FHIT Antibody
-
中文名稱:FHIT兔多克隆抗體
-
貨號:CSB-PA143390
-
規格:¥1100
-
圖片:
-
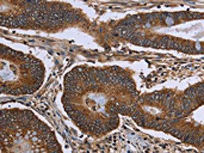
The image on the left is immunohistochemistry of paraffin-embedded Human colon cancer tissue using CSB-PA143390(FHIT Antibody) at dilution 1/30, on the right is treated with fusion protein. (Original magnification: ×200)
-
The image on the left is immunohistochemistry of paraffin-embedded Human cervical cancer tissue using CSB-PA143390(FHIT Antibody) at dilution 1/30, on the right is treated with fusion protein. (Original magnification: ×200)
-
-
其他:
產品詳情
-
Uniprot No.:
-
基因名:FHIT
-
別名:FHITBis(5'-adenosyl)-triphosphatase antibody; EC 3.6.1.29 antibody; AP3A hydrolase antibody; AP3Aase antibody; Diadenosine 5',5'''-P1,P3-triphosphate hydrolase antibody; Dinucleosidetriphosphatase antibody; Fragile histidine triad protein antibody
-
宿主:Rabbit
-
反應種屬:Human,Mouse,Rat
-
免疫原:Fusion protein of Human FHIT
-
免疫原種屬:Homo sapiens (Human)
-
標記方式:Non-conjugated
-
抗體亞型:IgG
-
純化方式:Antigen affinity purification
-
濃度:It differs from different batches. Please contact us to confirm it.
-
保存緩沖液:-20°C, pH7.4 PBS, 0.05% NaN3, 40% Glycerol
-
產品提供形式:Liquid
-
應用范圍:ELISA,IHC
-
推薦稀釋比:
Application Recommended Dilution ELISA 1:2000-1:5000 IHC 1:50-1:200 -
Protocols:
-
儲存條件:Upon receipt, store at -20°C or -80°C. Avoid repeated freeze.
-
貨期:Basically, we can dispatch the products out in 1-3 working days after receiving your orders. Delivery time maybe differs from different purchasing way or location, please kindly consult your local distributors for specific delivery time.
-
用途:For Research Use Only. Not for use in diagnostic or therapeutic procedures.
相關產品
靶點詳情
-
功能:Possesses dinucleoside triphosphate hydrolase activity. Cleaves P(1)-P(3)-bis(5'-adenosyl) triphosphate (Ap3A) to yield AMP and ADP. Can also hydrolyze P(1)-P(4)-bis(5'-adenosyl) tetraphosphate (Ap4A), but has extremely low activity with ATP. Exhibits adenylylsulfatase activity, hydrolyzing adenosine 5'-phosphosulfate to yield AMP and sulfate. Exhibits adenosine 5'-monophosphoramidase activity, hydrolyzing purine nucleotide phosphoramidates with a single phosphate group such as adenosine 5'monophosphoramidate (AMP-NH2) to yield AMP and NH2. Exhibits adenylylsulfate-ammonia adenylyltransferase, catalyzing the ammonolysis of adenosine 5'-phosphosulfate resulting in the formation of adenosine 5'-phosphoramidate. Also catalyzes the ammonolysis of adenosine 5-phosphorofluoridate and diadenosine triphosphate. Modulates transcriptional activation by CTNNB1 and thereby contributes to regulate the expression of genes essential for cell proliferation and survival, such as CCND1 and BIRC5. Plays a role in the induction of apoptosis via SRC and AKT1 signaling pathways. Inhibits MDM2-mediated proteasomal degradation of p53/TP53 and thereby plays a role in p53/TP53-mediated apoptosis. Induction of apoptosis depends on the ability of FHIT to bind P(1)-P(3)-bis(5'-adenosyl) triphosphate or related compounds, but does not require its catalytic activity, it may in part come from the mitochondrial form, which sensitizes the low-affinity Ca(2+) transporters, enhancing mitochondrial calcium uptake. Functions as tumor suppressor.
-
基因功能參考文獻:
- FHIT predicts better clinical relevance for patients with bladder cancer. PMID: 29752880
- Fhit expression impacts the translation of a number of cancer associated genes. PMID: 29282095
- overexpression of Fhit, a tumor suppressor protein, induces autophagy in NSCLC cells. Further, we found that this autophagy is mediated by 14-3-3tau and plays a cytoprotective role against the antitumor effect of Fhit both in vitro and in vivo. PMID: 28404875
- Review/Meta-analysis: significant difference in FHIT gene promoter methylation status in non-small cell lung carcinoma patients was found in Asians but not in Caucasian population. PMID: 28036263
- these results show that squamous cell carcinomas of the vulva presents a characteristic molecular pattern with FHIT being downregulated whereas HMGA2 is upregulated PMID: 27835588
- It has been proposed that Fhit and Wwox loss work synergistically in cancer progression and that DNA damage caused by Fhit could be targeted early in cancer initiation for prevention, while DNA damage caused by Wwox loss could be targeted later in cancer progression, particularly in cancers that develop resistance to genotoxic therapies. (Review) PMID: 27773744
- Two variants were identified for maximal voluntary ventilation and located in the genes of LOC102724340 (rs41434646) and FHIT (rs9833533). FHIT represses transcriptional activity of beta-catenin, a critical protein for growth of skeletal muscle, and thus might have influenced the level of maximal voluntary ventilation. PMID: 29095316
- This study demonstrates that Fhit down-regulation is an early event in both multistep carcinogenic processes leading to pancreatic ductal adenocarcinoma PMID: 28289900
- The results have implications for the mechanism by which Fhit regulates TK1 mRNA, and more broadly, for its modulation of multiple functions as tumor suppressor/genome caretaker. PMID: 28093273
- RARb and FHIT promoter methylation may be associated with the carcinogenesis of cervical cancer. FHIT promoter methylation may play a crucial role in cervical cancer progression. Additional studies with large sample sizes are essential to confirm our findings. PMID: 28639889
- The peptide was located within the 'disordered' region, which is invisible in the known crystal structures of Fhit. PMID: 28094435
- Both the 3p14.2 locus copy number and FHIT protein expression levels showed significant decreases when CIN transitioned to cervical cancer. PMID: 28414756
- Study indicate that the observed level of FHIT promoter methylation was not enough to suppress gene expression in non-small cell lung cancer (NSCLC). Lack of negative correlation between FHIT expression and methylation, or positive correlation between gene expression and immunoexpression suggest the role of another molecular mechanisms regulating FHIT expression on mRNA and protein levels in NSCLC patients. PMID: 27572663
- High methylation in the FHIT promoter region is associated with lung cancer. PMID: 27716889
- the expression profile of miRNAs that may be associated with expression of the FHIT gene in breast cancer, was examined. PMID: 27236032
- FHIT hypermethylation, which induces the inactivation of FHIT gene, plays an important role in the carcinogenesis and clinical outcome and may serve as a potential drug target of non-small cell lung cancer. PMID: 26796853
- FHIT hypermethylation, which induces the inactivation of FHIT gene, plays an important role in the carcinogenesis and clinical outcome and may serve as a potential diagnostic marker and drug target of non-small-cell lung carcinoma PMID: 26929601
- Low FHIT Gene Expression is associated with Acute Lymphoblastic Leukemia. PMID: 26745060
- In 22 lung cancer patients with negative histology and cytology at initial bronchoscopy, FHIT and p16 mRNA loss was detected in 40.9% (9/22) and 36.4% (8/22) cases, respectively. PMID: 23709347
- The results showed that the methylation levels of both BRCA1 and FHIT promoters were higher in the serum of the breast ductal carcinoma group than those of the breast fibroadenoma group. PMID: 26406001
- Review/Meta-analysis: FHIT methylation could be a diagnostic biomarker of breast carcinogenesis. PMID: 26491255
- Mutations of the FHIT gene are not major cause of Peutz-Jeghers syndrome. PMID: 27060312
- Adenylylsulfate-ammonia adenylyltransferase activity is another inherent property of Fhit proteins. PMID: 26181368
- APOBEC3B overexpression and Fhit-loss induced DNA damage are independent events that, when occurring together, result in a significantly increased frequency of APOBEC-induced mutations that drive cancer progression. PMID: 25401976
- Hypermethylation of FHIT gene is associated with Epstein-Barr virus-associated gastric carcinomas. PMID: 25720522
- FHIT promotor hypermethylation is associated with the development of breast cancer. PMID: 25735361
- Data indicate that fragile histidine triad protein [FHIT) contributes partially to radioresistance and predicts clinical outcomes in irradiated oral cancer. PMID: 25460508
- Fhit nuclear translocation upon mitogenic stimulation may represent a new regulatory mechanism that allows rapid restoration of Fhit cytoplasmic levels and promotes the proliferation cascade activated by mitogenic stimulation PMID: 25711523
- Data are consistent with a mechanism in which Fhit protein is required for accumulation of the transcriptional repressor of HMOX1, Bach1 protein. PMID: 25486479
- the decrease in the expression of miR-29b by c-Myc may be responsible for FHIT loss-mediated tumor aggressiveness and for poor outcome in non-small cell lung cancer. PMID: 24909176
- the induction of Slug expression by AKT/NF-kappaB signaling pathway due to FHIT loss not only promotes tumor invasion, but also confers cisplatin resistance due to Slug-mediated PUMA reduction in lung cancer cells. PMID: 24998847
- Patients with FHIT methylation might promote cervical cancer progression. PMID: 25422218
- we demonstrate that the expression pattern of FHIT and miR-30c is inversely correlated with that of MTDH and HMGA2 in normal tissue, non-metastatic and metastatic tumors, serving as a potential biomarker for metastasis in lung cancer. PMID: 25340791
- The Fhit possesses diadenosine triphosphate hydrolase activity, but although reduction of its enzymatic activity appears to be important for exerting its tumor suppressor function, the regulation of Fhit activity is poorly understood. PMID: 25098403
- methylation of FHIT is a useful biomarker of biologically aggressive disease in patients with non-small cell lung carcinomas PMID: 24935385
- The total frequency of FHIT, RASSF1A and RARbeta gene methylation was significantly higher in lung cancer. PMID: 25040980
- Hypermethylation of FHIT gene promoter region was found more frequent in cancer tissue than controls. PMID: 24667261
- FHIT expression can block the PI3K-Akt pathway by suppressing phosphorylation of Akt in cholangiocarcinoma cells. PMID: 24757411
- Loss of FHIT function leads to nucleotide imbalance, spontaneous replication stress, and DNA breaks. [review] PMID: 25283145
- FHIT loss was observed in 64% of non-small-cell lung carcinoma patients and was significantly associated with squamous cell carcinoma and poor tumor grade. PMID: 24185125
- These results showed that Fhit was up-regulated specifically by activating Galpha subunits of the Gq subfamily but not by those of the other G protein subfamilies. PMID: 23993961
- The expressions of DAPK1, FHIT, MGMT, and CDKN2A were detected The methylation of the promoter region significantly decreased the expression of only DAPK1 PMID: 23494221
- our meta-analysis provides evidences that negative expression of FHIT protein may be correlated with poor prognosis in patients with gastric cancer PMID: 24729090
- Fhit delocalizes annexin A4 from plasma membrane to cytosol and sensitizes lung cancer cells to paclitaxel. PMID: 24223161
- Results identify a novel member of the miR-548 family in the fourth intron of the human FHIT gene. PMID: 24556720
- Data indicate that expression of several predicted chimeric genes and genes with disrupted exon structure including ALK, NBAS, FHIT, PTPRD and ODZ4 in neuroblastoma. PMID: 23991058
- Immunohistochemical staining of oral squamous cell carcinoma shows that Fhit negativity is associated with cervical lymph node metastasis and poor disease-specific survival. PMID: 23944951
- Our results suggest that loss of Fhit expression in breast cancer is associated with poor prognostic features, and it is also relevant to the results in HER2-negative breast cancer. PMID: 23969757
- Reduced expression of FHIT gene is associated with the progression of colon adenocarcinoma. PMID: 24370550
- FHIT gene is a "caretaker gene" necessary for maintenance of genome stability. PMID: 23929738
顯示更多
收起更多
-
相關疾病:A chromosomal aberration involving FHIT has been found in a lymphoblastoid cell line established from a family with renal cell carcinoma and thyroid carcinoma. Translocation t(3;8)(p14.2;q24.1) with RNF139. Although the 3p14.2 breakpoint has been shown to interrupt FHIT in its 5-prime non-coding region, it is unlikely that FHIT is causally related to renal or other malignancies.
-
亞細胞定位:Cytoplasm. Mitochondrion. Nucleus.
-
組織特異性:Low levels expressed in all tissues tested. Phospho-FHIT observed in liver and kidney, but not in brain and lung. Phospho-FHIT undetected in all tested human tumor cell lines.
-
數據庫鏈接:
Most popular with customers
-
-
-
-
-
-
-
VDAC1 Recombinant Monoclonal Antibody
Applications: ELISA, WB, IHC
Species Reactivity: Human, Mouse, Rat
-















