FBXW7 Antibody
-
中文名稱:FBXW7兔多克隆抗體
-
貨號:CSB-PA251991
-
規格:¥1100
-
圖片:
-
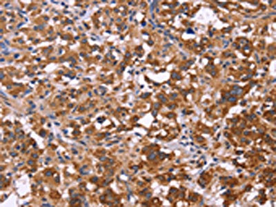
The image on the left is immunohistochemistry of paraffin-embedded Human cervical cancer tissue using CSB-PA251991(FBXW7 Antibody) at dilution 1/40, on the right is treated with fusion protein. (Original magnification: ×200)
-
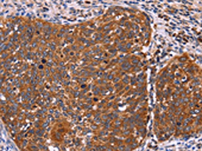
The image on the left is immunohistochemistry of paraffin-embedded Human thyroid cancer tissue using CSB-PA251991(FBXW7 Antibody) at dilution 1/40, on the right is treated with fusion protein. (Original magnification: ×200)
-
-
其他:
產品詳情
-
Uniprot No.:
-
基因名:
-
別名:FBXW7; FBW7; FBX30; SEL10; F-box/WD repeat-containing protein 7; Archipelago homolog; hAgo; F-box and WD-40 domain-containing protein 7; F-box protein FBX30; SEL-10; hCdc4
-
宿主:Rabbit
-
反應種屬:Human,Mouse
-
免疫原:Fusion protein of Human FBXW7
-
免疫原種屬:Homo sapiens (Human)
-
標記方式:Non-conjugated
-
抗體亞型:IgG
-
純化方式:Antigen affinity purification
-
濃度:It differs from different batches. Please contact us to confirm it.
-
保存緩沖液:-20°C, pH7.4 PBS, 0.05% NaN3, 40% Glycerol
-
產品提供形式:Liquid
-
應用范圍:ELISA,IHC
-
推薦稀釋比:
Application Recommended Dilution ELISA 1:2000-1:10000 IHC 1:100-1:300 -
Protocols:
-
儲存條件:Upon receipt, store at -20°C or -80°C. Avoid repeated freeze.
-
貨期:Basically, we can dispatch the products out in 1-3 working days after receiving your orders. Delivery time maybe differs from different purchasing way or location, please kindly consult your local distributors for specific delivery time.
-
用途:For Research Use Only. Not for use in diagnostic or therapeutic procedures.
相關產品
靶點詳情
-
功能:Substrate recognition component of a SCF (SKP1-CUL1-F-box protein) E3 ubiquitin-protein ligase complex which mediates the ubiquitination and subsequent proteasomal degradation of target proteins. Recognizes and binds phosphorylated sites/phosphodegrons within target proteins and thereafter bring them to the SCF complex for ubiquitination. Identified substrates include cyclin-E (CCNE1 or CCNE2), DISC1, JUN, MYC, NOTCH1 released notch intracellular domain (NICD), NFE2L1, NOTCH2, MCL1, and probably PSEN1. Acts as a negative regulator of JNK signaling by binding to phosphorylated JUN and promoting its ubiquitination and subsequent degradation. Involved in bone homeostasis and negative regulation of osteoclast differentiation. Regulates the amplitude of the cyclic expression of hepatic core clock genes and genes involved in lipid and glucose metabolism via ubiquitination and proteasomal degradation of their transcriptional repressor NR1D1; CDK1-dependent phosphorylation of NR1D1 is necessary for SCF(FBXW7)-mediated ubiquitination. Also able to promote 'Lys-63'-linked ubiquitination in response to DNA damage. The SCF(FBXW7) complex facilitates double-strand break repair following phosphorylation by ATM: phosphorylation promotes localization to sites of double-strand breaks and 'Lys-63'-linked ubiquitination of phosphorylated XRCC4, enhancing DNA non-homologous end joining.
-
基因功能參考文獻:
- Multivalent Interactions with Fbw7 and Pin1 Facilitate Recognition of c-Jun by the Fbw7. PMID: 29225075
- FBXW7 is critical for RIG-I stabilization during antiviral responses. PMID: 28287082
- Expression of miR-223 is negatively correlated with F-box and WD repeat domain-containing 7 (FBXW7) expression in cells and tissues. PMID: 29701752
- FBXW7 conduction of tumour suppression was partly through degrading Snai1 directly for ubiquitylating regulation in NSCLC. PMID: 30094882
- Data showed that both chemo and radiation sensitivity increased in TE-8 and KYSE140 cells overexpressing FBXW7 compared with mock cells because of the degradation of the anti-apoptotic protein MCL1. PMID: 30098297
- Fbw7 mutations shifted cellular metabolism toward oxidative phosphorylation and caused context-specific metabolic vulnerabilities. PMID: 29735700
- TINCR suppressed proliferation and invasion through regulating miR-544a/FBXW7 axis in lung cancer. PMID: 29324317
- Low FBXW7 expression is associated with non-small cell lung cancer. PMID: 28656290
- we identified F-box and WD repeat domain-containing 7 (FBXW7) protein as a direct functional target of miR-25 in esophageal squamous cell carcinoma (ESCC). In conclusion, the present study supports the potential of miR-25 as a prognostic predictor with its high expression in cancer tissues and its association with tumor progression by targeting FBXW7 in ESCC PMID: 29048664
- FBXW7 was significantly downregulated in renal cell carcinoma cell lines. Upregulation of FBXW7 in 786-O and ACHN cell lines significantly inhibited cell migration, invasion and EMT. PMID: 29097832
- FBXW7 missense mutation is associated with metastatic colorectal adenocarcinoma. PMID: 28424412
- miR-92b-3p inhibition prevented colorectal cancer proliferation, invasion, and migration by upregulating FBXW7, which might suggest the potential role of miR-92b-3p in colorectal carcinogenesis and metastasis. PMID: 29638162
- FBXW7 is markedly downregulated in the liver of obese subjects. A functional low-frequency human FBXW7 coding variant (p.Ala204Thr) is associated with elevated blood glucose and T2DM risk in a Chinese population. Mechanistically, FBXW7 directly binds to hepatokine fetuin-A to induce its ubiquitination and subsequent proteasomal degradation, comprising an important mechanism maintaining glucose homeostasis. PMID: 29475832
- Our findings suggest FBW7 mutational status and Mcl-1 stability as key determinants of response to Hsp90 inhibitors, which provides a rationale for using FBW7 genotype for potential patient stratification, and for drug combinations with Hsp90 inhibitors that can effectively overcome Mcl-1-mediated resistance. PMID: 28619760
- a cancer stem cell-specific FBXW7-regulatory mechanism is strongly associated with resistance to chemotherapeutic agents. PMID: 28699179
- FBW7 promoted gemcitabine sensitivity via upregulation of equilibrative nucleoside transporter 1 (ENT1) at the protein level rather than the transcriptional level. PMID: 28765935
- FBW7 overexpression downregulated Aurora B, Mcl1 and Notch1 levels. PMID: 29427543
- FBXW7 was a downstream target of miR-367 and CASC2 prohibited epithelial-to-mesenchymal transition progression and subsequently exerted its anti-metastatic effects via CASC2/miR-367/FBXW7 axis in hepatocellular carcinoma cells. PMID: 28716020
- FBW7 cooperated with gamma-catenin to inhibit G2/M cell cycle transition and cell proliferation. PMID: 29408378
- We also propose a model for the stabilization mechanism in which binding to Aurora-A alters how N-Myc interacts with SCF(FbxW7) to disfavor the generation of Lys48-linked polyubiquitin chains PMID: 27837025
- We find that both primary and recurrent Squamous cell carcinoma of the anal canal (ASCC) tumors harbor mutations in genes, such as PIK3CA and FBXW7, that are also mutated in other HPV-associated cancers. Overall mutational burden was not significantly different in pre- versus post-CRT tumors, and several examples of shared clonal driver mutations were identified PMID: 27852700
- We have identified low FBXW7 expression as a potential powerful marker of poor prognosis in patients with gastric adenocarcinoma. Furthermore, in view of the different chemotherapeutics outcomes found in this large database study, FBXW7 may serve as an important predictor in chemotherapeutic responses. PMID: 28464881
- Fbxw7 haploinsufficiency increased the risk of gastric carcinogenesis induced by MNU, which is associated with the accumulation of DNA damage as well as c-Myc oncoprotein. PMID: 28422719
- EglN2 might act as an FBW7 ubiquitin ligase substrate contributing to the progression of triple negative breast cancer. PMID: 28036276
- FAM83D knockdown up-regulated the protein expression level of F-box and WD repeat domain-containing 7 (FBXW7), but diminished the Notch1 protein expression level. PMID: 28407575
- Thus, our study uncovers a novel regulatory mechanism underlying which KLF10 stability and its biological function are mediated by FBW7. PMID: 29198712
- Results found it showed reduced expression in diffuse large B-cell lymphoma (DLBCL), which was associated with a poor outcome. Fbw7 expression promotes apoptosis in DLBCL cell lines. Furthermore, the study demonstrated that Fbw7 targets Stat3 and especially activated Stat3 for ubiquitylation to regulate its stability. PMID: 28069035
- Data suggest that FBXW7, MCL1 and PLK1 may be relevant predictive markers of tumor progression and response to paclitaxel treatment. PMID: 27409838
- FBW7 serves as a negative regulator of glucose metabolism through regulation of the c-Myc/TXNIP axis in pancreatic cancer. PMID: 26983463
- increased expression of activated NOTCH1 was found in NOTCH1/FBXW7 hotspot exon-mutated cases. Study suggests that NOTCH1/FBXW7 hotspot-mutated T-ALL cases had better response to ALL BFM-95 protocol. PMID: 29200162
- Study identify SCF-FBW7 as a ubiquitin E3 ligase that regulates the cellular FAAP20 levels and Fanconi anemia (FA) pathway. Deregulation of the GSK3beta- and FBW7-dependent FAAP20 degradation leads to a defect in the FA pathway, establishing a direct link between FBW7 and DNA repair. PMID: 27232758
- HRAS mutations were more common in epithelial-myoepithelial carcinomas (EMCAs) with intact PLAG1 and HMGA2. Most EMCAs arose ex pleomorphic adenoma (PA)and the genetic profile of EMCA varies with the absence or presence of preexisting PA and its cytogenetic signature. Progression to higher grade EMCA with intact PLAG1 and HMGA2 correlates with the presence of TP53, FBXW7 mutations, or SMARCB1 deletion. PMID: 29135520
- Data indicate the SCF(Fbxw7)-independent regulatory mechanism centred on the highly conserved lysine-52 (K52) within MYC Box I. PMID: 28806398
- Results identified FBXW7 as a functional target of miR-155-3p and demonstrated an involvement of FBXW7 in the effects of increased miR-155-3p on promoting clone formation and proliferation of hepatocellular carcinoma. PMID: 27306418
- FBXW7alpha inhibits breast cancer cells survival by promoting GATA3 degradation/destabilizing GATA3. PMID: 28722108
- Loss of FBW7 expression is associated with breast cancer. PMID: 28760857
- FBXW7 could be a potential biomarker for predicting not only the clinical response to chemoradiotherapy but also overall survival in patients with oral squamous cell carcinoma PMID: 29072128
- Our results reveal a new mechanism of ZNF322A oncoprotein destruction regulated by the CK1delta/GSK3beta/FBXW7a axis. Deregulation of this signaling axis results in ZNF322A overexpression and promotes cancer progression PMID: 28581525
- Low FBXW7 expression is associated with pancreatic cancer. PMID: 28423622
- siRNA interference of FBXW7 reversed the inhibitory effect of MAGEA1 on migration and proliferation of MCF-7 and MDA-MB-231 cells. PMID: 28459460
- Endogenous circRNA encodes a functional protein in human cells, and circ-FBXW7 and FBXW7-185aa have potential prognostic implications in brain cancer. PMID: 28903484
- Dual FBXW7-GAK inhibition increases multipolar mitoses. PMID: 28829765
- EXT1, a gene not previously linked to acute lymphoblastic leukemia via mutations, is a common interactor of NOTCH1 and FBXW7 regulating the NOTCH pathway in an FBXW7-dependend manner. PMID: 27229929
- C-MYC and FBXW7 affect Adult T-cell Leukemia/Lymphoma proliferation and progression, and low FBXW7 may increase C-MYC expression. C-MYC was a critical prognostic factor in Adult T-cell Leukemia/Lymphoma patients. PMID: 28498285
- The findings reveal a PLK1-Fbw7-Myc signaling circuit that underlies tumorigenesis and validate PLK1 inhibitors, alone or with Bcl2 antagonists, as potential effective therapeutics for MYC-overexpressing cancers. PMID: 27773673
- Findings demonstrate that Fbw7 targets CDX2 for ubiquitin-mediated proteasome degradation in a GSK3b-dependent manner where GSK3b presumably phosphorylates CDX2 within the two potential phosphodegron motifs. PMID: 27470268
- Plk2 represents an independent prognostic marker and regulates tumor growth and apoptosis by targeting Fbxw7/Cyclin E pathway in colorectal carcinoma. PMID: 27423313
- Here, we show that the SCFFBW7alpha ubiquitin ligase targets SOX9 for proteasomal degradation and provide experimental evidence of a role for FBW7 in modulating medulloblastoma malignancy and cisplatin resistance by controlling SOX9 proteolysis. PMID: 27625374
- The authors show that STYX binds to the F-box domain of FBXW7 and disables its recruitment into the SCF ubiquitin ligase complex. PMID: 28007894
- In colorectal cancers, mutations in the FBXW7 gene were more common in the younger cohort (27.5% vs 9.7%; P = .0022) as were mutations in the proofreading domain of polymerase epsilon catalytic subunit (POLE) (9.8% vs 1%; P = .0048). PMID: 27244218
顯示更多
收起更多
-
亞細胞定位:[Isoform 1]: Nucleus, nucleoplasm. Chromosome.; [Isoform 2]: Cytoplasm.; [Isoform 3]: Nucleus, nucleolus.
-
組織特異性:[Isoform 1]: Widely expressed.; [Isoform 3]: Expressed in brain.
-
數據庫鏈接:
Most popular with customers
-
-
Phospho-YAP1 (S127) Recombinant Monoclonal Antibody
Applications: ELISA, WB, IHC
Species Reactivity: Human
-
-
-
-
-
-















