FERMT1 Antibody
-
中文名稱:FERMT1兔多克隆抗體
-
貨號:CSB-PA874786LA01HU
-
規格:¥440
-
圖片:
-
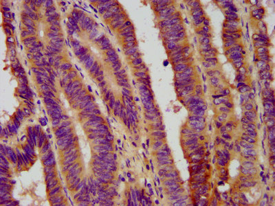
IHC image of CSB-PA874786LA01HU diluted at 1:800 and staining in paraffin-embedded human colon cancer performed on a Leica BondTM system. After dewaxing and hydration, antigen retrieval was mediated by high pressure in a citrate buffer (pH 6.0). Section was blocked with 10% normal goat serum 30min at RT. Then primary antibody (1% BSA) was incubated at 4°C overnight. The primary is detected by a biotinylated secondary antibody and visualized using an HRP conjugated SP system.
-
Immunofluorescence staining of Hela cells with CSB-PA874786LA01HU at 1:266, counter-stained with DAPI. The cells were fixed in 4% formaldehyde, permeabilized using 0.2% Triton X-100 and blocked in 10% normal Goat Serum. The cells were then incubated with the antibody overnight at 4°C. The secondary antibody was Alexa Fluor 488-congugated AffiniPure Goat Anti-Rabbit IgG(H+L).
-
-
其他:
產品詳情
-
產品名稱:Rabbit anti-Homo sapiens (Human) FERMT1 Polyclonal antibody
-
Uniprot No.:
-
基因名:FERMT1
-
別名:C20orf42 antibody; Chromosome 20 open reading frame 42 antibody; DTGCU 2 antibody; DTGCU2 antibody; FERM1_HUMAN antibody; Fermitin family homolog 1 antibody; Fermitin family member 1 antibody; Fermt1 antibody; FLJ20116 antibody; FLJ23423 antibody; KIND 1 antibody; KIND1 antibody; Kinderlin antibody; Kindlerin antibody; Kindlin 1 antibody; Kindlin syndrome protein antibody; Kindlin-1 antibody; Kindlin1 antibody; Unc 112 related protein 1 antibody; Unc-112-related protein 1 antibody; Unc112 related protein antibody; UNC112A antibody; URP 1 antibody; URP1 antibody
-
宿主:Rabbit
-
反應種屬:Human
-
免疫原:Recombinant Human Fermitin family homolog 1 protein (321-420AA)
-
免疫原種屬:Homo sapiens (Human)
-
標記方式:Non-conjugated
本頁面中的產品,FERMT1 Antibody (CSB-PA874786LA01HU),的標記方式是Non-conjugated。對于FERMT1 Antibody,我們還提供其他標記。見下表:
-
克隆類型:Polyclonal
-
抗體亞型:IgG
-
純化方式:>95%, Protein G purified
-
濃度:It differs from different batches. Please contact us to confirm it.
-
保存緩沖液:Preservative: 0.03% Proclin 300
Constituents: 50% Glycerol, 0.01M PBS, pH 7.4 -
產品提供形式:Liquid
-
應用范圍:ELISA, IHC, IF
-
推薦稀釋比:
Application Recommended Dilution IHC 1:500-1:1000 IF 1:200-1:500 -
Protocols:
-
儲存條件:Upon receipt, store at -20°C or -80°C. Avoid repeated freeze.
-
貨期:Basically, we can dispatch the products out in 1-3 working days after receiving your orders. Delivery time maybe differs from different purchasing way or location, please kindly consult your local distributors for specific delivery time.
-
用途:For Research Use Only. Not for use in diagnostic or therapeutic procedures.
相關產品
靶點詳情
-
功能:Involved in cell adhesion. Contributes to integrin activation. When coexpressed with talin, potentiates activation of ITGA2B. Required for normal keratinocyte proliferation. Required for normal polarization of basal keratinocytes in skin, and for normal cell shape. Required for normal adhesion of keratinocytes to fibronectin and laminin, and for normal keratinocyte migration to wound sites. May mediate TGF-beta 1 signaling in tumor progression.
-
基因功能參考文獻:
- Kindlin-1 is mainly expressed in the cytoplasm of normal esophageal squamous epithelium and Esophageal cancer (EC) cells. Kindlin-1 expression is positively correlated with tumor cell differentiation and is higher in stage I tumors. Kindlin-1 expression is higher in non-smoker patients than in smoker patients, and in patients with a family history of EC. PMID: 28667517
- Kindlin supports platelet GPIIB IIIA activation by interacting with paxillin. PMID: 28954813
- we demonstrated that Kindlin-1 promotes CRC progression by recruiting SARA and Smad3 to TbetaRI and thereby activates TGF-beta/Smad3 signaling. Thus, Kindlin-1 is a novel regulator of TGF-beta/Smad3 signaling and may also be a potential target for CRC therapeutics. PMID: 27776350
- Sequence analysis of KIND1 exons in patient 1 revealed a commonly reported homozygous nonsense mutation in exon 6 (c.811C>T;p.R271X). Both Patients 2 and 3 had novel homozygous single nucleotide deletions PMID: 27862150
- KS patients' periodontal disease activity could be taken under control with regular follow-up. PMID: 29168364
- these data define a novel role for Kin1 in microtubule acetylation and stability PMID: 26993041
- keratinocytes derived from KS patients are unable to undergo electrotaxis, and this defect is restored by overexpression of wild-type kindlin-1 but not a W612A mutation that prevents kindlin-integrin binding. PMID: 27427485
- FERMT1 activates the beta-catenin transcriptional activity to promote EMT in CC metastasis. PMID: 27641329
- KIND1 is important not only for keratinocyte proliferation but also for the suppression of UV-induced inflammation and DNA damage. PMID: 27725201
- We show a direct relationship between kindlin-1 abundance and UV-B induced apoptosis in keratinocytes, whereas kindlin-2 overexpression has no compensatory effect. PMID: 27798104
- These results indicate that Kindlin-1 is essential in EGF-induced re-epithelialization in skin wound healing and provide additional rationale for the clinical application of EGF in the treatment of acute wounds. PMID: 28290610
- KS is caused by mutations in the FERMT1 gene. Including the present, more than 60 mutations in FERMT1 have been identified since 2003. In spite of the expanding FERMT1 mutation database, there seems to be a lack of a clear genotype-phenotype correlation in KS PMID: 25865288
- A nonsense mutation in Exon 5 of KIND1 Gene in an Iranian Family may lead to incomplete and non-functional protein products and is pathogenic and has meaningful implications for the diagnosis of patients with Kindler syndrome. PMID: 27293055
- we show that a certain number of KS patients may harbor FERMT1 transcriptional regulatory mutations which are not routinely detected. PMID: 25156791
- Kindlin-1 is highly expressed in epithelial tissues derived from ectoderm and endoderm, whereas Kindlin-2 is mainly expressed in mesoderm-derived tissues. Likewise, Kindlin-1 was also found highly expressed in endoderm/ectoderm-derived tissues in embryos. PMID: 25591451
- FERMT1 mutation causing Kindler syndrome. PMID: 26083552
- our data suggest that Kindlin-1 could play an important role in hepatocellular carcinoma and might serve as a promising prognostic marker and potential target for hepatocellular carcinoma therapy. PMID: 25592379
- A spectrum of FERMT1 mutations in 13 Iranian families with a diagnosis of Kindler syndrome have been ascertained. PMID: 25599393
- We identified a novel mutation in FERMT1. These data are in agreement with the fact that the majority of KS-causing mutations in FERMT1 lead to premature termination of translation and to loss of kindlin-1 function in Kindler sysndrome PMID: 24635080
- C-terminal LIM domains of migfilin dictate its focal adhesion localization, and these domains mediate an interaction with kindlin in vitro and in cells, demonstrating that kindlin is important for normal migfilin dynamics. PMID: 24165133
- Data uncover a role for kindlin-1 in the regulation of integrin trafficking and adhesion turnover. PMID: 23776470
- Short interfering RNA-mediated depletion of Kindlin-1 increases formation of abnormal mitotic spindles which is dependent on the ability of Kindlin-1 to bind integrins and Polo-like kinase 1-mediated Kindlin-1 phosphorylation. PMID: 23804033
- Individuals with Kindler syndrome (KS) have loss-of-function mutations in the FERMT1 gene PMID: 23278235
- Whereas both Integrin-linked kinase (Ilk) and Kindlin-1 cooperate with Integrin alpha3beta1 to resist trauma-induced epidermal defects, Kindlin-1 and Ilk, surprisingly, do not act synergistically but in parallel. PMID: 23549420
- Kindlin-1 expression is involved in the progression of pancreatic cancer via enhancement of cell migration and invasion. PMID: 23440354
- Kindlin-1 and Kindlin-2 have opposite roles in lung cancers PMID: 23209705
- the results of this study indicate that FERMT1 is expressed specifically in colon carcinoma cells, and has roles in matrix invasion and cell growth PMID: 23267142
- Direct sequencing of the FERMT1 gene revealed a homozygous insertion of cytosine at position 676 (c.676insC) in exon 5 in seven patients. PMID: 22220914
- There is an association of FERMT1 missense and in-frame deletion mutations with milder disease phenotypes, and later onset of complications in Kindler syndrome ( FERMT1 ) PMID: 21936020
- Kindlin-1 expression in breast tumors is associated with lung metastasis and lung metastasis-free survival through regulation of TGF-beta signaling. Kindlin-1-silencing prevented tumor growth and lung metastasis in mice. PMID: 21832234
- FERMT1 is a novel prognostic factor for colon carcinoma. PMID: 21220475
- Describe five novel and three recurrent loss-of-function FERMT1 mutations in eight individuals with Kindler syndrome, and provide an overview of genotype-phenotype correlation in this disorder. PMID: 21336475
- Induction of phenotype modifying cytokines by FERMT1 mutations PMID: 21309038
- The phenotype of kindlin-1-deficient cells can be modulated by regulating kindlin-2 gene expression and vice versa. PMID: 21356350
- In summary, we have described a recurrent splice-site deletion mutation in KIND1 in Kindler syndrome. PMID: 21146372
- A novel mutation in the FERMT1 gene in a Spanish family with Kindler's syndrome is reported. PMID: 20028441
- cellular functions and possible clinical relevance of kindlin-1 [REVIEW] PMID: 19854292
- Null mutations in FERMT1 result in skin blistering from birth and early childhood progressive poikiloderma, mucosal fragility, and increased risk of cancer PMID: 19945623
- kindlerin has a role in mediating cell processes that depend on integrins PMID: 14634021
- loss-of-function KIND1 mutations demonstrate the importance of kindlin-1 in maintaining epithelial integrity PMID: 14962093
- Kindlin-1 is considered to be a component in the linkage of the actin cytoskeleton to the extracellular matrix and as such is proposed to have both structural and cell-signalling functions. Review. PMID: 15927810
- Mutated at intron 13 in Kindler syndrome. PMID: 16051467
- The abundance of repetitive elements in intronic regions of KIND1, together with the identification of a large deletion, suggests that genomic rearrangements could be responsible for a significant proportion of Kindler syndrome cases PMID: 16675959
- Kindlin-1 has roles in regulation of polarity, proliferation, and motility of epidermal keratinocytes PMID: 17012746
- Kindlin-1 links the actin cytoskeleton to the extracellular matrix and is supposed to have cell-signaling functions owing to different functional domains. PMID: 17178989
- analysis of KIND1 gene mutations in Kindler syndrome [case reports] PMID: 17460733
- The KIND1 mutation c.67insC represents the most common recurrent pathogenic gene mutation in patients with KS. PMID: 17916195
- Two patients with Kindler Syndrome have mutations in KIND-1. In patient 1, there was a duplication of cytosine at position 676 in exon 5 of kindlin-1 mRNA. In patient 2, a novel mutation of exon 3 of KIND1 gene c.170C>A. PMID: 17989907
- a splice site mutation in the first position of intron 13 of the FERMT1 gene caused skipping of exon 13. PMID: 18652585
- A novel large FERMT1 (KIND1) gene deletion in Kindler syndrome. PMID: 18835760
顯示更多
收起更多
-
相關疾病:Kindler syndrome (KNDLRS)
-
亞細胞定位:Cytoplasm, cytoskeleton. Cell junction, focal adhesion. Cell projection, ruffle membrane; Peripheral membrane protein; Cytoplasmic side. Note=Constituent of focal adhesions. Localized at the basal aspect of skin keratinocytes, close to the cell membrane. Colocalizes with filamentous actin. Upon TGFB1 treatment, it localizes to membrane ruffles.
-
蛋白家族:Kindlin family
-
組織特異性:Expressed in brain, skeletal muscle, kidney, colon, adrenal gland, prostate, and placenta. Weakly or not expressed in heart, thymus, spleen, liver, small intestine, bone marrow, lung and peripheral blood leukocytes. Overexpressed in some colon and lung tu
-
數據庫鏈接:
Most popular with customers
-
-
YWHAB Recombinant Monoclonal Antibody
Applications: ELISA, WB, IHC, IF, FC
Species Reactivity: Human, Mouse, Rat
-
Phospho-YAP1 (S127) Recombinant Monoclonal Antibody
Applications: ELISA, WB, IHC
Species Reactivity: Human
-
-
-
-
-















