FKBPL Antibody
-
中文名稱:FKBPL兔多克隆抗體
-
貨號:CSB-PA883441ESR1HU
-
規格:¥440
-
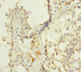
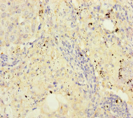
圖片:
-
其他:
產品詳情
-
產品名稱:Rabbit anti-Homo sapiens (Human) FKBPL Polyclonal antibody
-
Uniprot No.:
-
基因名:FKBPL
-
別名:DIR1 antibody; FK506 binding protein like antibody; FK506-binding protein-like antibody; Fkbpl antibody; FKBPL_HUMAN antibody; NG7 antibody; OTTHUMP00000029170 antibody; WAF 1/CIP1 stabilizing protein 39 antibody; WAF-1/CIP1 stabilizing protein 39 antibody; WISP39 antibody
-
宿主:Rabbit
-
反應種屬:Human
-
免疫原:Recombinant Human FK506-binding protein-like protein (1-349AA)
-
免疫原種屬:Homo sapiens (Human)
-
標記方式:Non-conjugated
-
克隆類型:Polyclonal
-
抗體亞型:IgG
-
純化方式:Antigen Affinity Purified
-
濃度:It differs from different batches. Please contact us to confirm it.
-
保存緩沖液:PBS with 0.02% sodium azide, 50% glycerol, pH7.3.
-
產品提供形式:Liquid
-
應用范圍:ELISA, IHC
-
推薦稀釋比:
Application Recommended Dilution IHC 1:20-1:200 -
Protocols:
-
儲存條件:Upon receipt, store at -20°C or -80°C. Avoid repeated freeze.
-
貨期:Basically, we can dispatch the products out in 1-3 working days after receiving your orders. Delivery time maybe differs from different purchasing way or location, please kindly consult your local distributors for specific delivery time.
-
用途:For Research Use Only. Not for use in diagnostic or therapeutic procedures.
相關產品
靶點詳情
-
功能:May be involved in response to X-ray. Regulates p21 protein stability by binding to Hsp90 and p21.
-
基因功能參考文獻:
- This study identified two low-frequency nonsynonymous variants at FKBPL (rs200847762, OR = 0.34, 95% CI = 0.20-0.57, P = 4.31 x 10-5) and ARPC1B (rs1045012, OR = 0.56, 95% CI = 0.43-0.74, P = 4.30 x 10-5) associated with breast cancer risk. PMID: 27479355
- The data suggests a role for FKBPL as a prognostic factor for BCSS, with the potential to be routinely evaluated within the clinic. PMID: 25906750
- WISp39 preferentially interacts with phosphorylated Coronin 1B, allowing it to complex with Slingshot phosphatase to dephosphorylate and activate Cofilin. PMID: 25800056
- FKBPL is an important regulator of developmental and pathological angiogenesis. PMID: 25767277
- high levels of FKBPL and RBCK1 correlated with increased patient survival, whereas high RBCK1 predicted for a poor response to tamoxifen. PMID: 23912458
- FKBPL and and its peptide derivative, AD-01 regulate expression of CD44. PMID: 23457460
- Genome-wide association study of age-related macular degeneration identifies TNXB, FKBPL and NOTCH4 as candidate susceptibility genes. PMID: 22694956
- Alterations in the gene for FKBPL in azoospermic patients. PMID: 20210997
- Findings suggest that FKBPL may have prognostic value based on its impact on tumor proliferative capacity and sensitivity to endocrine therapies, which improve outcome. PMID: 20103631
- Results demonstrate the importance of posttranslational stabilization of p21 protein by WISp39 in regulating cellular p21 activity. PMID: 15664193
- FKBPL can be classed as a new member of the FKBP protein family with a role in steroid receptor complexes and signaling. PMID: 18669603
顯示更多
收起更多
-
組織特異性:Ubiquitously expressed with higher levels in testis.
-
數據庫鏈接:
Most popular with customers
-
-
YWHAB Recombinant Monoclonal Antibody
Applications: ELISA, WB, IHC, IF, FC
Species Reactivity: Human, Mouse, Rat
-
Phospho-YAP1 (S127) Recombinant Monoclonal Antibody
Applications: ELISA, WB, IHC
Species Reactivity: Human
-
-
-
-
-
VDAC1 Recombinant Monoclonal Antibody
Applications: ELISA, WB, IHC
Species Reactivity: Human, Mouse, Rat















