FCGR2C Antibody
-
中文名稱:FCGR2C兔多克隆抗體
-
貨號:CSB-PA008542ESR1HU
-
規格:¥440
-
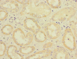
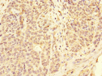
圖片:
-
其他:
產品詳情
-
產品名稱:Rabbit anti-Homo sapiens (Human) FCGR2C Polyclonal antibody
-
Uniprot No.:
-
基因名:
-
別名:FCGR2C; CD32; FCG2; IGFR2; Low affinity immunoglobulin gamma Fc region receptor II-c; IgG Fc receptor II-c; CDw32; Fc-gamma RII-c; Fc-gamma-RIIc; FcRII-c; CD antigen CD32
-
宿主:Rabbit
-
反應種屬:Human
-
免疫原:Recombinant Human Low affinity immunoglobulin gamma Fc region receptor II-c protein (43-223AA)
-
免疫原種屬:Homo sapiens (Human)
-
標記方式:Non-conjugated
-
克隆類型:Polyclonal
-
抗體亞型:IgG
-
純化方式:Antigen Affinity Purified
-
濃度:It differs from different batches. Please contact us to confirm it.
-
保存緩沖液:PBS with 0.02% sodium azide, 50% glycerol, pH7.3.
-
產品提供形式:Liquid
-
應用范圍:ELISA, IHC
-
推薦稀釋比:
Application Recommended Dilution IHC 1:20-1:200 -
Protocols:
-
儲存條件:Upon receipt, store at -20°C or -80°C. Avoid repeated freeze.
-
貨期:Basically, we can dispatch the products out in 1-3 working days after receiving your orders. Delivery time maybe differs from different purchasing way or location, please kindly consult your local distributors for specific delivery time.
-
用途:For Research Use Only. Not for use in diagnostic or therapeutic procedures.
相關產品
靶點詳情
-
功能:Receptor for the Fc region of complexed immunoglobulins gamma. Low affinity receptor. Involved in a variety of effector and regulatory functions such as phagocytosis of immune complexes and modulation of antibody production by B-cells.
-
基因功能參考文獻:
- When higher-affinity genotypes for FCGR2A, FCGR3A, and FCGR2C were considered together, they were associated with significantly increased tumor shrinkage and prolonged survival in response to HD-IL2... this is the first study to show associations of FCGR genotypes with outcome following HD-IL2 treatment PMID: 27742794
- The nonclassical open reading frame in the FCGR2C gene (FCGR2C.nc-ORF) was strongly associated with a decreased alloimmunization risk (odds ratio [OR] 0.26, 95% confidence [CI] 0.11-0.64). PMID: 28899854
- Gene copy number variation (CNV) of the PKLR, FCGR2A, FCGR2C, and FCGR3 genes is associated with malaria severity, and our results provide evidence for a role of CNV in host responses to malaria. PMID: 28605553
- FCGR2A and FCGR2C polymorphisms may also contribute to immunocomplexemia present in sarcoidosis. PMID: 26801149
- The findings of this study highlight further ethnic variation at the FCGR gene locus, in particular for FCGR2C, a gene with increasingly recognized clinical significance. PMID: 26673965
- FCGR2C SNPs that associated with vaccine efficacy in RV144 also strongly associated with the expression of FCGR2A/C and one of them also associated with the expression of Fc receptor-like A (FCRLA), another Fc-gamma receptor (FcgammaR) gene PMID: 27015273
- These include an FCGR2A/2C chimeric gene that causes a decreased expression PMID: 26133275
- Data show that gains or losses in copy numbers of Fc gamma receptors FCGR3A were less frequent than for FCGR3B and FCGR2C. PMID: 26032265
- sequenced exons and surrounding areas of FcR-encoding genes and found one FCGR2C tag SNP (rs114945036) that associated with vaccine efficacy against HIV-1 subtype CRF01_AE, with lysine at position 169 (169K) in the V2 loop (CRF01_AE 169K) PMID: 25105367
- We report the discovery of allele-dependent expression of the activating FcgammaRIIc on B cells. Identical to FcgammaRIIb in the extracellular domain, FcgammaRIIc has a tyrosine-based activation motif in its cytoplasmic domain. PMID: 24353158
- study concludes gene copy number of FcgammaR2C and FcgammaR3B influences IVIG treatment response and predisposes individuals to Kawasaki disease, providing potential insights into understanding the mechanism of the FcgammaR gene family in the IVIG pathway PMID: 23778324
- Genomic pathology of SLE-associated copy-number variation at the FCGR2C/FCGR3B/FCGR2B locus.(28-40) Status: Complete Incomplete Delete PMID: 23261299
- Two additional variations in FcgammaRIIb/c expression on leukocytes have now been identified; findings demonstrate a more extensive and previously unnoticed variation in FcgammaR expression with relevance to immunity and inflammation. PMID: 22198951
- Fragment c gamma receptor gene polymorphisms is not associated with breast cancer. PMID: 20978933
- activating FCGR2C-ORF genotype predisposes to idiopathic thrombocytopenic purpura by altering the balance of activating and inhibitory FcgammaR on immune cells PMID: 17827395
- Only FCGR3A, FCGR2C and FCGR3B show copy number variation, in contrast to FCGR2A and FCGR2B. PMID: 19309690
顯示更多
收起更多
-
亞細胞定位:[Isoform IIC4]: Cytoplasm.; [Isoform IIC3]: Cell membrane; Single-pass type I membrane protein.; [Isoform IIC2]: Cell membrane; Single-pass type I membrane protein.; [Isoform IIC1]: Cell membrane; Single-pass type I membrane protein.
-
組織特異性:Isoform IIC1 is detected in monocytes, macrophages, polymorphonuclear cells and natural killer cells.
-
數據庫鏈接:
Most popular with customers
-
-
Phospho-YAP1 (S127) Recombinant Monoclonal Antibody
Applications: ELISA, WB, IHC
Species Reactivity: Human
-
-
-
-
-
-















