FGF19 Antibody
-
中文名稱:FGF19兔多克隆抗體
-
貨號:CSB-PA008624EA01HU
-
規格:¥440
-
圖片:
-
Western Blot
Positive WB detected in: 293T whole cell lysate
All lanes: FGF19 antibody at 1:2000
Secondary
Goat polyclonal to rabbit IgG at 1/50000 dilution
Predicted band size: 25 kDa
Observed band size: 25 kDa -
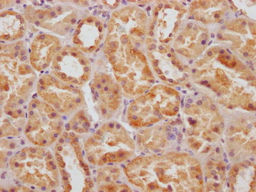
IHC image of CSB-PA008624EA01HU diluted at 1:200 and staining in paraffin-embedded human kidney tissue performed on a Leica BondTM system. After dewaxing and hydration, antigen retrieval was mediated by high pressure in a citrate buffer (pH 6.0). Section was blocked with 10% normal goat serum 30min at RT. Then primary antibody (1% BSA) was incubated at 4°C overnight. The primary is detected by a Goat anti-rabbit polymer IgG labeled by HRP and visualized using 0.05% DAB.
-
-
其他:
產品詳情
-
產品名稱:Rabbit anti-Homo sapiens (Human) FGF19 Polyclonal antibody
-
Uniprot No.:
-
基因名:
-
別名:Fibroblast growth factor 19 (FGF-19), FGF19
-
宿主:Rabbit
-
反應種屬:Human
-
免疫原:Recombinant Human Fibroblast growth factor 19 protein (25-216aa)
-
免疫原種屬:Homo sapiens (Human)
-
標記方式:Non-conjugated
本頁面中的產品,FGF19 Antibody (CSB-PA008624EA01HU),的標記方式是Non-conjugated。對于FGF19 Antibody,我們還提供其他標記。見下表:
-
克隆類型:Polyclonal
-
抗體亞型:IgG
-
純化方式:>95%, Protein G purified
-
濃度:It differs from different batches. Please contact us to confirm it.
-
保存緩沖液:Preservative: 0.03% Proclin 300
Constituents: 50% Glycerol, 0.01M PBS, pH 7.4 -
產品提供形式:Liquid
-
應用范圍:ELISA, WB, IHC
-
推薦稀釋比:
Application Recommended Dilution WB 1:1000-1:5000 IHC 1:100-1:500 -
Protocols:
-
儲存條件:Upon receipt, store at -20°C or -80°C. Avoid repeated freeze.
-
貨期:Basically, we can dispatch the products out in 1-3 working days after receiving your orders. Delivery time maybe differs from different purchasing way or location, please kindly consult your local distributors for specific delivery time.
-
用途:For Research Use Only. Not for use in diagnostic or therapeutic procedures.
相關產品
靶點詳情
-
功能:Involved in the suppression of bile acid biosynthesis through down-regulation of CYP7A1 expression, following positive regulation of the JNK and ERK1/2 cascades. Stimulates glucose uptake in adipocytes. Activity requires the presence of KLB and FGFR4.
-
基因功能參考文獻:
- Study showed that FGF19 amplification is a genetic event in Chinese lung squamous cell carcinoma (LSCC) patients, with a frequency of 37.5%. FGF19 amplified LSCC cells express relatively higher levels of FGF19 mRNA expression, and downregulation of FGF19 expression can induce significant cell killing effects in vitro and in vivo. PMID: 28906590
- FGFR4/FGF19 autocrine signaling mediates the survival of a subset of basal-like breast cancer cells PMID: 27192118
- FGF19 copy number may increase in hepatocellular carcinoma accompanying a complete response to sorafenib treatment PMID: 27384874
- Study demonstrates that elevated FGF19 expression or hyperactivation of FGF19/FGFR4 signaling in hepatocellular carcinoma cells is one of the main mechanisms of sorafenib resistance. PMID: 28069043
- This is the first study to elucidate FGF19/FGFR4 signaling in favor of hepatocellular carcinoma cells developing from fatty liver PMID: 27447573
- High expression of FGF19 is associated with hepatocellular carcinoma. PMID: 26498355
- Findings show that FGF19 provides a cytoprotective role against ER stress by activating a FGFR4-GSK3beta-Nrf2 signaling cascade, suggesting targeting this signaling node as a candidate therapeutic regimen for hepatocellular carcinoma (HCC) management. PMID: 28951455
- Fibroblast growth factor 19 levels in human portal blood are higher than in arterial blood. Fibroblast growth factor 19 is released by the portal-drained viscera under fasted steady state conditions. PMID: 28003563
- Intestinal sensing of highly elevated levels of conjugated bile acids in blood promotes FGF15/FGF19 signaling, reducing hepatic bile acid synthesis and modulating bile acid transporters. PMID: 28498614
- serum FGF19 and FGF21 and hepatic Klotho expression are inversely associated with hepatic damage in children with NAFLD PMID: 23840612
- Administering FGF19, or suitable mimetic, as a pharmacological intervention to increase circulating levels of FGF19 and suppress BA synthesis by inhibiting CYP7A1 gene expression is likely to provide therapeutic benefits for many PBC patients PMID: 28570655
- Amplification of FGF19 was validated in independent LSCC samples. Furthermore, FGF19 stimulated LSCC cell growth in vitro. These data implicate FGF19 as a potential driver gene in LSCC with clinic characteristics as smoking. PMID: 26943773
- FGF19 is able to enhance migration and invasion abilities of gastric cancer cells. PMID: 27053348
- Bile acid and FGF19 levels increased after Roux-en-Y bypass, but not after intensive medial management in type 2 diabetic subjects who achieved similar improvement in glycemic control. PMID: 26259981
- FGF19 correlates with severity of liver disease and can potentially serve as an indicator of chronic cholestatic liver injury. PMID: 26293907
- Study shows that FGF19 can be secreted and promotes ovarian cancer progression such as proliferation and invasion by activating FGFR4. PMID: 26323668
- we suggest that considerable mechanistic differences exist between humans and mice with regard to the nuclear receptors controlling the VitA-FGF15/19 axis. PMID: 26723851
- Suggest a potential connection between gallbladder cholangiocyte-derived FGF19 and bile acid metabolism that could lead to metabolic dysregulation following cholecystectomy. PMID: 26256900
- discusses current knowledge of the complex biology of the endocrine FGFs. PMID: 26567701
- FGF-19 increment after OGL was positively associated with age, and negatively associated with abnormal glucose regulation and statin treatment PMID: 26343925
- KL methylation is a characteristic of many breast cancer cases . However, the resulting or associated perturbation in FGFR4 expression, similar to FGF19, could be utilized as a biomarker for poor prognosis PMID: 26152288
- The pathogenesis of intestinal failure associated liver disease is uncertain, we therefore investigated the role of FGF19 and pro-inflammatory cytokines has on this disease state. PMID: 25595885
- In this review, we have reported the altered expression of FGF19 in non-alcoholic fatty liver disease and hepatocellular carcinoma; we find limited information on the role of FGF19 in other liver diseases PMID: 25547779
- In mice with humanized livers, expression of an FGF19 transgene corrects bile acid signaling defects, resulting in normalization of bile acid synthesis, the bile acid pool, and liver size. PMID: 26028580
- The data suggest that FGF19/FGF21 circulating levels and hepatic gene expression of the associated signaling pathway are significantly dysregulated in type 2 diabetes. PMID: 25664662
- Describe a nontumorigenic FGF19 variant, M70, which regulates bile acid metabolism and, through inhibition of bile acid synthesis/reduction of excess hepatic bile acid accumulation, protects mice from cholestatic liver injury. PMID: 25080475
- obesity appears as the predominant determinant of the abnormalities in FGF21 and FGF19 levels. Opposite changes in beta-Klotho expression in fat and liver indicate potential tissue-specific alterations in the responsiveness to endocrine FGFs in obesity PMID: 24813368
- FGF19 levels were reduced in non-diabetic obese subjects as compared to lean controls and obese type 2 diabetic subjects. PMID: 24841294
- Fibroblast growth factor 19 might be associated with biochemical recurrence after radical prostatectomy by promoting cell proliferation and epithelial-mesenchymal transition of prostate cancer PMID: 25854696
- In hepatocellular carcinoma, FGF19 amplifications, known to activate Wnt signaling, were mutually exclusive with CTNNB1 and AXIN1 mutations, and significantly associated with cirrhosis. PMID: 24798001
- FGF19 expression is not associated with lymph node metastasis and locally invasive characteristics of the tumor in colorectal cancers PMID: 23803094
- Reduced fibroblast growth factor 19 is a feature of bile acid diarrhea. PMID: 23981126
- [review] While FGF19 is a negative feedback regulator of bile acid metabolism and can circulate as a hormone, emerging evidence has showed its autocrine or exocrine function. PMID: 24827712
- FGF19 stimulates tumor progression by activating the STAT3 pathway. PMID: 24728076
- Reduced serum FGF19 levels could be involved in the pathophysiology of gestational diabetes mellitus, while increased serum FGF21 levels could be a compensatory response to this disease. PMID: 24260557
- Quantification of FGF19 expression appears to provide valuable prognostic information in breast cancer PMID: 24248542
- Fasting serum FGF19 levels were decreased in Chinese subjects with IFG and inversely associated with fasting glucose levels. PMID: 23628619
- These results suggest that SREBP-2 negatively regulates the FXR-mediated transcriptional activation of the FGF19 gene in human intestinal cells. PMID: 24321096
- Serum FGF19 is associated with the presence and severity of coronary artery disease in a Chinese population. PMID: 23940810
- The specificity of hFGF19 signaling is greatly altered in a mouse model system. PMID: 23064887
- FGF19 protein expression might be an effective predictor of early recurrence and a marker for poor prognosis of hepatocellular carcinoma. PMID: 23456506
- FGF19 (fibroblast growth factor 19) as a novel target gene for activating transcription factor 4 in response to endoplasmic reticulum stress PMID: 23205607
- A decrease in fasting FGF19 levels is associated with the development of non-alcoholic fatty liver disease in obese adolescents. PMID: 23329754
- HNF4alpha and LRH-1 promote active transcription histone marks on the Cyp7a1 promoter that are reversed by FGF19 in a SHP-dependent manner PMID: 23038264
- These results suggest that FGF19 is transcriptionally activated through multiple Farnesoid X receptor-responsive elements in the promoter region PMID: 22561792
- Differential specificity of endocrine FGF19 and FGF21 to FGFR1 and FGFR4 in complex with KLB. PMID: 22442730
- The FGF19 effect on APOA was attenuated by transfection of primary hepatocytes with siRNA against the FGF19 receptor 4 (FGFR4). PMID: 22267484
- Baseline serum FGF-19 levels are significantly lower in obese patients with type 2 diabetes and is at least partially dependent upon nutritional status, but is not related to glucose metabolism or insulin sensitivity parameters. PMID: 21574752
- Mouse Fgf15 and human FGF19 play key roles in enterohepatic signaling, regulation of liver bile acid biosynthesis, gallbladder motility and metabolic homeostasis PMID: 22396169
- FGF-19 levels are low in type 2 diabetic patients with metabolic syndrome. PMID: 22166511
顯示更多
收起更多
-
亞細胞定位:Secreted.
-
蛋白家族:Heparin-binding growth factors family
-
組織特異性:Expressed in fetal brain, cartilage, retina, and adult gall bladder.
-
數據庫鏈接:
Most popular with customers
-
-
YWHAB Recombinant Monoclonal Antibody
Applications: ELISA, WB, IHC, IF, FC
Species Reactivity: Human, Mouse, Rat
-
Phospho-YAP1 (S127) Recombinant Monoclonal Antibody
Applications: ELISA, WB, IHC
Species Reactivity: Human
-
-
-
-
-















