FHL5 Antibody
-
中文名稱:FHL5兔多克隆抗體
-
貨號:CSB-PA036665
-
規格:¥1100
-
圖片:
-
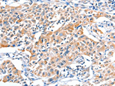
The image on the left is immunohistochemistry of paraffin-embedded Human colon cancer tissue using CSB-PA036665(FHL5 Antibody) at dilution 1/20, on the right is treated with fusion protein. (Original magnification: ×200)
-
The image on the left is immunohistochemistry of paraffin-embedded Human lung cancer tissue using CSB-PA036665(FHL5 Antibody) at dilution 1/20, on the right is treated with fusion protein. (Original magnification: ×200)
-
-
其他:
產品詳情
-
Uniprot No.:
-
基因名:FHL5
-
別名:Activator of cAMP responsive element modulator (CREM) in testis antibody; Activator of cAMP-responsive element modulator in testis antibody; Activator of CREM in testis antibody; FHL-5 antibody; Fhl5 antibody; FHL5 protein antibody; FHL5_HUMAN antibody; Four and a half LIM domains protein 5 antibody
-
宿主:Rabbit
-
反應種屬:Human,Mouse,Rat
-
免疫原:Fusion protein of Human FHL5
-
免疫原種屬:Homo sapiens (Human)
-
標記方式:Non-conjugated
-
抗體亞型:IgG
-
純化方式:Antigen affinity purification
-
濃度:It differs from different batches. Please contact us to confirm it.
-
保存緩沖液:-20°C, pH7.4 PBS, 0.05% NaN3, 40% Glycerol
-
產品提供形式:Liquid
-
應用范圍:ELISA,IHC
-
推薦稀釋比:
Application Recommended Dilution ELISA 1:2000-1:5000 IHC 1:25-1:100 -
Protocols:
-
儲存條件:Upon receipt, store at -20°C or -80°C. Avoid repeated freeze.
-
貨期:Basically, we can dispatch the products out in 1-3 working days after receiving your orders. Delivery time maybe differs from different purchasing way or location, please kindly consult your local distributors for specific delivery time.
-
用途:For Research Use Only. Not for use in diagnostic or therapeutic procedures.
相關產品
靶點詳情
-
功能:May be involved in the regulation of spermatogenesis. Stimulates CREM transcriptional activity in a phosphorylation-independent manner.
-
基因功能參考文獻:
- Results indicate that SPAG8 acts as a regulator of ACT and plays an important role in CREM-ACT-mediated gene transcription during spermatogenesis. PMID: 20488182
- No difference was found in the levels of ICER transcripts in thyroid adenomas and surrounding normal tissue (obtained at surgery), independently of the TSH receptor gene status. PMID: 12039695
- Different haplotypes within the ACT gene may contribute to male factor subfertility. PMID: 16687568
-
亞細胞定位:Nucleus. Note=Nuclei of round and elongated spermatids.
-
組織特異性:Testis-specific (at protein level).
-
數據庫鏈接:
Most popular with customers
-
-
YWHAB Recombinant Monoclonal Antibody
Applications: ELISA, WB, IHC, IF, FC
Species Reactivity: Human, Mouse, Rat
-
Phospho-YAP1 (S127) Recombinant Monoclonal Antibody
Applications: ELISA, WB, IHC
Species Reactivity: Human
-
-
-
-
-















