FLOT1 Antibody
-
中文名稱:FLOT1兔多克隆抗體
-
貨號:CSB-PA008727LA01HU
-
規格:¥440
-
圖片:
-
Western Blot
Positive WB detected in: HepG2 whole cell lysate, K562 whole cell lysate, Hela whole cell lysate, Rat brain tissue, Mouse brain tissue
All lanes: FLOT1 antibody at 3µg/ml
Secondary
Goat polyclonal to rabbit IgG at 1/50000 dilution
Predicted band size: 48, 43 kDa
Observed band size: 48 kDa -
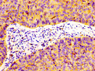
IHC image of CSB-PA008727LA01HU diluted at 1:100 and staining in paraffin-embedded human cervical cancer performed on a Leica BondTM system. After dewaxing and hydration, antigen retrieval was mediated by high pressure in a citrate buffer (pH 6.0). Section was blocked with 10% normal goat serum 30min at RT. Then primary antibody (1% BSA) was incubated at 4°C overnight. The primary is detected by a biotinylated secondary antibody and visualized using an HRP conjugated SP system.
-
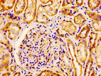
IHC image of CSB-PA008727LA01HU diluted at 1:100 and staining in paraffin-embedded human kidney tissue performed on a Leica BondTM system. After dewaxing and hydration, antigen retrieval was mediated by high pressure in a citrate buffer (pH 6.0). Section was blocked with 10% normal goat serum 30min at RT. Then primary antibody (1% BSA) was incubated at 4°C overnight. The primary is detected by a biotinylated secondary antibody and visualized using an HRP conjugated ABC system.
-
Immunofluorescence staining of Hela cells with CSB-PA008727LA01HU at 1:100, counter-stained with DAPI. The cells were fixed in 4% formaldehyde, permeabilized using 0.2% Triton X-100 and blocked in 10% normal Goat Serum. The cells were then incubated with the antibody overnight at 4°C. The secondary antibody was Alexa Fluor 488-congugated AffiniPure Goat Anti-Rabbit IgG(H+L).
-
Immunoprecipitating FLOT1 in Hela whole cell lysate
Lane 1: Rabbit control IgG instead of CSB-PA008727LA01HU in Hela whole cell lysate. For western blotting, a HRP-conjugated Protein G antibody was used as the secondary antibody (1/2000)
Lane 2: CSB-PA008727LA01HU (8µg) + Hela whole cell lysate (500µg)
Lane 3: Hela whole cell lysate (10µg) -
Immunoprecipitating FLOT1 in K562 whole cell lysate
Lane 1: Rabbit control IgG instead of CSB-PA008727LA01HU in K562 whole cell lysate. For western blotting, a HRP-conjugated Protein G antibody was used as the secondary antibody (1/5000)
Lane 2: CSB-PA008727LA01HU (8µg) + K562 whole cell lysate (500µg)
Lane 3: K562 whole cell lysate (20µg)
-
-
其他:
產品詳情
-
產品名稱:Rabbit anti-Homo sapiens (Human) FLOT1 Polyclonal antibody
-
Uniprot No.:
-
基因名:
-
別名:FLOT 1 antibody; FLOT1 antibody; FLOT1_HUMAN antibody; Flotillin-1 antibody; Flotillin1 antibody; Integral membrane component of caveolae antibody; Reggie 2 antibody
-
宿主:Rabbit
-
反應種屬:Human, Rat, Mouse
-
免疫原:Recombinant Human Flotillin-1 protein (169-251AA)
-
免疫原種屬:Homo sapiens (Human)
-
標記方式:Non-conjugated
本頁面中的產品,FLOT1 Antibody (CSB-PA008727LA01HU),的標記方式是Non-conjugated。對于FLOT1 Antibody,我們還提供其他標記。見下表:
-
克隆類型:Polyclonal
-
抗體亞型:IgG
-
純化方式:>95%, Protein G purified
-
濃度:It differs from different batches. Please contact us to confirm it.
-
保存緩沖液:Preservative: 0.03% Proclin 300
Constituents: 50% Glycerol, 0.01M PBS, pH 7.4 -
產品提供形式:Liquid
-
應用范圍:ELISA, WB, IHC, IF, IP
-
推薦稀釋比:
Application Recommended Dilution WB 1:500-1:5000 IHC 1:20-1:200 IF 1:50-1:200 IP 1:200-1:2000 -
Protocols:
-
儲存條件:Upon receipt, store at -20°C or -80°C. Avoid repeated freeze.
-
貨期:Basically, we can dispatch the products out in 1-3 working days after receiving your orders. Delivery time maybe differs from different purchasing way or location, please kindly consult your local distributors for specific delivery time.
-
用途:For Research Use Only. Not for use in diagnostic or therapeutic procedures.
相關產品
靶點詳情
-
功能:May act as a scaffolding protein within caveolar membranes, functionally participating in formation of caveolae or caveolae-like vesicles.
-
基因功能參考文獻:
- flotillin-1 is a tumorigenic protein that plays an important role in promoting the proliferation and tumorigenicity of LUAD. PMID: 28825855
- flotillin has a role in desmosomal adhesion and Pemphigus vulgaris-like localisation of desmoglein-3 in human keratinocytes PMID: 27346727
- Autoantibodies against flotillin-1/2 heterocomplex are present in 1-2% of patients with bona fide multiple sclerosis. PMID: 28645295
- Furthermore, we identify flotillin-1 (FLOT1) and histone H1 as downstream factors for cytoplasmic and nuclear pathway of S100A11, which are required for LASP1-S100A11 axis-mediated epithelial-mesenchymal transition and colorectal cancer progression. PMID: 27181092
- FLOT1 is associated with aggressive characteristics of HCC PMID: 23840303
- This study presents the endocytic pathways of internalization for muscarinic type 3 receptor and flotillin-1/2 in salivary gland epithelial cells. knockdown of flot-1 or -2 by flotillin-specific siRNA prevented internalization and reduced the endocytic efficiency of muscarinic type 3 receptor. PMID: 27221048
- Data show that overexpression of 4.1N protein decreased expression of flotillin-1, decreased activation of beta-catenin/Wnt pathway in non-small-cell lung cancer (NSCLC) cells. PMID: 27448302
- Upregulation of flotillin-1 promotes invasion and metastasis by activating TGF-beta signaling in nasopharyngeal carcinoma. PMID: 26646322
- Flotillin-1 protein is upregulated in human endometrial cancer and localization shifts from epithelial to stromal with increasing tumor grade PMID: 26682635
- Expression of flotillin-1 was associated with H-Ras in breast cancer, especially in TNBC (p < 0.001). PMID: 26413934
- findings revealed the expression of flotillin 1 in gastric cancer samples is significantly higher than that of noncancer/normal tissues; findings suggest that flotillin 1 may be a novel biomarker for gastric cancer PMID: 25948494
- miR-506 expression was down-regulated in clear cell renal cell carcinoma (ccRCC) and correlated with advanced histologic grade, clinical stage, tumor stage, positive lymph node metastasis, and distant metastasis. FLOT1, a potential target gene of miR-506, was inversely correlated with miR-506 expression in ccRCC tissues. PMID: 25793370
- polycystins are necessary for assembly of a novel flotillin-containing ciliary signaling complex and provide a molecular rationale for the common renal pathologies caused by OFD1 and polycystin mutations. PMID: 25180832
- Findings suggest that FLOT1 plays an important role in the proliferation and recurrence of transitional cell carcinoma. PMID: 24890092
- Downregulation of microRNA-182-5p contributes to renal cell carcinoma proliferation via activating the AKT/FOXO3a signaling pathway with FLOT1 being a target. PMID: 24886554
- overexpression of FLOT1 can be found in tongue squamous cell cancer patients with higher pathological stage, T classification, N classification or recurrence PMID: 24695539
- Flotillin-1 mRNA expression is up-regulated in non-small cell lung cancer patients. PMID: 24533441
- a critical role of flotillin-1 in ROS production mediated by c-Src PMID: 24983503
- Flotillin-1 regulates oncogenic signaling in neuroblastoma cells by regulating ALK membrane association. PMID: 24830726
- The FLOT1 is abundantly expressed in term villous placental CTs and endothelial cells, and in comparison, expression of these proteins in the ST is reduced. PMID: 23064789
- Depletion of either flotillin-1 or flotillin-2 resulted in downregulation of ErbB3 and a selective reduction of ErbB2-ErbB3 receptor complexes. PMID: 24747692
- study demonstrated that miR-124 might be a tumor suppressor in breast cancer via the regulation of FLOT1 PMID: 24330780
- We have identified flotillin 1 and 2 as new partners of the cadherin complexes PMID: 24046456
- These data here provide direct evidences for the molecular interaction and endocytosis of PrP(C) with Flot-1 in the presence of copper ions. PMID: 23625312
- Patients with higher FLOT1 expression had shorter overall survival time, whereas those with lower FLOT1 expression had longer survival time PMID: 24277378
- Human group V secretory phospholipase A2 is associated with lipid rafts and internalized in a flotillindependent pathway. PMID: 24042857
- EGFR overexpression and increase in signaling correlates with flotillin-1 expresion. PMID: 24304721
- Report role for flotillin 1/2 in interactions of lung epithelial cells with silica nanoparticles. PMID: 22669515
- we describe how flotillin-1 and -2 contribute to the stabilization of ErbB2 at the cell surface in breast cancer tissue PMID: 22869152
- Flotillin-1 plays an important role in Oral squamous cell carcinoma (OSCC) development. PMID: 23581411
- Flotillin-1 interacted with PrPc and promote the endocytosis of PrPc. PMID: 23627023
- results support predominant formation of flotillin-1 and -2 hetero-oligomers in resting and chemokine-stimulated human T-cells which may importantly contribute to structuring of the uropod. PMID: 23012365
- a novel signaling network containing FRS2, CAP and flotillin-1 PMID: 22235335
- receptor-tyrosine kinases may also rely on flotillin-1 upon activation, thus suggesting a general role for flotillin-1 as a novel factor in receptor-tyrosine kinase/MAP kinase signaling. PMID: 22232557
- Chlamydia pneumoniae intracellular growth was attenuated in the flotillin-1-silenced cells. PMID: 22215737
- FLOT1 plays an important role in promoting proliferation and tumorigenesis of human breast cancer and may represent a novel prognostic biomarker and therapeutic target for the disease. PMID: 21447726
- Flot1-enriched membrane microdomains are required for protein kinase C-regulated internalization of the DA transporter (DAT) and the glial glutamate transporter EAAT2. PMID: 21399631
- flotillins have a role in NPC1L1-mediated cholesterol uptake and NPC1L1-flotillins-postive cholesterol-enriched membrane microdomains are involved in the mechanism for efficient cholesterol absorption PMID: 21187433
- the cellular pathways used by transportan and transportan 10 (TP10) for protein transduction PMID: 19348413
- Data show that the BCG phagosome is relatively depleted in LAMP-2, NPC1, flotillin-1, vATPase, and syntaxin 3. PMID: 19815536
- In hematopoietic cells, flotillins provide intrinsic cues that govern segregation of certain microdomain-associated molecules during immune cell polarization. PMID: 20027317
- Flotillin-1, a marker of rafts, accumulates in lysosomes of neurons in Alzheimer's disease PMID: 14708344
- ATP-binding cassette, sub-family A (ABC1), member 1 forms a complex with syntaxin 13 and flotillin-1, residing at the plasma membrane and in phagosomes PMID: 15469992
- It is significant that there is an increased gene expression of flotillin-1 in the Parkinson substantia nigra/ventral tegmental area compared to controls. PMID: 15545008
- Recombinant flotillin-1 was purified and characterized in in large quantity and high purity. PMID: 15939299
- Myocilins with mutations such as G364V, K423E, and Y437H on the domain failed to interact with flotillin-1. PMID: 16198165
- Flotillin-1 small interfering RNA (siRNA) inhibited both clathrin-independent uptake of cholera toxin and endocytosis of a GPI-linked protein. We propose that flotillin-1 is one determinant of a clathrin-independent endocytic pathway in mammalian cells. PMID: 16341206
- flotillin-1 may recruit amyloid beta (A4) precursor protein to lipid rafts and therefore participate in the localization and processing of APP PMID: 16480949
- The results showed that flotillin-1 can interact with arginase1, and hence arginase activity was up-regulated by 26.8%. PMID: 17113085
- These lines of evidence suggested that a Gq-coupled receptor activates specifically p38 MAPK through lipid rafts and Src kinase activation, in which flotillins positively modulate the Gq signaling. PMID: 17307333
顯示更多
收起更多
-
亞細胞定位:Cell membrane; Peripheral membrane protein. Endosome. Membrane, caveola; Peripheral membrane protein. Melanosome. Membrane raft.
-
蛋白家族:Band 7/mec-2 family, Flotillin subfamily
-
數據庫鏈接:















