FMO5 Antibody
-
中文名稱:FMO5兔多克隆抗體
-
貨號:CSB-PA008751ESR2HU
-
規格:¥440
-
圖片:
-
Western blot
All lanes: FMO5 antibody at 6.04 μg/ml + Mouse liver tissue
Secondary
Goat polyclonal to rabbit IgG at 1/10000 dilution
Predicted band size: 61, 33, 53 kDa
Observed band size: 61 kDa -
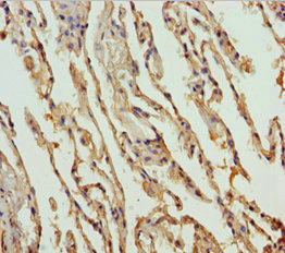
Immunohistochemistry of paraffin-embedded human lung tissue using CSB-PA008751ESR2HU at dilution of 1:100
-
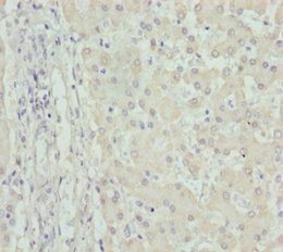
Immunohistochemistry of paraffin-embedded human liver tissue using CSB-PA008751ESR2HU at dilution of 1:100
-
-
其他:
產品詳情
-
產品名稱:Rabbit anti-Homo sapiens (Human) FMO5 Polyclonal antibody
-
Uniprot No.:
-
基因名:FMO5
-
別名:Dimethylaniline monooxygenase [N oxide forming] 5 antibody; Dimethylaniline monooxygenase [N-oxide-forming] 5 antibody; Dimethylaniline oxidase 5 antibody; FMO 5 antibody; FMO5 antibody; FMO5_HUMAN antibody; Hepatic flavin containing monooxygenase 5 antibody; Hepatic flavin-containing monooxygenase 5 antibody
-
宿主:Rabbit
-
反應種屬:Human, Mouse
-
免疫原:Recombinant Human Dimethylaniline monooxygenase [N-oxide-forming] 5 protein (1-285AA)
-
免疫原種屬:Homo sapiens (Human)
-
標記方式:Non-conjugated
-
克隆類型:Polyclonal
-
抗體亞型:IgG
-
純化方式:Antigen Affinity Purified
-
濃度:It differs from different batches. Please contact us to confirm it.
-
保存緩沖液:PBS with 0.02% sodium azide, 50% glycerol, pH7.3.
-
產品提供形式:Liquid
-
應用范圍:ELISA, WB, IHC
-
推薦稀釋比:
Application Recommended Dilution WB 1:1000-1:5000 IHC 1:20-1:200 -
Protocols:
-
儲存條件:Upon receipt, store at -20°C or -80°C. Avoid repeated freeze.
-
貨期:Basically, we can dispatch the products out in 1-3 working days after receiving your orders. Delivery time maybe differs from different purchasing way or location, please kindly consult your local distributors for specific delivery time.
-
用途:For Research Use Only. Not for use in diagnostic or therapeutic procedures.
相關產品
靶點詳情
-
功能:Acts as Baeyer-Villiger monooxygenase on a broad range of substrates. Catalyzes the insertion of an oxygen atom into a carbon-carbon bond adjacent to a carbonyl, which converts ketones to esters. Active on diverse carbonyl compounds, whereas soft nucleophiles are mostly non- or poorly reactive. In contrast with other forms of FMO it is non- or poorly active on 'classical' substrates such as drugs, pesticides, and dietary components containing soft nucleophilic heteroatoms (Probable). Able to oxidize drug molecules bearing a carbonyl group on an aliphatic chain, such as nabumetone and pentoxifylline. Also, in the absence of substrates, shows slow but yet significant NADPH oxidase activity. Acts as a positive modulator of cholesterol biosynthesis as well as glucose homeostasis, promoting metabolic aging via pleiotropic effects.
-
基因功能參考文獻:
- Report relatively stable FMO5 expression throughout development. PMID: 26839369
- Nabumetone and pentoxifylline, two widely used pharmaceuticals, were thereby demonstrated to be efficiently oxidized in vitro by FMO5 to the corresponding acetate esters with high selectivity. PMID: 28783300
- absence of the typical characteristic sequence motifs sets human FMO5 apart from all characterized Baeyer-Villiger mono-oxygenases so far. These findings open new perspectives in human oxidative metabolism PMID: 26771671
- fmo5 displayed a significant, dominant liver-specific mRNA profile. PMID: 16183778
-
亞細胞定位:Microsome membrane. Endoplasmic reticulum membrane.
-
蛋白家族:FMO family
-
組織特異性:Expressed in fetal and adult liver.
-
數據庫鏈接:
Most popular with customers
-
-
YWHAB Recombinant Monoclonal Antibody
Applications: ELISA, WB, IHC, IF, FC
Species Reactivity: Human, Mouse, Rat
-
Phospho-YAP1 (S127) Recombinant Monoclonal Antibody
Applications: ELISA, WB, IHC
Species Reactivity: Human
-
-
-
-
-















