-
中文名稱:FIGN兔多克隆抗體
-
貨號:CSB-PA008676LA01HU
-
規格:¥440
-
圖片:
-
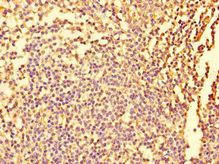
Immunohistochemistry of paraffin-embedded human tonsil tissue using CSB-PA008676LA01HU at dilution of 1:100
-
Immunofluorescent analysis of Hela cells using CSB-PA008676LA01HU at dilution of 1:100 and Alexa Fluor 488-congugated AffiniPure Goat Anti-Rabbit IgG(H+L)
-
Western Blot
Positive WB detected in: HepG2 whole cell lysate, Mouse brain tissue
All lanes: FIGN antibody at 3μg/ml
Secondary
Goat polyclonal to rabbit IgG at 1/50000 dilution
Predicted band size: 83 kDa
Observed band size: 83, 38 kDa
-
-
其他:
產品詳情
-
產品名稱:Rabbit anti-Homo sapiens (Human) FIGN Polyclonal antibody
-
Uniprot No.:
-
基因名:FIGN
-
別名:FIGNFidgetin antibody
-
宿主:Rabbit
-
反應種屬:Human, Mouse
-
免疫原:Recombinant Human Fidgetin protein (132-371AA)
-
免疫原種屬:Homo sapiens (Human)
-
標記方式:Non-conjugated
本頁面中的產品,FIGN Antibody (CSB-PA008676LA01HU),的標記方式是Non-conjugated。對于FIGN Antibody,我們還提供其他標記。見下表:
-
克隆類型:Polyclonal
-
抗體亞型:IgG
-
純化方式:>95%, Protein G purified
-
濃度:It differs from different batches. Please contact us to confirm it.
-
保存緩沖液:Preservative: 0.03% Proclin 300
Constituents: 50% Glycerol, 0.01M PBS, PH 7.4 -
產品提供形式:Liquid
-
應用范圍:ELISA, WB, IHC, IF
-
推薦稀釋比:
Application Recommended Dilution WB 1:2000-1:5000 IHC 1:20-1:200 IF 1:50-1:200 -
Protocols:
-
儲存條件:Upon receipt, store at -20°C or -80°C. Avoid repeated freeze.
-
貨期:Basically, we can dispatch the products out in 1-3 working days after receiving your orders. Delivery time maybe differs from different purchasing way or location, please kindly consult your local distributors for specific delivery time.
-
用途:For Research Use Only. Not for use in diagnostic or therapeutic procedures.
引用文獻
- NADH supplementation improves human oocyte maturation and developmental competence of resulting embryos in controlled ovarian hyperstimulation cycles: a pilot study implicating the CDK2/GAS6 signaling pathway Q Zhang, H Yang, D Yang, H Lu, M Xiong,Frontiers in Endocrinology,2025
相關產品
靶點詳情
-
功能:ATP-dependent microtubule severing protein. Severs microtubules along their length and depolymerizes their ends, primarily the minus-end, that may lead to the suppression of microtubule growth from and attachment to centrosomes. Microtubule severing may promote rapid reorganization of cellular microtubule arrays and the release of microtubules from the centrosome following nucleation. Microtubule release from the mitotic spindle poles may allow depolymerization of the microtubule end proximal to the spindle pole, leading to poleward microtubule flux and poleward motion of chromosome.
-
基因功能參考文獻:
- FIGN might play an important role in decreased congenital heart defect risk by upregulating plasma folate concentration during embryo heart development PMID: 28534241
- FIGN +94762G>C polymorphism reduced the risk of congenital heart defects by activating the transcription of an alternative FIGN isoform, inhibiting proteasome activity and allowing the accumulation of RFC1 and DHFR, promoting folate transmembrane transport and utilization. PMID: 28302752
- The loss of Fidgetin induces a microtubule-dependent enlargement of mitotic centrosomes and an increase in the number and length of astral microtubules. PMID: 22672901
-
亞細胞定位:Nucleus matrix. Cytoplasm, cytoskeleton, microtubule organizing center, centrosome. Note=Localizes to centrosomes throughout mitosis and to the spindle midzone during telophase.
-
蛋白家族:AAA ATPase family
-
數據庫鏈接:
Most popular with customers
-
-
YWHAB Recombinant Monoclonal Antibody
Applications: ELISA, WB, IHC, IF, FC
Species Reactivity: Human, Mouse, Rat
-
Phospho-YAP1 (S127) Recombinant Monoclonal Antibody
Applications: ELISA, WB, IHC
Species Reactivity: Human
-
-
-
-
-
VDAC1 Recombinant Monoclonal Antibody
Applications: ELISA, WB, IHC
Species Reactivity: Human, Mouse, Rat















