FGFR1 Antibody
-
中文名稱:FGFR1兔多克隆抗體
-
貨號:CSB-PA086441
-
規格:¥1100
-
圖片:
-
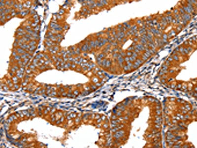
The image on the left is immunohistochemistry of paraffin-embedded Human cervical cancer tissue using CSB-PA086441(FGFR1 Antibody) at dilution 1/60, on the right is treated with fusion protein. (Original magnification: ×200)
-
The image on the left is immunohistochemistry of paraffin-embedded Human liver cancer tissue using CSB-PA086441(FGFR1 Antibody) at dilution 1/60, on the right is treated with fusion protein. (Original magnification: ×200)
-
-
其他:
產品詳情
-
Uniprot No.:
-
基因名:
-
別名:Basic fibroblast growth factor receptor 1 antibody; bFGF-R-1 antibody; BFGFR antibody; CD331 antibody; CEK antibody; FGFBR antibody; FGFR 1 antibody; FGFR-1 antibody; FGFR1 antibody; FGFR1/PLAG1 fusion antibody; FGFR1_HUMAN antibody; fibroblast growth factor receptor 1 antibody; FLG antibody; FLT-2 antibody; FLT2 antibody; Fms-like gene antibody; Fms-like tyrosine kinase 2 antibody; fms-related tyrosine kinase 2 antibody; HBGFR antibody; heparin-binding growth factor receptor antibody; HH2 antibody; HRTFDS antibody; hydroxyaryl-protein kinase antibody; KAL2 antibody; N-SAM antibody; OGD antibody; Proto-oncogene c-Fgr antibody
-
宿主:Rabbit
-
反應種屬:Human,Mouse,Rat
-
免疫原:Fusion protein of Human FGFR1
-
免疫原種屬:Homo sapiens (Human)
-
標記方式:Non-conjugated
-
抗體亞型:IgG
-
純化方式:Antigen affinity purification
-
濃度:It differs from different batches. Please contact us to confirm it.
-
保存緩沖液:-20°C, pH7.4 PBS, 0.05% NaN3, 40% Glycerol
-
產品提供形式:Liquid
-
應用范圍:ELISA,IHC
-
推薦稀釋比:
Application Recommended Dilution ELISA 1:2000-1:10000 IHC 1:50-1:300 -
Protocols:
-
儲存條件:Upon receipt, store at -20°C or -80°C. Avoid repeated freeze.
-
貨期:Basically, we can dispatch the products out in 1-3 working days after receiving your orders. Delivery time maybe differs from different purchasing way or location, please kindly consult your local distributors for specific delivery time.
-
用途:For Research Use Only. Not for use in diagnostic or therapeutic procedures.
相關產品
靶點詳情
-
功能:Tyrosine-protein kinase that acts as cell-surface receptor for fibroblast growth factors and plays an essential role in the regulation of embryonic development, cell proliferation, differentiation and migration. Required for normal mesoderm patterning and correct axial organization during embryonic development, normal skeletogenesis and normal development of the gonadotropin-releasing hormone (GnRH) neuronal system. Phosphorylates PLCG1, FRS2, GAB1 and SHB. Ligand binding leads to the activation of several signaling cascades. Activation of PLCG1 leads to the production of the cellular signaling molecules diacylglycerol and inositol 1,4,5-trisphosphate. Phosphorylation of FRS2 triggers recruitment of GRB2, GAB1, PIK3R1 and SOS1, and mediates activation of RAS, MAPK1/ERK2, MAPK3/ERK1 and the MAP kinase signaling pathway, as well as of the AKT1 signaling pathway. Promotes phosphorylation of SHC1, STAT1 and PTPN11/SHP2. In the nucleus, enhances RPS6KA1 and CREB1 activity and contributes to the regulation of transcription. FGFR1 signaling is down-regulated by IL17RD/SEF, and by FGFR1 ubiquitination, internalization and degradation.
-
基因功能參考文獻:
- myeloid/lymphoid neoplasms with FGFR1 rearrangement are a rare entity, with no distinct clinical phenotype. FGFR rearrangement confirmation by FISH should be performed in any hematological malignancy with 8p translocation. PMID: 29119847
- CCND1 , C-MYC , and FGFR1 amplifications were observed in 34.28%, 28.57%, and 17.14% of the 35 samples (invasive ductal breast carcinoma). PMID: 30119151
- High FGFR1 expression is associated with Peritoneal Dissemination Via Epithelial-to-Mesenchymal Transition in Gastric Cancer. PMID: 29976636
- The present study aimed to evaluate the relationship between a common FGFR1 single nucleotide polymorphism (rs13317) with craniofacial morphology. PMID: 29872111
- Clinical outcomes of myeloid/lymphoid neoplasms with fibroblast growth factor receptor-1 (FGFR1) rearrangement PMID: 29486661
- Suggest that genomic alterations involving the cell cycle (TP53, CCND1, CDKN2A), as well as FGFR1 amplifications and tumour genomic alterations burden are prognostic biomarkers of survival in head and neck squamous cell carcinoma. PMID: 29331751
- novel heterozygous frameshift mutation c.299_300insCCGCAGACTCCGGCCTCTATGC (p.C101Rfs*17) associated with Kallmann syndrome PMID: 29658329
- FGFR3, as well as its downstream regulatory PI3K/AKT kinases, may serve as potential biomarkers for the invasiveness and prognosis of laryngeal cancer. PMID: 29299828
- Our experiments presented a new mechanism adopted by GDNF supporting glioma development and indicated a possible therapeutic potential via the inhibition of proN-cadherin/FGFR1 interaction. PMID: 29750313
- There was no significant difference in the expression of FGFR1 between different types of circulating tumor cells. PMID: 29764586
- Our data may facilitate design of therapeutically relevant targeting molecules for selective treatment of FGFR1 overproducing cancers PMID: 29748524
- Study finds infrequent BRAF alterations but enriched FGFR alterations in adults as compared with that reported in pediatric pilocytic astrocytomas. In addition, coexistent BRAF and FGFR alterations and a significant association of FGFR alterations with age and tumor location were noted. PMID: 27608415
- SNP rs17182023 was correlated to reduced breast cancer risk, and was associated with FGFR1 protein expression. High FGFR1 protein expression was an independent risk factor of breast cancer, and resulted in poor prognosis. PMID: 29996114
- Besides RET and HRAS, FGFR1 is only the third protooncogene found to be recurrently mutated in pheochromocytomas. PMID: 29159601
- For the treatment of patients with breast cancer and FGFR1 amplifications. PMID: 29223982
- presentation of the atomic structure of a 1:1:1 ternary complex that consists of the shed extracellular domain of alpha-klotho, the FGFR1c ligand-binding domain, and FGF23; in this complex, alpha-klotho simultaneously tethers FGFR1c by its D3 domain and FGF23 by its C-terminal tail, thus implementing FGF23-FGFR1c proximity and conferring stability PMID: 29342138
- Study identified FGFR1, a promoter of glycolysis-related enzyme, as the target of miR-361 that promoted glycolysis and repressed oxidative phosphorylation in breast cancer cells. FGFR1 mediated the anti-glycolytic function of miR-361 by regulating the activity of PDHK1 and LDHA. PMID: 29132384
- FGFR1 and/or FGF3 gene amplification correlated with a lower pathologic complete response in patients with HER2(+) early breast cancer treated with neoadjuvant anti-HER2 therapy. PMID: 28381415
- Data demonstrated that FOXC1 binds to an Fgfr1 upstream regulatory region and that FOXC1 activates an Fgfr1 promoter element. Furthermore, elevated expression of Foxc1 led to increased Fgfr1-IIIc transcript promoting invasion after TGFbeta1-induced EMT. PMID: 28684636
- These results suggest that FGFR1 gene amplification is a frequent alteration in squamous cell carcinoma of the lung and appears not to be a negative but rather a favorable prognostic marker for women and particularly for patients with advanced disease PMID: 29270870
- These data suggest the ERalpha pathway remains active in estrogen-deprived ER(+)/FGFR1-amplified breast cancers. Therefore, these tumors are endocrine resistant and should be candidates for treatment with combinations of ER and FGFR antagonists. PMID: 28751448
- Amplification of gene FGFR1 is associated with lung adenocarcinoma. PMID: 28381877
- Lysosomal sequestration - resulting in an organelle-specific and pH-dependent nintedanib fluorescence - was identified as an intrinsic resistance mechanism in FGFR-driven lung cancer cells. Accordingly, combination of nintedanib with agents compromising lysosomal acidification (bafilomycin A1, chloroquine) exerted distinctly synergistic growth inhibitory effects PMID: 28882160
- the close proximity between AcSDKP and FGFR1 was essential for the suppression of TGFbeta/smad signaling and EndMT associated with MAP4K4 phosphorylation (P-MAP4K4) in endothelial cells. PMID: 28771231
- This study reports a highly specific internalizing antibody fragment that can serve as a therapeutic targeting agent for efficient delivery of cytotoxic drugs into FGFR1-positive lung cancer cells. PMID: 28483948
- anlotinib inhibits the activation of VEGFR2, PDGFRbeta and FGFR1 as well their common downstream ERK signaling PMID: 29454091
- Missense mutations in COL6A1, COL11A2, FGFR1, and BMP2 genetically predispose patients to ossification of posterior longitudinal ligaments. PMID: 27246988
- High levels of FGFR1 is associated with non-small cell lung cancer. PMID: 28558758
- The results of this study designate nFGFR1 signaling as a potential common dysregulated mechanism in investigated patients and potential therapeutic target in schizophrenia. PMID: 28094170
- Findings indicate the great variability of fibroblast growth factor receptor 1 (FGFR1) mutation phenotypes in idiopathic hypogonadotropic hypogonadism (IHH) or Kallmann syndrome (KS). PMID: 28008864
- these results show that FGFR1 polymorphism influences lower anterior face height, the distance from the upper lip to the nasal floor, and lip shape PMID: 28415752
- Fibrolamellar carcinomas show polysomy of chromosome 8 and the FGFR1 locus, and only modest mRNA expression and weak or absent expression at the protein level. FGFR2 rearrangement was not detected. PMID: 26259677
- endothelin-A receptor-activated ABCB1 expression has a role in nintedanib resistance in FGFR1-driven small cell lung cancer PMID: 27367030
- Loss of FGFR1 does generate a gene signature that is reverse correlated with FGFR1 gene amplification and/or upregulation in human breast cancer. Our results suggest that FGFR1 signaling is a key pathway driving breast cancer lung metastasis and that targeting FGFR1 in breast cancer is an exciting approach to inhibit metastasis. PMID: 28433771
- Combination treatment with AKT and FGFR kinase inhibitors have additive effects on malignant phenotypes in vitro and in vivo by inhibiting multiple signaling pathways and mitigating the compensatory upregulation of FGFR signaling induced by AKT kinase inhibition. PMID: 28008155
- FGFR1/MAPK may be important for brachyury activation in lung cancer, and this pathway may be an appealing therapeutic target for a subset of brachyury-driven lung cancer. PMID: 27893433
- FGFR1 alteration mainly represented by FGFR1-ITD is a frequent event in dysembryoplastic neuroepithelial tumors. Digital droplet PCRtrade mark is an easy and alternative method than whole-genome sequencing to detect FGFR1-ITD in Formalin-fixed paraffin-embedded brain tumors, in routine practice. PMID: 27791984
- Report dramatic upregulation of fibroblast growth factor receptor 1 (FGFR1) and its cognate ligand FGF2 in both acquired and inherently resistant breast cancer cells. PMID: 27825137
- This study reveals a stringent association between FGFR and the downstream effector c-Myc in FGFR-dependent cancers, and suggests the potential therapeutic value of c-Myc in FGFR-targeted cancer therapy. PMID: 27401245
- Elevated FGFR3 and FGFR1 protein expression is common in aggressive ependymomas but likely not driven by genetic alterations. Further studies are warranted to evaluate whether ependymoma patients with high FGFR3 and/or FGFR1 expression could benefit from treatment with FGFR inhibitor based therapeutic approaches currently under evaluation in clinical trials PMID: 28468611
- These data identify FGFR1 as a driver gene in multiple soft-tissue sarcoma subtypes and support FGFR1 inhibition, guided by patient selection according to the FGFR1 expression and monitoring of MAPK-ERK1/2 signaling, as a therapeutic option in this challenging group of diseases PMID: 27535980
- Our results demonstrated that the AcSDKP-FGFR1 signaling pathway is critical for maintaining mitochondrial dynamics by control of miR let-7b-5p in endothelial cells. PMID: 29269295
- increased FGFR1 CN was observed in two racial groups not previously reported: African Americans and Native Americans. However, FGFR1 amplification is not prognostic in laryngeal squamous cell carcinomas PMID: 29351293
- This brief communication reports on a patient with an exceedingly rare "8p11 (eight-p-eleven) myeloproliferative syndrome" (EMS) with CEP110-FGFR1 rearrangement who responded to treatment with the multi-tyrosine kinase inhibitor (TKI) dasatinib PMID: 28242791
- Identify mutually exclusive activating hotspot mutations in FGFR1 and related PI-3K/RAS signaling genes in malignant phyllodes tumors which are implicated in tumor pathogenesis and/or progression. PMID: 27255162
- we report FGFR1 as being frequently overexpressed in HNSCC and as a candidate prognostic biomarker in HPV-negative HNSCC. PMID: 26936917
- Head and neck cancers are recurrently affected by FGFR1 amplification, with a predominance in cancers of the oral cavity. PMID: 29022097
- High FGFR1 expression is associated with non-small cell lung cancer. PMID: 26936993
- Study present a rare case of a 46,XY patient with CHD associated with ambiguous genitalia consisting of a clitoris-like phallus and a bifid scrotum. Exome sequencing revealed novel homozygous mutations in the FGFR1 and STARD3 genes that may be associated with the phenotype. PMID: 27055092
- PDGFRalpha levels are regulated by SMARCB1 expression, and assessment of clinical specimens documents the expression of both PDGFRalpha and FGFR1 in rhabdoid tumor patients. PMID: 27783942
顯示更多
收起更多
-
相關疾病:Pfeiffer syndrome (PS); Hypogonadotropic hypogonadism 2 with or without anosmia (HH2); Osteoglophonic dysplasia (OGD); Hartsfield syndrome (HRTFDS); Trigonocephaly 1 (TRIGNO1); Encephalocraniocutaneous lipomatosis (ECCL); Jackson-Weiss syndrome (JWS)
-
亞細胞定位:Cell membrane; Single-pass type I membrane protein. Nucleus. Cytoplasm, cytosol. Cytoplasmic vesicle. Note=After ligand binding, both receptor and ligand are rapidly internalized. Can translocate to the nucleus after internalization, or by translocation from the endoplasmic reticulum or Golgi apparatus to the cytosol, and from there to the nucleus.
-
蛋白家族:Protein kinase superfamily, Tyr protein kinase family, Fibroblast growth factor receptor subfamily
-
組織特異性:Detected in astrocytoma, neuroblastoma and adrenal cortex cell lines. Some isoforms are detected in foreskin fibroblast cell lines, however isoform 17, isoform 18 and isoform 19 are not detected in these cells.
-
數據庫鏈接:
Most popular with customers
-
-
YWHAB Recombinant Monoclonal Antibody
Applications: ELISA, WB, IHC, IF, FC
Species Reactivity: Human, Mouse, Rat
-
Phospho-YAP1 (S127) Recombinant Monoclonal Antibody
Applications: ELISA, WB, IHC
Species Reactivity: Human
-
-
-
-
-















