FEM1B Antibody
-
中文名稱:FEM1B兔多克隆抗體
-
貨號:CSB-PA722618
-
規格:¥1100
-
圖片:
-
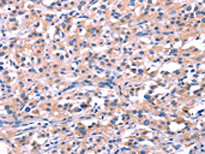
The image on the left is immunohistochemistry of paraffin-embedded Human thyroid cancer tissue using CSB-PA722618(FEM1B Antibody) at dilution 1/20, on the right is treated with synthetic peptide. (Original magnification: ×200)
-
Gel: 6%SDS-PAGE, Lysate: 40 μg, Lane: PC3 cells, Primary antibody: CSB-PA722618(FEM1B Antibody) at dilution 1/200, Secondary antibody: Goat anti rabbit IgG at 1/8000 dilution, Exposure time: 10 seconds
-
-
其他:
產品詳情
-
Uniprot No.:
-
基因名:FEM1B
-
別名:F1A alpha antibody; F1A-alpha antibody; F1AA antibody; Fem-1-like death receptor-binding protein alpha antibody; Fem-1-like in apoptotic pathway protein alpha antibody; Fem1 homolog b antibody; FEM1 like death receptor binding protein antibody; FEM1-beta antibody; FEM1b antibody; FEM1B_HUMAN antibody; Protein fem-1 homolog B antibody
-
宿主:Rabbit
-
反應種屬:Human,Mouse,Rat
-
免疫原:Synthetic peptide of Human FEM1B
-
免疫原種屬:Homo sapiens (Human)
-
標記方式:Non-conjugated
-
抗體亞型:IgG
-
純化方式:Antigen affinity purification
-
濃度:It differs from different batches. Please contact us to confirm it.
-
保存緩沖液:-20°C, pH7.4 PBS, 0.05% NaN3, 40% Glycerol
-
產品提供形式:Liquid
-
應用范圍:ELISA,WB,IHC
-
推薦稀釋比:
Application Recommended Dilution ELISA 1:2000-1:5000 WB 1:500-1:2000 IHC 1:25-1:100 -
Protocols:
-
儲存條件:Upon receipt, store at -20°C or -80°C. Avoid repeated freeze.
-
貨期:Basically, we can dispatch the products out in 1-3 working days after receiving your orders. Delivery time maybe differs from different purchasing way or location, please kindly consult your local distributors for specific delivery time.
-
用途:For Research Use Only. Not for use in diagnostic or therapeutic procedures.
相關產品
靶點詳情
-
功能:Substrate-recognition component of a Cul2-RING (CRL2) E3 ubiquitin-protein ligase complex of the DesCEND (destruction via C-end degrons) pathway, which recognizes a C-degron located at the extreme C terminus of target proteins, leading to their ubiquitination and degradation. The C-degron recognized by the DesCEND pathway is usually a motif of less than ten residues and can be present in full-length proteins, truncated proteins or proteolytically cleaved forms. The CRL2(FEM1B) complex specifically recognizes proteins ending with -Gly-Leu-Asp-Arg, such as CDK5R1, leading to their ubiquitination and degradation. Also acts as a regulator of the reductive stress response by mediating ubiquitination of reduced FNIP1: in response to reductive stress, the CRL2(FEM1B) complex specifically recognizes a conserved Cys degron in FNIP1 when this degron is reduced, leading to FNIP1 degradation and subsequent activation of mitochondria to recalibrate reactive oxygen species (ROS). Promotes ubiquitination of GLI1, suppressing GLI1 transcriptional activator activity. Promotes ubiquitination and degradation of ANKRD37. Promotes ubiquitination and degradation of SLBP. Involved in apoptosis by acting as a death receptor-associated protein that mediates apoptosis. Also involved in glucose homeostasis in pancreatic islet. May also act as an adapter/mediator in replication stress-induced signaling that leads to the activation of CHEK1.
-
基因功能參考文獻:
- FEM1 proteins are ancient regulators of Stem-Loop Binding Protein. PMID: 28118078
- These findings have implications for understanding the cellular functions of Fem1b, and the regulation of Gli1 oncoprotein activity. PMID: 24076122
- the proapoptotic protein Fem1b is downregulated by the proteasome in malignant colon cancer cells and mediates proteasome inhibitor-induced apoptosis of these cells PMID: 19908242
- This study presents evidence suggesting a role for FEM1A and FEM1B in the pathogenesis of polycystic ovary syndrome. Only FEM1B variants were associated with insulin-related traits in PCOS women. PMID: 18757445
- FEM1B is required for Rad9 recruitment and CHK1 activation in response to replication stress. PMID: 19330022
顯示更多
收起更多
-
亞細胞定位:Cytoplasm. Nucleus.
-
蛋白家族:Fem-1 family
-
組織特異性:Widely expressed. Highly expressed in testis. Weakly expressed in other tissues.
-
數據庫鏈接:
Most popular with customers
-
YWHAB Recombinant Monoclonal Antibody
Applications: ELISA, WB, IHC, IF, FC
Species Reactivity: Human, Mouse, Rat
-
Phospho-YAP1 (S127) Recombinant Monoclonal Antibody
Applications: ELISA, WB, IHC
Species Reactivity: Human
-
-
-
-
-
-















