FGF4 Antibody
-
中文名稱:FGF4兔多克隆抗體
-
貨號:CSB-PA008631OA01HU
-
規格:¥440
-
圖片:
-
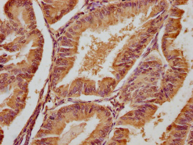
IHC image of CSB-PA008631OA01HU diluted at 1:300 and staining in paraffin-embedded human endometrial cancer performed on a Leica BondTM system. After dewaxing and hydration, antigen retrieval was mediated by high pressure in a citrate buffer (pH 6.0). Section was blocked with 10% normal goat serum 30min at RT. Then primary antibody (1% BSA) was incubated at 4°C overnight. The primary is detected by a biotinylated secondary antibody and visualized using an HRP conjugated SP system.
-
-
其他:
產品詳情
-
產品名稱:Rabbit anti-Homo sapiens (Human) FGF4 Polyclonal antibody
-
Uniprot No.:
-
基因名:
-
別名:FGF-4 antibody; Fgf4 antibody; FGF4_HUMAN antibody; Fibroblast growth factor 4 antibody; fibroblast growth factor 4 splice isoform antibody; HBGF-4 antibody; HBGF4 antibody; Heparin secretory-transforming protein 1 antibody; Heparin-binding growth factor 4 antibody; Hst antibody; HST-1 antibody; HST1 antibody; HSTF-1 antibody; HSTF1 antibody; Human stomach cancer transforming factor from FGF related oncogene antibody; K FGF antibody; Kaposi Sarcoma Oncogene antibody; KFGF antibody; KS3 antibody; Oncogene HST antibody; Transforming protein KS3 antibody
-
宿主:Rabbit
-
反應種屬:Human
-
免疫原:Peptide sequence from Human Fibroblast growth factor 4 protein (182-200AA)
-
免疫原種屬:Homo sapiens (Human)
-
標記方式:Non-conjugated
本頁面中的產品,FGF4 Antibody (CSB-PA008631OA01HU),的標記方式是Non-conjugated。對于FGF4 Antibody,我們還提供其他標記。見下表:
-
克隆類型:Polyclonal
-
抗體亞型:IgG
-
純化方式:>95%, Protein G purified
-
濃度:It differs from different batches. Please contact us to confirm it.
-
保存緩沖液:Preservative: 0.03% Proclin 300
Constituents: 50% Glycerol, 0.01M PBS, pH 7.4 -
產品提供形式:Liquid
-
應用范圍:ELISA, IHC
-
推薦稀釋比:
Application Recommended Dilution IHC 1:200-1:500 -
Protocols:
-
儲存條件:Upon receipt, store at -20°C or -80°C. Avoid repeated freeze.
-
貨期:Basically, we can dispatch the products out in 1-3 working days after receiving your orders. Delivery time maybe differs from different purchasing way or location, please kindly consult your local distributors for specific delivery time.
-
用途:For Research Use Only. Not for use in diagnostic or therapeutic procedures.
相關產品
靶點詳情
-
功能:Plays an important role in the regulation of embryonic development, cell proliferation, and cell differentiation. Required for normal limb and cardiac valve development during embryogenesis.
-
基因功能參考文獻:
- our study demonstrated that FGFR4 rs2011077 and rs1966265 are associated with the progression of cervical normal tissues to precancerous lesions in Taiwanese women. Moreover, rs351855 (Gly388Arg) is the only FGFR4 genetic polymorphism that is associated with patient survival. PMID: 28378614
- Thus, we conclude that the oncoprotein HBXIP up-regulates FGF4 through activating transcriptional factor Sp1 to promote the migration of breast cancer cells. Therapeutically, HBXIP may serve as a novel target in breast cancer. PMID: 26828265
- Fibroblasts induce expression of FGF4 in ovarian cancer stem-like cells/cancer-initiating cells and upregulate their tumor initiation capacity. PMID: 25329002
- Data show that the interaction between Artd1 and Sox2 is crucial for the first steps of the reprogramming process and that early expression of Fgf4 is an essential component for the successful generation of iPSCs. PMID: 23939864
- Myoblasts which overexpress FGF-4 exhibit significant changes in cell cycle and pro-angiogenic potential with only slight differences in the expression of the myogenic genes. PMID: 21673370
- In vivo stimulation of BT-474 cell growth by progesterone is associated with up-regulation of FGF4 which may promote tumor growth and maintenance. PMID: 22237711
- knockdown of FGFR4 expression led to decreased proliferation and an increased rate of apoptosis in the MKN45 and SGC7901 GC cell lines PMID: 21567388
- activation of human HST-1 gene in transgenic mice induces spermatogenesis and prevents adriamycin-induced testicular toxicity PMID: 11840335
- Differential effects of FGF4, EGF and TGFB1 on functional development of stromal layers (progenitor cell-outputs) in acute myeloid leukemia PMID: 12163055
- FGF4 is upregulated by the OCT3 transcription factor in breast cancer cells. PMID: 12841847
- HST-1 protects male germ cells from apoptosis under heat-stress condition in a mouse model. PMID: 14980503
- Both myeov and hst (fgf4) are normally situated approximately 475-kb apart at band 11q13, a region that is frequently amplified and overexpressed in various tumours. PMID: 17390055
- FGF-4 increases the rate at which MSC proliferate and has no significant effect on MSC pluripotency PMID: 17852409
- These results suggest a growth-promoting role for FGF4 in human embryonic stem cells and a putative feedback inhibition mechanism by a novel FGF4 splice isoform that may serve to promote differentiation at later stages of development. PMID: 18192227
- Implantation of human FGF4-soaked beads is sufficient to restore expression of G1- and S-phase cell-cycle genes and S-phase progression in zebrafish sonic hedgehog (Shh) mutant fin buds. PMID: 18811955
- The combined action of retinoic acid and FGF4 results in induction of PDX1+ foregut endoderm. PMID: 19277121
顯示更多
收起更多
-
亞細胞定位:Secreted.
-
蛋白家族:Heparin-binding growth factors family
-
數據庫鏈接:
Most popular with customers
-
-
YWHAB Recombinant Monoclonal Antibody
Applications: ELISA, WB, IHC, IF, FC
Species Reactivity: Human, Mouse, Rat
-
Phospho-YAP1 (S127) Recombinant Monoclonal Antibody
Applications: ELISA, WB, IHC
Species Reactivity: Human
-
-
-
-
-















