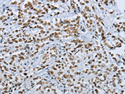
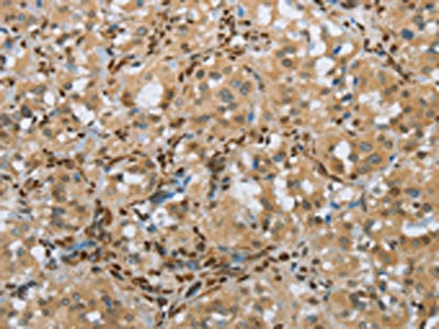
The image on the left is immunohistochemistry of paraffin-embedded Human prostate cancer tissue using CSB-PA083549(FOXE1 Antibody) at dilution 1/25, on the right is treated with synthetic peptide. (Original magnification: ×200)
-
The image on the left is immunohistochemistry of paraffin-embedded Human thyroid cancer tissue using CSB-PA083549(FOXE1 Antibody) at dilution 1/25, on the right is treated with synthetic peptide. (Original magnification: ×200)
-
Gel: 8%SDS-PAGE, Lysate: 40 μg, Lane: Mouse skeletal muscle tissue, Primary antibody: CSB-PA083549(FOXE1 Antibody) at dilution 1/300, Secondary antibody: Goat anti rabbit IgG at 1/8000 dilution, Exposure time: 2 minutes
-
-
其他:
產品詳情
-
Uniprot No.:
-
基因名:FOXE1
-
別名:FKH L15 antibody; FKHL 15 antibody; FKHL15 antibody; Forkhead (Drosophila) like 15 antibody; Forkhead box E1 antibody; Forkhead box E2 antibody; Forkhead box protein E1 antibody; Forkhead box protein E2 antibody; Forkhead drosophila homolog like 15 antibody; Forkhead like 15 antibody; Forkhead related protein FKHL 15 antibody; Forkhead related protein FKHL15 antibody; Forkhead-related protein FKHL15 antibody; FOX E1 antibody; FOX E2 antibody; FOXE 1 antibody; FOXE 2 antibody; FOXE1 antibody; FOXE1_HUMAN antibody; FOXE2 antibody; HFKH 4 antibody; HFKH4 antibody; HFKL 5 antibody; HFKL5 antibody; HNF-3/fork head-like protein 5 antibody; Thyroid transcription factor 2 antibody; TITF 2 antibody; TITF2 antibody; TTF 2 antibody; TTF-2 antibody; TTF2 antibody
-
宿主:Rabbit
-
反應種屬:Human,Mouse
-
免疫原:Synthetic peptide of Human FOXE1
-
免疫原種屬:Homo sapiens (Human)
-
標記方式:Non-conjugated
-
抗體亞型:IgG
-
純化方式:Antigen affinity purification
-
濃度:It differs from different batches. Please contact us to confirm it.
-
保存緩沖液:-20°C, pH7.4 PBS, 0.05% NaN3, 40% Glycerol
-
產品提供形式:Liquid
-
應用范圍:ELISA,WB,IHC
-
推薦稀釋比:
Application Recommended Dilution ELISA 1:1000-1:2000 WB 1:200-1:1000 IHC 1:25-1:100 -
Protocols:
-
儲存條件:Upon receipt, store at -20°C or -80°C. Avoid repeated freeze.
-
貨期:Basically, we can dispatch the products out in 1-3 working days after receiving your orders. Delivery time maybe differs from different purchasing way or location, please kindly consult your local distributors for specific delivery time.
-
用途:For Research Use Only. Not for use in diagnostic or therapeutic procedures.
相關產品
靶點詳情
-
功能:Transcription factor that binds consensus sites on a variety of gene promoters and activate their transcription. Involved in proper palate formation, most probably through the expression of MSX1 and TGFB3 genes which are direct targets of this transcription factor. Also implicated in thyroid gland morphogenesis. May indirectly play a role in cell growth and migration through the regulation of WNT5A expression.
-
基因功能參考文獻:
- We confirmed the association of FOXE1 gene and cleft lip with or without cleft palate by a family based study. For the first time, rs1867277 was significantly associated with cleft lip with or without cleft palate PMID: 29509083
- Mutations of TTF2 is associated with risk of Papillary Thyroid Cancer in Chinese. Patients with Multiplendular goiter and no metastasis are more likely to suffer PTC. G/A mutation of TTF2 had a high correlation with PTC in the overall population. PMID: 26356687
- Report that PTCSC2 binds myosin-9 (MYH9). In a bidirectional promoter shared by FOXE1 and PTCSC2, MYH9 inhibits the promoter activity in both directions. This inhibition can be reversed by PTCSC2, which acts as a suppressor. PMID: 28049826
- replication confirmed at genome-wide significance the association of loci at FOXE1 with hypothyroidism, and PDE8B, CAPZB and PDE10A with serum TSH. A total of 12 SNPs seemed to explain nearly 7% of the serum TSH variation PMID: 28727628
- The functional variants rs965513 and rs1867277 independently contribute to genetic predisposition to papillary thyroid carcinoma, while a contributing role of the FOXE1 poly-Ala polymorphism could not be confirmed. PMID: 27824288
- FOXE1 interacts with ELK1 on thyroid relevant gene promoters, establishing a new regulatory pathway for its role in adult thyroid function. Co-regulation of TERT suggests a mechanism by which allelic variants in/near FOXE1 are associated with thyroid cancer risk. PMID: 27852061
- In a Cuban population, differentiated thyroid cancer risk was positively and strongly associated with the number of copies in the minor allele (A) for SNP rs965513 near FOXE1 among people who consumed less iodine than the median. PMID: 27610545
- methylation-mediated silencing of FOXE1 expression may contribute to the progression of CRC. PMID: 27271927
- The rs965513 polymorphism is a risk factor for thyroid cancer.[meta-analysis] PMID: 27191655
- Patient-related factors modify the predisposition to papillary thyroid carcinoma by increasing the risk for rs944289 (near the NKX2-1 locus) per year of age, and by enhancing the protective effect of the FOXE1 GGT haplotype in men. PMID: 28660995
- We identified a FOXE1: c.532_537delGCCGCC p.(Ala178_Ala179del) variant that predisposes to thyroid ectopia. Taken together, this is the first report of mosaic 11p13 deletion in association with thyroid dysgenesis PMID: 28398607
- Our results implicate FOXE1 as an important locus whose polymorphic variation increases risks for all types of isolated clefts, and opens a new biological pathway to investigate in efforts to understand genetic factors underlying human clefting. PMID: 27604706
- FOXE1 polyalanine repeat polymorphisms are associated with thyroid cancer, but only for tumours larger than 1 cm, suggesting a role in disease progression. PMID: 27474100
- In the analysis of all OFCs combined, SNPs near FOXE1 reached genome-wide significance PMID: 28054174
- FOXE1 was the only gene which was over-expressed in six out of eight lung cancer cell lines and human cancer tissue specimens and is an important regulator by targeting autophagy and Matrix Metalloproteinases pathways in lung cancer development. PMID: 27755953
- Taken together, this study showed that rs7043516 may be considered as a potentially susceptible marker of cleft lip only among Chinese Han populations. PMID: 26728781
- this study shows that FOXE1 polymorphism is strongly associated with non-syndromic cleft lip and palate in populations in northeast China PMID: 26100861
- High Levels of mRNA of both FOXE1 are associated with benign than in malignant thyroid lesions. PMID: 26370671
- Our findings suggest that FOXE1 variations generate a higher risk for poor histopathological features of papillary thyroid carcinoma PMID: 26722557
- genetic susceptibility to thyroid cancer seems likely to be associated with the risk alleles at rs1867277, rs965513, rs1443434, and rs907580 PMID: 26206751
- analysis of novel somatic mutations of FOXE1 in papillary thyroid cancer PMID: 25950909
- Causal mutations for orofacial clefting and thyroid diseases occur within cis-regulatory elements at the human FOXE1 locus. PMID: 25652407
- In pancreatic cancer cells, AF6 is expressed at reduced levels, causing Dvl2 to be upregulated and available to bind and enhance FOXE1-induced trans-activation of Snail, which promotes proliferation and metastasis. PMID: 26013125
- FOXE1 germline rare variant is involved in familal non-medullary thyroid carcinoma. PMID: 25381600
- our data suggest that SYNE1 and FOXE1 are promising markers for colorectal cancer detection. PMID: 25538088
- Our data suggest a role for PTCSC2, FOXE1, and TSHR in the predisposition to papillary thyroid carcinoma. PMID: 25303483
- Findings suggest that the SNPs in XKR4 and near FOXE1 are involved in the regulation of TSH levels. PMID: 24852370
- study identifies probable susceptibility variants of FOXE1 for oral clefts in the Thai population PMID: 24252547
- genetic association studies in population in Germany: Data suggest that an SNP in FOXE1 (rs965513) is associated with increased risk for differentiated thyroid cancer (of an aggressive nature) in the population studied. PMID: 24325646
- FOXE1 and SYNE1 hypermethylation markers demonstrated significantly increased expression in neoplastic tissue. PMID: 24280874
- Common variations of FOXE1 are a risk factor associated with increased thyroid cancer susceptibility. PMID: 24489898
- The current meta-analysis provided evidence that FOXE1 genetic polymorphisms may contribute to increased papillary thyroid carcinoma risk..ATM genetic polymorphisms may not be important dominants of susceptibility to this neoplasm. PMID: 24756757
- three common variations on FOXE1 is a risk factor associated with increased thyroid cancer susceptibility, but these associations vary in different ethnic populations PMID: 24744143
- A tissue-dependent differentially methylated regions (DMR) in the FOXE1 promoter. This DMR contains two consecutive CpG dinucleotides, which are epigenetic modifiers of FOXE1 expression in nontumoral tissues. PMID: 24646064
- These results strongly support the FOXE1 locus as a risk factor for nsOFC. With the data of the initial study, there is now considerable evidence that this locus is the first conclusive risk factor shared between nsCL/P and nsCPO. PMID: 24563486
- Significant association with PTC was found for rs1801516 (D1853N) in ATM and rs1867277 in the promoter region of FOXE1 (OR = 1.55, 95% CI 1.03, 2.34). PMID: 24105688
- single nucleotide polymorphisms at 9q22.33 near FOXE1 showed convincing evidence of association with nonmedullary thyroid carcinoma risk in high-risk families PMID: 24127282
- Nuclear FOXE1 expression in tumor cells in vicinity of the PTC border is associated with presence of a risk allele of rs1867277 (c.-238G>A) in the 5' untranslated region of the FOXE1 gene, as well as with pathological characteristics of PTC. PMID: 23327367
- the FOXE1 gene exhibits significant differential expression levels between PTC tissues and adjacent non-tumor thyroid tissues. PMID: 23715628
- In addition, eight genes classified as 'second tier' hits in the original study (PAX7, THADA, COL8A1/FILIP1L, DCAF4L2, GADD45G, NTN1, RBFOX3 and FOXE1) showed evidence of linkage and association in this replication sample. PMID: 23512105
- study showed evidence of association between forkhead box E1 (FOXE1) variants and thyroid cancer risk in the Portuguese population PMID: 22882326
- coding polyalanine expansion in FOXE1 may be responsible for the observed association between FOXE1 and papillary thyroid cancer PMID: 22736773
- FOXE1 genes suggest a role for orofacial clefting in hispanic polulation. PMID: 22753311
- Novel associations for hypothyroidism and autoimmune risk loci include SNPs near the FOXE1 gene. PMID: 22493691
- Polyalanine repeat expansions in FOXE1 is associated with the genetic aetiology of POF in Chinese women. PMID: 22177572
- Both FOXE1 and NKX2-1 were associated with the increased risk of sporadic Japanese PTC. PMID: 21730105
- these results excluded the association of poly (Ala) polymorphism with autoimmune thyroid diseases; however it confirms the involvement of FOXE1 in the genesis of thyroid carcinoma. PMID: 21896990
- FOXE1-polyAla tract expansion may contribute to the molecular background of familial but not sporadic forms of thyroid hemiagenesis. PMID: 21311165
- Polymorphisms in TIMP2 and WNT9B are novel loci predisposing to cleft palate. PMID: 21462296
- Effects of genetic variation in FOXE1 on serum free thyroxine (FT4) levels in Caucasian populations are demonstrated, as well as borderline significant effects on serum thyroid hormone (TSH) levels. PMID: 21367965
顯示更多
收起更多
-
相關疾病:Bamforth-Lazarus syndrome (BLS); Thyroid cancer, non-medullary, 4 (NMTC4)
-
亞細胞定位:Nucleus.
-
組織特異性:Detected in adult brain, placenta, lung, liver, skeletal muscle, kidney, pancreas, heart, colon, small intestine testis and thymus. Expression was strongest in heart and pancreas.
-
數據庫鏈接:
Most popular with customers
-
-
YWHAB Recombinant Monoclonal Antibody
Applications: ELISA, WB, IHC, IF, FC
Species Reactivity: Human, Mouse, Rat
-
Phospho-YAP1 (S127) Recombinant Monoclonal Antibody
Applications: ELISA, WB, IHC
Species Reactivity: Human
-
-
-
-
-















