FGF13 Antibody
-
中文名稱:FGF13兔多克隆抗體
-
貨號:CSB-PA008619LA01HU
-
規格:¥440
-
圖片:
-
Western blot
All lanes: FGF13 antibody at 12µg/ml + Mouse brain tissue
Secondary
Goat polyclonal to rabbit IgG at 1/10000 dilution
Predicted band size: 28, 22, 29, 23, 26 kDa
Observed band size: 28 kDa -
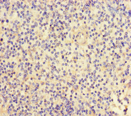
Immunohistochemistry of paraffin-embedded human spleen tissue using CSB-PA008619LA01HU at dilution of 1:100
-
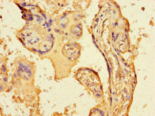
Immunohistochemistry of paraffin-embedded human placenta tissue using CSB-PA008619LA01HU at dilution of 1:100
-
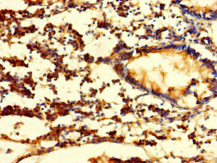
Immunohistochemistry of paraffin-embedded human appendix tissue using CSB-PA008619LA01HU at dilution of 1:100
-
-
其他:
產品詳情
-
產品名稱:Rabbit anti-Homo sapiens (Human) FGF13 Polyclonal antibody
-
Uniprot No.:
-
基因名:FGF13
-
別名:FGF 13 antibody; FGF 2 antibody; FGF-13 antibody; FGF13 antibody; FGF13_HUMAN antibody; FGF2 antibody; FHF 2 antibody; FHF-2 antibody; FHF2 antibody; Fibroblast growth factor 13 antibody; Fibroblast growth factor homologous factor 2 antibody; OTTHUMP00000024143 antibody; OTTHUMP00000024144 antibody
-
宿主:Rabbit
-
反應種屬:Human, Mouse
-
免疫原:Recombinant Human Fibroblast growth factor 13 protein (1-245AA)
-
免疫原種屬:Homo sapiens (Human)
-
標記方式:Non-conjugated
本頁面中的產品,FGF13 Antibody (CSB-PA008619LA01HU),的標記方式是Non-conjugated。對于FGF13 Antibody,我們還提供其他標記。見下表:
-
克隆類型:Polyclonal
-
抗體亞型:IgG
-
純化方式:>95%, Protein G purified
-
濃度:It differs from different batches. Please contact us to confirm it.
-
保存緩沖液:Preservative: 0.03% Proclin 300
Constituents: 50% Glycerol, 0.01M PBS, PH 7.4 -
產品提供形式:Liquid
-
應用范圍:ELISA, WB, IHC
-
推薦稀釋比:
Application Recommended Dilution WB 1:1000-1:5000 IHC 1:20-1:200 -
Protocols:
-
儲存條件:Upon receipt, store at -20°C or -80°C. Avoid repeated freeze.
-
貨期:Basically, we can dispatch the products out in 1-3 working days after receiving your orders. Delivery time maybe differs from different purchasing way or location, please kindly consult your local distributors for specific delivery time.
-
用途:For Research Use Only. Not for use in diagnostic or therapeutic procedures.
相關產品
靶點詳情
-
功能:Microtubule-binding protein which directly binds tubulin and is involved in both polymerization and stabilization of microtubules. Through its action on microtubules, may participate in the refinement of axons by negatively regulating axonal and leading processes branching. Plays a crucial role in neuron polarization and migration in the cerebral cortex and the hippocampus. May regulate voltage-gated sodium channels transport and function. May also play a role in MAPK signaling. Required for the development of axonal initial segment-targeting inhibitory GABAergic synapses made by chandelier neurons.
-
基因功能參考文獻:
- The present study reported the presence of FGF13 in the follicular fluid of women undergoing IVF/ICSI. Moreover, the relationships between FF-FGF13 and FF-TT, ovarian morphology and oocyte developmental competence imply that FF-FGF13 might be involved in the pathophysiological process of polycystic ovary syndrome. PMID: 30257687
- Autism-related protein MeCP2 regulates FGF13 expression and emotional behaviors PMID: 27916441
- FGF13 was downregulated in human placentae with early-onset preeclampsia. FGF13 played an important role in maintaining placental trophoblast permeability via the modulation of E-cadherin. PMID: 29405966
- We propose that, in cells in which activated oncogenes drive excessive protein synthesis, FGF13 may favor survival by maintaining translation rates at a level compatible with the protein quality-control capacity of the cell. Thus, FGF13 may serve as an enabler, allowing cancer cells to evade proteostasis stress triggered by oncogene activation. PMID: 27994142
- Study screened the coding and splice site regions of the FGF13 gene in a sample of 45 unrelated probands where genetic epilepsy with febrile seizures plus segregated in an X-linked pattern; subsequently identified a de novo FGF13 missense variant in an additional patient with febrile seizures and facial edema. Results suggest that FGF13 is not a common cause of genetic epilepsy with febrile seizures plus. PMID: 27810516
- identified two novel native phosphorylation sites in the C terminus of NaV1.5 that impair FGF13-dependent regulation of channel inactivation and may contribute to CaMKIIdeltac-dependent arrhythmogenic disorders in failing hearts. PMID: 28882890
- These data showed the diversity of the roles of the FGF13 N-termini in NaV1.5 channel modulation and suggested the importance of isoform-specific regulation PMID: 27246624
- the FGF13/Nav1.7 complex is essential for sustaining the transmission of noxious heat signals PMID: 28162808
- for PCa patients after RP, FGF13 serves as a potential novel prognostic marker that improves prediction of BCR-free survival, in particular if combined with other clinical parameters. PMID: 26891277
- The findings of this study reveal a novel cause of this syndrome and underscore the powerful role of FGF13 in control of neuronal excitability. PMID: 26063919
- X-chromosome deletions may be a cause of WS with larger deletions being lethal to males and that FGF13 mutations may be a cause of Wildervanck Syndrome (WS). PMID: 23373430
- Upregulated expression of FGF13/FHF2 mediates resistance to platinum drugs in cervical cancer cells PMID: 24113164
- FGF13 has a role in hair follicle growth and in the hair cycle as shown in a family with X-linked congenital generalized hypertrichosis PMID: 23603273
- interactions with perlecans PMID: 11847221
- identification of a domain controlling angiogenic properties PMID: 12496262
- FHF2B is an interacting partner of Na(v)1.6. The preferential expression of FHF2B in sensory neurons may provide a basis for physiological differences in sodium currents that have been reported at the nodes of Ranvier in sensory versus motor axons. PMID: 15282281
顯示更多
收起更多
-
亞細胞定位:Cell projection, filopodium. Cell projection, growth cone. Cell projection, dendrite. Nucleus. Cytoplasm.; [Isoform 1]: Nucleus, nucleolus.; [Isoform 2]: Cytoplasm. Nucleus.
-
蛋白家族:Heparin-binding growth factors family
-
組織特異性:Ubiquitously expressed. Predominantly expressed in the nervous system.
-
數據庫鏈接:
Most popular with customers
-
-
YWHAB Recombinant Monoclonal Antibody
Applications: ELISA, WB, IHC, IF, FC
Species Reactivity: Human, Mouse, Rat
-
Phospho-YAP1 (S127) Recombinant Monoclonal Antibody
Applications: ELISA, WB, IHC
Species Reactivity: Human
-
-
-
-
-















