-
中文名稱:FDPS兔多克隆抗體
-
貨號:CSB-PA008563LA01HU
-
規格:¥440
-
圖片:
-
Western Blot
Positive WB detected in: HepG2 whole cell lysate
All lanes: FDPS antibody at 3µg/ml
Secondary
Goat polyclonal to rabbit IgG at 1/50000 dilution
Predicted band size: 49, 41 kDa
Observed band size: 41 kDa -
Immunohistochemistry of paraffin-embedded human heart tissue using CSB-PA008563LA01HU at dilution of 1:100
-
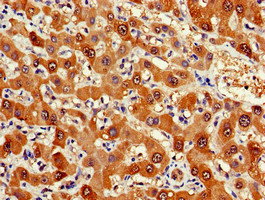
Immunohistochemistry of paraffin-embedded human liver cancer using CSB-PA008563LA01HU at dilution of 1:100
-
Immunoprecipitating FDPS in HepG2 whole cell lysate
Lane 1: Rabbit control IgG (1µg) instead of CSB-PA008563LA01HU in HepG2 whole cell lysate. For western blotting, a HRP-conjugated Protein G antibody was used as the secondary antibody (1/2000)
Lane 2: CSB-PA008563LA01HU (8µg) + HepG2 whole cell lysate (500µg)
Lane 3: HepG2 whole cell lysate (10µg)
-
-
其他:
產品詳情
-
產品名稱:Rabbit anti-Homo sapiens (Human) FDPS Polyclonal antibody
-
Uniprot No.:
-
基因名:FDPS
-
別名:(2E antibody; (2E,6E) farnesyl diphosphate synthase antibody; 6E)-farnesyl diphosphate synthase antibody; Dimethylallyltranstransferase antibody; Farnesyl diphosphate synthase antibody; Farnesyl diphosphate synthetase antibody; Farnesyl pyrophosphate synthase antibody; Farnesyl pyrophosphate synthetase antibody; Fdps antibody; FPP synthase antibody; FPP synthetase antibody; FPPS antibody; FPPS_HUMAN antibody; FPS antibody; Geranyltranstransferase antibody
-
宿主:Rabbit
-
反應種屬:Human
-
免疫原:Recombinant Human Farnesyl pyrophosphate synthase protein (1-419AA)
-
免疫原種屬:Homo sapiens (Human)
-
標記方式:Non-conjugated
本頁面中的產品,FDPS Antibody (CSB-PA008563LA01HU),的標記方式是Non-conjugated。對于FDPS Antibody,我們還提供其他標記。見下表:
-
克隆類型:Polyclonal
-
抗體亞型:IgG
-
純化方式:>95%, Protein G purified
-
濃度:It differs from different batches. Please contact us to confirm it.
-
保存緩沖液:Preservative: 0.03% Proclin 300
Constituents: 50% Glycerol, 0.01M PBS, pH 7.4 -
產品提供形式:Liquid
-
應用范圍:ELISA, WB, IHC, IP
-
推薦稀釋比:
Application Recommended Dilution WB 1:500-1:5000 IHC 1:20-1:200 IP 1:200-1:2000 -
Protocols:
-
儲存條件:Upon receipt, store at -20°C or -80°C. Avoid repeated freeze.
-
貨期:Basically, we can dispatch the products out in 1-3 working days after receiving your orders. Delivery time maybe differs from different purchasing way or location, please kindly consult your local distributors for specific delivery time.
-
用途:For Research Use Only. Not for use in diagnostic or therapeutic procedures.
引用文獻
- Structure-based virtual screening and biological evaluation of novel non-bisphosphonate farnesyl pyrophosphate synthase inhibitors Qingzhu Liu, et al,European Journal of Medicinal Chemistry,2019
相關產品
靶點詳情
-
功能:Key enzyme in isoprenoid biosynthesis which catalyzes the formation of farnesyl diphosphate (FPP), a precursor for several classes of essential metabolites including sterols, dolichols, carotenoids, and ubiquinones. FPP also serves as substrate for protein farnesylation and geranylgeranylation. Catalyzes the sequential condensation of isopentenyl pyrophosphate with the allylic pyrophosphates, dimethylallyl pyrophosphate, and then with the resultant geranylpyrophosphate to the ultimate product farnesyl pyrophosphate.
-
基因功能參考文獻:
- Farnesyl pyrophosphate (FPP) allosterically regulated the activity of farnesyl pyrophosphate synthase. PMID: 28098152
- FPPS mediates TGF-beta1-induced lung cancer cell invasion and epithelial-to-mesenchymal transition via the RhoA/Rock1 pathway. PMID: 29337059
- Crystallographic and thermodynamic characterization of phenylaminopyridine bisphosphonates binding to human farnesyl pyrophosphate synthase PMID: 29036218
- These results are consistent with the previously proposed hypothesis that the allosteric pocket of human FPPS, located near the active site, plays a feed-back regulatory role for this enzyme. PMID: 25630225
- our study indicated that DR patients have higher VEGF levels than diabetic patients without retinopathy, and -2578A/C (rs699947) and +405C/G (rs2010963) may be important factors in determining serum VEGF levels. PMID: 24534219
- Results suggest that polymorphisms of the FDPS gene may influence the bone response to drugs targeting the mevalonate pathway, like statins. PMID: 24311107
- A co-crystal structure of human farnesyl pyrophosphate synthase in complex with a bisphosphonate and two molecules of inorganic phosphate. PMID: 24598914
- The results identify new classes of FPPS inhibitors, diterpenoids and sesquiterpenoids, that bind to the IPP site and may be of interest as anticancer and antiinfective drug leads. PMID: 24927548
- These observations suggest that an increase in the expression of endogenous FPPS could confer at least partial resistance to the pharmacological effect of N-BP drugs such as ZOL in vivo PMID: 24369118
- LRP5 and FDPS loci age-specifically affect skeletal traits in healthy fertile women. PMID: 23238007
- Data indicate compounds represent a new structural class of farnesyl pyrophosphate synthase (hFPPS) inhibitors and suggest a development of therapeutics. PMID: 23998921
- The iPA-driven modulation of FDPS can cause an enhancement of post-translational prenylation essential for the biological activity of key proteins in NK signaling and effector functions, such as Ras. PMID: 23847096
- FPPS was more highly expressed in prostate cancer vs. normal prostate tissue. The association of FPPS with established histopathological risk parameters and biochemical recurrence implicates a contribution of the mevalonate pathway to PC progression. PMID: 22407328
- FPPS might play an important role in Ang II-induced cardiac hypertrophy and fibrosis in vivo, at least in part through RhoA, p-38 MAPK and TGF-beta1. PMID: 23277274
- The crystal structure of human FPPS in complex with a novel bisphosphonate YS0470 and in the absence of a second substrate showed partial ordering of the tail in the closed conformation. PMID: 23234314
- Common polymorphisms of the FDPS gene influence the response to bisphosphonates in osteoporotic women. PMID: 21151198
- findings reveal a FDPS-dependent mechanism in the internalization and down-regulation of beta2AR, identify FDPS as a potential target for improving the therapeutic efficacy of beta-agonists PMID: 22278941
- first study on the gene FDPS rs2297480 SNP in postmenopausal Thai women.The effect did not contribute to the baseline of bone mineral density nor bone turnover markers. PMID: 22338925
- The A/C rs2297480 polymorphism of FDPS was highly differently distributed among osteonecrosis-of-the-jaw patients and controls, with a correlation between AA carrier status and occurrence of ONJ after 18-24 months of treatment with bisphosphonates. PMID: 21196316
- characterized the sterol-response-element-binding protein 2 and nuclear factor Y-binding site in the farnesyl diphosphate synthase promoter PMID: 20450493
- This study provides the first evidence of the presence of FPPs activity in human CRC. Moreover, FPPs enzyme was found to play a significant role in colon cancer proliferation. PMID: 15713990
- mitochondrial targeting of FPS may be widespread among eukaryotes PMID: 17198737
- findings suggest that a single nucleotide polymorphism in the FDPS gene (rs2297480) may be a genetic marker for lower bone mineral density in postmenopausal Caucasian women PMID: 17368768
- FDPS is involved in the resistance to zoledronic acid of osteosarcoma cells. PMID: 18494934
- characterized functionally the minimal basal promoter of the human FDPS gene by means of deletion mutants and we have identified two cis-acting elements which modulate the FDPS gene expression and are recognized by Pax5 and OCT-1 transcription factors PMID: 19056481
- FPPS knockdown cells activated Vgamma9Vdelta2 T cells, as measured by increased levels of CD69 and CD107a, killing of FPPS knockdown cells, and induction of IFN-gamma secretion PMID: 19494338
顯示更多
收起更多
-
相關疾病:Porokeratosis 9, multiple types (POROK9)
-
亞細胞定位:Cytoplasm.
-
蛋白家族:FPP/GGPP synthase family
-
數據庫鏈接:
Most popular with customers
-
-
YWHAB Recombinant Monoclonal Antibody
Applications: ELISA, WB, IHC, IF, FC
Species Reactivity: Human, Mouse, Rat
-
Phospho-YAP1 (S127) Recombinant Monoclonal Antibody
Applications: ELISA, WB, IHC
Species Reactivity: Human
-
-
-
-
-















