FOSL2 Antibody
-
中文名稱:FOSL2兔多克隆抗體
-
貨號:CSB-PA008793ESR1HU
-
規格:¥440
-
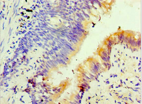
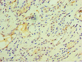
圖片:
-
其他:
產品詳情
-
產品名稱:Rabbit anti-Homo sapiens (Human) FOSL2 Polyclonal antibody
-
Uniprot No.:
-
基因名:
-
別名:FLJ23306 antibody; Fos L2 antibody; FOS like antigen 2 antibody; Fos related antigen 2 antibody; Fos-related antigen 2 antibody; FosL 2 antibody; Fosl2 antibody; FOSL2_HUMAN antibody; FRA 2 antibody; FRA-2 antibody
-
宿主:Rabbit
-
反應種屬:Human
-
免疫原:Recombinant Human Fos-related antigen 2 protein (187-326AA)
-
免疫原種屬:Homo sapiens (Human)
-
標記方式:Non-conjugated
-
克隆類型:Polyclonal
-
抗體亞型:IgG
-
純化方式:Antigen Affinity Purified
-
濃度:It differs from different batches. Please contact us to confirm it.
-
保存緩沖液:PBS with 0.02% sodium azide, 50% glycerol, pH7.3.
-
產品提供形式:Liquid
-
應用范圍:ELISA, IHC
-
推薦稀釋比:
Application Recommended Dilution IHC 1:20-1:200 -
Protocols:
-
儲存條件:Upon receipt, store at -20°C or -80°C. Avoid repeated freeze.
-
貨期:Basically, we can dispatch the products out in 1-3 working days after receiving your orders. Delivery time maybe differs from different purchasing way or location, please kindly consult your local distributors for specific delivery time.
-
用途:For Research Use Only. Not for use in diagnostic or therapeutic procedures.
相關產品
靶點詳情
-
功能:Controls osteoclast survival and size. As a dimer with JUN, activates LIF transcription. Activates CEBPB transcription in PGE2-activated osteoblasts.
-
基因功能參考文獻:
- this study indicates the existence of an aberrant miR-124-3p/Fra-2 pathway that results in glioma aggressiveness PMID: 30243808
- Data provide evidence that FOSL2 is the target gene of miR-143 and negatively correlated with its expression. Down-regulation of FOSL2 seems to be a critical step in regulation of OS properties and the expression of miR-143 can inhibit the proliferation, migration and invasion of OS by reducing the expression of FOSL2. PMID: 29330462
- FOSL2 is a direct target of miR-597 in breast cancer cells. PMID: 28393251
- The binding and expression of c-Fos/Fra-2 increased as a function of severity of tongue lesions, yet selective participation of c-Jun appears to promote poor differentiation and aggressive tumorigenesis. PMID: 26581505
- FOSL2 facilitates TGF-beta1-induced migration by interaction with Smad3 in non-small cell lung cancer.FOSL2 positively regulates TGF-beta1 signalling . PMID: 25375657
- FRA2 is a STAT5 target gene regulated by IL-2 in human CD4 T cells. PMID: 24587342
- we show that the suppression was mediated, at least in part, by a suspension culture-driven decrease in the levels of two members of the AP1 transcription factor complex, c-Jun and Fra2 PMID: 23339184
- SOX4 is a direct target gene of FRA-2 and induces expression of HDAC8 in adult T-cell leukemia/lymphoma. PMID: 23482931
- This study suggests that Fra-2 transgenic mice as an animal model of systemic sclerosis-associated pulmonary arterial hypertension display main characteristic features of the human disease. PMID: 22523431
- results demonstrate the presence of a common oncogenic cascade initiated by FRA2/JUND in CCR4-expressing mature T-cell malignancies such as ATLL and CTCLs PMID: 22493372
- FOSL2 is a critical regulator of leptin expression in adipocytes PMID: 22326952
- Results suggest that Fra-2 protein may be more effective than ATF-2 protein in cyst formation originated from epithelial cells of dental follicles. PMID: 20675274
- These findings reveal a novel function of Fra-2/AP-1 as a positive regulator of bone and matrix formation in mice and humans. PMID: 20837772
- Fra-2 is overexpressed in SSc and acts as a novel downstream mediator of the profibrotic effects of TGFbeta and PDGF. PMID: 20039427
- Fra-2 overexpression is associated with a more aggressive tumor phenotype and is probably involved in breast cancer progression in vivo. PMID: 17393299
- aberrantly expressed Fra-2 in association with JunD may play a major role in CCR4 expression and oncogenesis in adult T-cell leukemia. PMID: 18071306
- Genes for Fra2, Id2, and CSF1-receptor are deregulated, regardless of whether the in anaplastic large cell lymphoma contains the t(2;5). PMID: 19321746
- Fra-2 transgenic natural killer (NK)T cells produce unusually high amounts of interleukin (IL)-2 and IL-4, and proliferate abnormally. PMID: 19620306
- Fra-2 is present in human systemic sclerosis and may contribute to the development of microvasculopathy by inducing endothelial cell apoptosis and by reducing endothelial cell migration and chemotaxis. PMID: 19933934
顯示更多
收起更多
-
亞細胞定位:Nucleus.
-
蛋白家族:BZIP family, Fos subfamily
-
數據庫鏈接:
Most popular with customers
-
-
YWHAB Recombinant Monoclonal Antibody
Applications: ELISA, WB, IHC, IF, FC
Species Reactivity: Human, Mouse, Rat
-
Phospho-YAP1 (S127) Recombinant Monoclonal Antibody
Applications: ELISA, WB, IHC
Species Reactivity: Human
-
-
-
-
-















