FHL3 Antibody
-
中文名稱:FHL3兔多克隆抗體
-
貨號:CSB-PA985521
-
規格:¥1100
-
圖片:
-
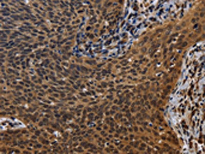
The image on the left is immunohistochemistry of paraffin-embedded Human cervical cancer tissue using CSB-PA985521(FHL3 Antibody) at dilution 1/40, on the right is treated with fusion protein. (Original magnification: ×200)
-
The image on the left is immunohistochemistry of paraffin-embedded Human colon cancer tissue using CSB-PA985521(FHL3 Antibody) at dilution 1/40, on the right is treated with fusion protein. (Original magnification: ×200)
-
-
其他:
產品詳情
-
Uniprot No.:
-
基因名:FHL3
-
別名:FHL 3 antibody; FHL-3 antibody; Fhl3 antibody; FHL3_HUMAN antibody; Four and a half LIM domains 3 antibody; Four and a half LIM domains protein 3 antibody; Skeletal muscle LIM protein 2 antibody; Skeletal muscle LIM-protein 2 antibody; SLIM-2 antibody; SLIM2 antibody
-
宿主:Rabbit
-
反應種屬:Human
-
免疫原:Fusion protein of Human FHL3
-
免疫原種屬:Homo sapiens (Human)
-
標記方式:Non-conjugated
-
抗體亞型:IgG
-
純化方式:Antigen affinity purification
-
濃度:It differs from different batches. Please contact us to confirm it.
-
保存緩沖液:-20°C, pH7.4 PBS, 0.05% NaN3, 40% Glycerol
-
產品提供形式:Liquid
-
應用范圍:ELISA,IHC
-
推薦稀釋比:
Application Recommended Dilution ELISA 1:2000-1:5000 IHC 1:50-1:200 -
Protocols:
-
儲存條件:Upon receipt, store at -20°C or -80°C. Avoid repeated freeze.
-
貨期:Basically, we can dispatch the products out in 1-3 working days after receiving your orders. Delivery time maybe differs from different purchasing way or location, please kindly consult your local distributors for specific delivery time.
-
用途:For Research Use Only. Not for use in diagnostic or therapeutic procedures.
相關產品
靶點詳情
-
功能:Recruited by SOX15 to FOXK1 promoters where it acts as a transcriptional coactivator of FOXK1.
-
基因功能參考文獻:
- the present study established a link between Ang and FHL3 proteins and identifies a new pathway for regulating astrocytoma progression. PMID: 25659096
- These findings suggest that functional interactions between FHL3 and MT-1X may provide some clues to the mechanisms of FHL3-regulated cell proliferation. PMID: 24690879
- PCBP2 could bind to FHL3 mRNA 3'UTR-A and inhibited the expression of FHL3 in T98G glioms cells PMID: 24998228
- FHL3 enhances Tax1-mediated activation of the Human T-cell leukemia virus type 1 long terminal repeat (LTR) without affecting basal activity and regulates NF-kappaB activation by Tax1 in a cell-specific manner. PMID: 23616667
- findings suggest that the interaction between Ang and FHL3 may provide some clues to the mechanisms of Ang-regulated cell growth and apoptosis PMID: 22633874
- FHL3 suppressed anchorage-dependent and -independent growth of human breast cancer cells. PMID: 22362714
- FHL3 does not bind to HIF-1alpha or p300, indicating that it regulates transactivation by a novel molecular mechanism. PMID: 22219185
- the second zinc finger motif in LIM4 was responsible for the auto-activation of FHL3. PMID: 20586194
- Data show that FHL3 (human four-and-a-half LIM-only protein 3) interacts with human phosphatase CDC25B in the cell nucleus. PMID: 12681290
- MZF-1 and FHL3 formed a complex of high molecular mass with some additional proteins in the nucleus. Transcriptional repression of FcepsilonRI by MZF-1 required FHL3. PMID: 15453830
- FHL3 association with MyoD may contribute to the regulation of MyoD-dependent transcription of muscle genes and thereby myogenesis PMID: 17389685
顯示更多
收起更多
-
亞細胞定位:Nucleus. Cytoplasm.
-
組織特異性:Expressed only in skeletal muscle.
-
數據庫鏈接:
Most popular with customers
-
-
YWHAB Recombinant Monoclonal Antibody
Applications: ELISA, WB, IHC, IF, FC
Species Reactivity: Human, Mouse, Rat
-
Phospho-YAP1 (S127) Recombinant Monoclonal Antibody
Applications: ELISA, WB, IHC
Species Reactivity: Human
-
-
-
-
-















