FGFR4 Antibody
-
中文名稱:FGFR4兔多克隆抗體
-
貨號:CSB-PA008648LA01HU
-
規格:¥440
-
圖片:
-
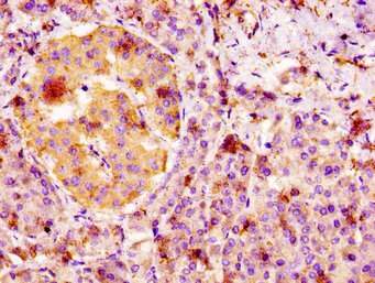
IHC image of CSB-PA008648LA01HU diluted at 1:100 and staining in paraffin-embedded human pancreatic tissue performed on a Leica BondTM system. After dewaxing and hydration, antigen retrieval was mediated by high pressure in a citrate buffer (pH 6.0). Section was blocked with 10% normal goat serum 30min at RT. Then primary antibody (1% BSA) was incubated at 4°C overnight. The primary is detected by a biotinylated secondary antibody and visualized using an HRP conjugated SP system.
-
Immunofluorescence staining of HepG2 cells with CSB-PA008648LA01HU at 1:100, counter-stained with DAPI. The cells were fixed in 4% formaldehyde, permeabilized using 0.2% Triton X-100 and blocked in 10% normal Goat Serum. The cells were then incubated with the antibody overnight at 4°C. The secondary antibody was Alexa Fluor 488-congugated AffiniPure Goat Anti-Rabbit IgG(H+L).
-
-
其他:
產品詳情
-
產品名稱:Rabbit anti-Homo sapiens (Human) FGFR4 Polyclonal antibody
-
Uniprot No.:
-
基因名:
-
別名:FGFR4; JTK2; TKF; Fibroblast growth factor receptor 4; FGFR-4; CD antigen CD334
-
宿主:Rabbit
-
反應種屬:Human
-
免疫原:Recombinant Human Fibroblast growth factor receptor 4 protein (25-182AA)
-
免疫原種屬:Homo sapiens (Human)
-
標記方式:Non-conjugated
本頁面中的產品,FGFR4 Antibody (CSB-PA008648LA01HU),的標記方式是Non-conjugated。對于FGFR4 Antibody,我們還提供其他標記。見下表:
-
克隆類型:Polyclonal
-
抗體亞型:IgG
-
純化方式:>95%, Protein G purified
-
濃度:It differs from different batches. Please contact us to confirm it.
-
保存緩沖液:Preservative: 0.03% Proclin 300
Constituents: 50% Glycerol, 0.01M PBS, pH 7.4 -
產品提供形式:Liquid
-
應用范圍:ELISA, IHC, IF
-
推薦稀釋比:
Application Recommended Dilution IHC 1:20-1:200 IF 1:50-1:200 -
Protocols:
-
儲存條件:Upon receipt, store at -20°C or -80°C. Avoid repeated freeze.
-
貨期:Basically, we can dispatch the products out in 1-3 working days after receiving your orders. Delivery time maybe differs from different purchasing way or location, please kindly consult your local distributors for specific delivery time.
-
用途:For Research Use Only. Not for use in diagnostic or therapeutic procedures.
相關產品
靶點詳情
-
功能:Tyrosine-protein kinase that acts as cell-surface receptor for fibroblast growth factors and plays a role in the regulation of cell proliferation, differentiation and migration, and in regulation of lipid metabolism, bile acid biosynthesis, glucose uptake, vitamin D metabolism and phosphate homeostasis. Required for normal down-regulation of the expression of CYP7A1, the rate-limiting enzyme in bile acid synthesis, in response to FGF19. Phosphorylates PLCG1 and FRS2. Ligand binding leads to the activation of several signaling cascades. Activation of PLCG1 leads to the production of the cellular signaling molecules diacylglycerol and inositol 1,4,5-trisphosphate. Phosphorylation of FRS2 triggers recruitment of GRB2, GAB1, PIK3R1 and SOS1, and mediates activation of RAS, MAPK1/ERK2, MAPK3/ERK1 and the MAP kinase signaling pathway, as well as of the AKT1 signaling pathway. Promotes SRC-dependent phosphorylation of the matrix protease MMP14 and its lysosomal degradation. FGFR4 signaling is down-regulated by receptor internalization and degradation; MMP14 promotes internalization and degradation of FGFR4. Mutations that lead to constitutive kinase activation or impair normal FGFR4 inactivation lead to aberrant signaling.
-
基因功能參考文獻:
- The FGFR4-388arg variant promotes lung cancer progression by N-cadherin induction. PMID: 29402970
- These findings suggest that high levels of FGFR4 can increase glucose metabolism and lead to chemoresistance in breast cancer and reveal the mechanistic basis for targeting FGFR4 as a therapeutic opportunity for chemoresistant tumors. PMID: 29763898
- Taken together, this study provides the first evidence that Blu9931 functions as a FGFR4-selective inhibitor in colorectal cancer (CRC) cells, and Blu9931 may be a new targeted drug. PMID: 29048661
- Results show that FGFR4 promotes gastric cancer cell proliferation, migration and epithelial-to-mesenchymal transition. Its expression is negatively regulated by miR-491-5p through SNAIL protein. PMID: 29569792
- Our findings indicate that the FGFR4-388Arg variant may play an important role in lung squamous cell carcinoma, which may be mediated by the overactivation of the MAPK pathway. PMID: 28583379
- FGFR4 rs351855 could be a novel independent prognostic factor of BCR after radical prostatectomy in the Chinese population. PMID: 27640814
- This meta-analysis demonstrates the FGFR rs351855 G>A polymorphism is associated with increased cancer risk. PMID: 28445975
- Our results indicate that mRNA expression of FGFR4-related genes may be a biomarker to define the distinctive molecular phenotype of intrahepatic cholangiocarcinoma PMID: 28445152
- The present study employed FGFR4 polymorphism to help identify treatments for high risk patients with stage III colon cancer. PMID: 27857023
- Our data indicate that FGFR4 polymorphic isoforms mediate signaling that yields mitochondrial therapeutic targets of relevance to the actions of different somatostatin analogs. PMID: 27966451
- In radiosensitive SW480 and DLD1 cells, enforced expression of FGFR4 stabilized RAD51 protein levels resulting in enhanced clearance of gamma-H2AX foci and increased cell survival in the mismatch repair (MMR)-proficient SW480 cells. PMID: 27650548
- FGFR4/FGF19 autocrine signaling mediates the survival of a subset of basal-like breast cancer cells PMID: 27192118
- Study shows that loss of FGFR4 expression led to a remarkable increase in sorafenib-induced ROS generation and apoptosis of hepatocellular carcinoma (HCC) cell lines, and demonstrates that hyperactivation of FGF19/FGFR4 signaling in HCC is one of the main mechanisms of sorafenib resistance. PMID: 28069043
- This is the first study to elucidate FGF19/FGFR4 signaling in favor of hepatocellular carcinoma cells developing from fatty liver PMID: 27447573
- High expression of FGFR4 is associated with hepatocellular carcinoma. PMID: 26498355
- Findings show that FGF19 provides a cytoprotective role against ER stress by activating a FGFR4-GSK3beta-Nrf2 signaling cascade, suggesting targeting this signaling node as a candidate therapeutic regimen for hepatocellular carcinoma (HCC) management. PMID: 28951455
- FGF23 augments pro-fibrotic signalling cascades in injury-primed renal fibroblasts via activation of FGFR4 PMID: 28919046
- functional clathrin-mediated endocytosis is required for proper FGFR4 signaling PMID: 27615514
- The frequency of the FGFR4 Arg388 (A) allele was significantly higher in hypertensive subjects (36%) than controls (24.3%). GA,AA, and GA+AA genotypes were significantly associated with risk of hypertension, even after adjusting for age, body mass index, and glucose. Gender stratification showed a significant association only in female subjects. Subjects with GA and AA genotypes showed higher diastolic blood pressure. PMID: 28650667
- Enhanced myocardial expression of FGFR4 is associated with left ventricular hypertrophy in chronic kidney disease. PMID: 26681731
- High FGFR4 expression was significantly associated with the depth of invasion, lymph-node metastasis, pathological stage, and distant metastasis or recurrent disease in gastric cancer. PMID: 28056982
- This study showed that Gly388Arg FGFR4 Polymorphism Is Not Predictive of Everolimus Efficacy in Well-Differentiated Digestive Neuroendocrine Tumors. PMID: 26335532
- Data suggest that knockdown of fibroblast growth factor receptor 4 (FGFR4) expression might prevent the growth of astric cancer (GC) in vivo. PMID: 26432329
- FGFR4 is overexpressed in oral squamous cell carcinoma (OSCC) and oropharyngeal squamous cell carcinoma (OPSCC) in the absence of gene amplification, and may serve as a potential predictive marker for FGFR4-directed targeted therapy in OSCC and OPSCC. PMID: 26551585
- Study shows that FGF19 can be secreted and promotes ovarian cancer progression such as proliferation and invasion by activating FGFR4. PMID: 26323668
- The FGFR4 single-nucleotide polymorphism rs376618 had borderline significant differences in Patients With Primary Bile Acid Diarrhea. PMID: 26856750
- Our study provides the first evidence of a role for FGFR4 in neuroblastoma PMID: 26840079
- KL methylation is a characteristic of many breast cancer cases . However, the resulting or associated perturbation in FGFR4 expression, similar to FGF19, could be utilized as a biomarker for poor prognosis PMID: 26152288
- The genetic polymorphism in FGFR4 rs351855 may be associated with the risk of HCC coupled with liver cirrhosis and may markedly increase the AFP level PMID: 25860955
- Using Fgfr4 single nucleotide polymorphism knock-in mice and transgenic mouse models for breast and lung cancers, we validate the enhanced STAT3 signalling induced by the FGFR4 Arg388-variant in vivo PMID: 26675719
- High tumor expression of FGFR4 protein is not an independent risk factor for gastric cancer initiation, but is a useful prognostic marker for GC patients when the tumor is relatively small, well differentiated, or in the early stages of invasion. PMID: 25684949
- review summarizes all aspects of FGFR4 physiology and pathophysiology relevant to cacer. PMID: 23944363
- FGFR4 is an important determinant of the aggressive phenotype of the hepatoma/hepatocarcinoma cell lines. PMID: 25031272
- The structural basis for dual FGFR and EGFR targeting by FIIN3 also is illustrated by crystal structures of FIIN-3 bound with FGFR4 V550L and EGFR L858R. PMID: 25349422
- Variants in genes involved in feedback regulation of bile acid synthesis (KLB, P=0.06 and FGFR4, P=0.09) were potentially associated with the irritable bowel syndrome-diarrhea subgroup with elevated serum C4. PMID: 25070056
- The FGFR4 transmembrane polymorphic variants can modulate cellular growth and sensitivity to glucocorticoid hormone negative feedback. PMID: 24625004
- High FGFR4 expression is associated with drug resistance in alveolar rhabdomyosarcoma. PMID: 24550147
- In a Chinese population, the FGFR-4 gene polymorphism rs351855G/A was associated with an increased risk for ischemic stroke but was not associated with the ischemic stroke severity or subtype PMID: 24239227
- FGFR4 silencing markedly reduces the migration and invasion capacity of colorectal cancer cell lines. PMID: 24410190
- Silencing of FGFR4 reduced cell viability in a panel of colon cancer cell lines and increased caspase-dependent apoptosis. PMID: 24503538
- The results suggest that proteins, post-translational modifications or mutations that alter structural flexibility of the TKB domain of Cbl-family proteins could regulate their binding to target phosphoproteins and thereby, affect PTK-mediated signalling. PMID: 22888118
- expression of TGF-beta1 and FGFR4 could make synergy on the occurrence and progression of HCC, and may be used as prognosis indicators for HCC patients PMID: 24324363
- The genotypes of G388R in FGFR4 gene were in Hardy-Weinberg equilibrium. The percentage of normal homozygotes GG was found to be (48.5%) in breast cancer, (51.8%) in lung cancer. Glycine/arginine was (36.9%) in breast cancer, (42.9%) in lung cancer. PMID: 24416997
- The single nucleotide polymorphism rs1966265 in FGF receptor 4 is a possible genetic key variant in alveolar diseases of preterm newborns. PMID: 24288432
- FGFR4 rs351855G/A polymorphism is associated with increased susceptibility to non-Hodgkin's lymphoma (NHL) and could be used as a marker for predicting the prognosis of the malignancy. PMID: 24248544
- expression of FGFR4 in intrahepatic cholangiocarcinomas, perihilar cholangiocarcinomas and distal cholangiocarcinomas by immunohistochemistry, and association of FGFR4 with clinicopathologic parameters and survival rate PMID: 24565842
- Inhibition of the activity of FGFR4 may be the main mechanisms of PD effect while 5-Fu reduced FGFR4 expression PMID: 24126887
- In-depth DNA sequencing identified additional genetic coding and noncoding variants in FGFR4 that are associated with fecal bile acids excretion or colonic transit in Irritable bowel syndrome-diarrhea PMID: 24200957
- The distribution of FGFR4 AA genotype and A-allele of rs351855G/A was significantly lower in NSCLC patients. PMID: 23524567
- Suggest that the FGFR4 Gly388Arg polymorphism is not a risk factor for gastric cancer initiation but that it is a useful prognostic marker for GC patients when the tumor is relatively small, well differentiated, or at an early clinical stage. PMID: 23901234
顯示更多
收起更多
-
相關疾病:Prostate cancer (PC)
-
亞細胞定位:Cell membrane; Single-pass type I membrane protein. Endosome. Endoplasmic reticulum. Note=Internalized from the cell membrane to recycling endosomes, and from there back to the cell membrane.; [Isoform 2]: Secreted.; [Isoform 3]: Cytoplasm.
-
蛋白家族:Protein kinase superfamily, Tyr protein kinase family, Fibroblast growth factor receptor subfamily
-
組織特異性:Expressed in gastrointestinal epithelial cells, pancreas, and gastric and pancreatic cancer cell lines.
-
數據庫鏈接:
Most popular with customers
-
-
YWHAB Recombinant Monoclonal Antibody
Applications: ELISA, WB, IHC, IF, FC
Species Reactivity: Human, Mouse, Rat
-
Phospho-YAP1 (S127) Recombinant Monoclonal Antibody
Applications: ELISA, WB, IHC
Species Reactivity: Human
-
-
-
-
-















