FGFBP3 Antibody
-
中文名稱:FGFBP3兔多克隆抗體
-
貨號:CSB-PA819447OA01HU
-
規格:¥440
-
圖片:
-
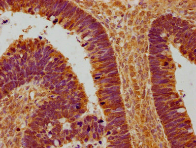
IHC image of CSB-PA819447OA01HU diluted at 1:100 and staining in paraffin-embedded human ovarian cancer performed on a Leica BondTM system. After dewaxing and hydration, antigen retrieval was mediated by high pressure in a citrate buffer (pH 6.0). Section was blocked with 10% normal goat serum 30min at RT. Then primary antibody (1% BSA) was incubated at 4°C overnight. The primary is detected by a biotinylated secondary antibody and visualized using an HRP conjugated SP system.
-
-
其他:
產品詳情
-
產品名稱:Rabbit anti-Homo sapiens (Human) FGFBP3 Polyclonal antibody
-
Uniprot No.:
-
基因名:FGFBP3
-
別名:FGFBP3 antibody; C10orf13 antibody; PSEC0101Fibroblast growth factor-binding protein 3 antibody; FGF-BP3 antibody; FGF-binding protein 3 antibody; FGFBP-3 antibody
-
宿主:Rabbit
-
反應種屬:Human
-
免疫原:Peptide sequence from Human Fibroblast growth factor-binding protein 3 protein (192-209AA)
-
免疫原種屬:Homo sapiens (Human)
-
標記方式:Non-conjugated
本頁面中的產品,FGFBP3 Antibody (CSB-PA819447OA01HU),的標記方式是Non-conjugated。對于FGFBP3 Antibody,我們還提供其他標記。見下表:
-
克隆類型:Polyclonal
-
抗體亞型:IgG
-
純化方式:Antigen Affinity Purified
-
濃度:It differs from different batches. Please contact us to confirm it.
-
保存緩沖液:Preservative: 0.03% Proclin 300
Constituents: 50% Glycerol, 0.01M PBS, pH 7.4 -
產品提供形式:Liquid
-
應用范圍:ELISA, IHC
-
推薦稀釋比:
Application Recommended Dilution IHC 1:20-1:200 -
Protocols:
-
儲存條件:Upon receipt, store at -20°C or -80°C. Avoid repeated freeze.
-
貨期:Basically, we can dispatch the products out in 1-3 working days after receiving your orders. Delivery time maybe differs from different purchasing way or location, please kindly consult your local distributors for specific delivery time.
-
用途:For Research Use Only. Not for use in diagnostic or therapeutic procedures.
相關產品
靶點詳情
-
功能:Heparin-binding protein which binds to FGF2, prevents binding of FGF2 to heparin and probably inhibits immobilization of FGF2 on extracellular matrix glycosaminoglycans, allowing its release and subsequent activation of FGFR signaling which leads to increased vascular permeability.
-
基因功能參考文獻:
- the FGF binding domain and the heparin binding domain are necessary for the hBP3 interaction with endogenous FGF and the activation of FGFR signaling in vivo PMID: 18669637
-
亞細胞定位:Secreted.
-
蛋白家族:Fibroblast growth factor-binding protein family
-
數據庫鏈接:
Most popular with customers
-
-
YWHAB Recombinant Monoclonal Antibody
Applications: ELISA, WB, IHC, IF, FC
Species Reactivity: Human, Mouse, Rat
-
Phospho-YAP1 (S127) Recombinant Monoclonal Antibody
Applications: ELISA, WB, IHC
Species Reactivity: Human
-
-
-
-
-















