FMNL3 Antibody
-
中文名稱:FMNL3兔多克隆抗體
-
貨號:CSB-PA815554LA01HU
-
規格:¥440
-
圖片:
-
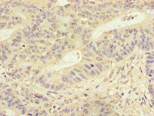
Immunohistochemistry of paraffin-embedded human colon cancer using CSB-PA815554LA01HU at dilution of 1:100
-
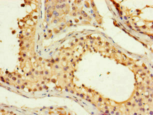
Immunohistochemistry of paraffin-embedded human testis tissue using CSB-PA815554LA01HU at dilution of 1:100
-
Immunofluorescent analysis of HepG2 cells using CSB-PA815554LA01HU at dilution of 1:100 and Alexa Fluor 488-congugated AffiniPure Goat Anti-Rabbit IgG(H+L)
-
-
其他:
產品詳情
-
產品名稱:Rabbit anti-Homo sapiens (Human) FMNL3 Polyclonal antibody
-
Uniprot No.:
-
基因名:FMNL3
-
別名:FMNL3 antibody; FHOD3 antibody; FRL2 antibody; KIAA2014 antibody; WBP3 antibody; Formin-like protein 3 antibody; Formin homology 2 domain-containing protein 3 antibody; WW domain-binding protein 3 antibody; WBP-3 antibody
-
宿主:Rabbit
-
反應種屬:Human
-
免疫原:Recombinant Human Formin-like protein 3 protein (2-212AA)
-
免疫原種屬:Homo sapiens (Human)
-
標記方式:Non-conjugated
本頁面中的產品,FMNL3 Antibody (CSB-PA815554LA01HU),的標記方式是Non-conjugated。對于FMNL3 Antibody,我們還提供其他標記。見下表:
-
克隆類型:Polyclonal
-
抗體亞型:IgG
-
純化方式:>95%, Protein G purified
-
濃度:It differs from different batches. Please contact us to confirm it.
-
保存緩沖液:Preservative: 0.03% Proclin 300
Constituents: 50% Glycerol, 0.01M PBS, PH 7.4 -
產品提供形式:Liquid
-
應用范圍:ELISA, IHC, IF
-
推薦稀釋比:
Application Recommended Dilution IHC 1:20-1:200 IF 1:50-1:200 -
Protocols:
-
儲存條件:Upon receipt, store at -20°C or -80°C. Avoid repeated freeze.
-
貨期:Basically, we can dispatch the products out in 1-3 working days after receiving your orders. Delivery time maybe differs from different purchasing way or location, please kindly consult your local distributors for specific delivery time.
-
用途:For Research Use Only. Not for use in diagnostic or therapeutic procedures.
相關產品
靶點詳情
-
功能:Plays a role in the regulation of cell morphology and cytoskeletal organization. Required in the control of cell shape and migration. Required for developmental angiogenesis. In this process, required for microtubule reorganization and for efficient endothelial cell elongation. In quiescent endothelial cells, triggers rearrangement of the actin cytoskeleton, but does not alter microtubule alignement.
-
基因功能參考文獻:
- Study revealed an essential role for FMNL3 in regulating the RhoC/FAK pathway and actin assembly dynamics, and the subsequent promotion of colorectal carcinoma invasion. PMID: 30228782
- FMNL3, the target gene of miR-127, is upregulated and acting as an oncogene in ESCC PMID: 27645894
- FMNL3 functions in assembly of actin-based protrusions that are specialized for cell-cell adhesion. PMID: 25428984
- FMNL3 plays an important role in the progression and metastasis of colorectal carcinoma and may be a novel potential prognostic predictor in colorectal carcinoma. PMID: 25758200
- Formin-like 3 (FMNL3) is a crucial regulator of endothelial cell elongation during angiogenesis. PMID: 22275430
- Protein N-myristoylation plays critical roles in the cellular morphological changes induced by FMNL2 and FMNL3. PMID: 22790947
- Data suggest that the FH2 domain of FRL2 possesses properties not shared by FRL1 that allow it to generate filopodia. PMID: 20862687
顯示更多
收起更多
-
亞細胞定位:Cytoplasm. Cell membrane; Lipid-anchor. Note=Enriched in lamellipodia.
-
蛋白家族:Formin homology family
-
組織特異性:Expressed in endothelial cells.
-
數據庫鏈接:
Most popular with customers
-
-
YWHAB Recombinant Monoclonal Antibody
Applications: ELISA, WB, IHC, IF, FC
Species Reactivity: Human, Mouse, Rat
-
Phospho-YAP1 (S127) Recombinant Monoclonal Antibody
Applications: ELISA, WB, IHC
Species Reactivity: Human
-
-
-
-
-















