FBXO7 Antibody
-
中文名稱:FBXO7兔多克隆抗體
-
貨號:CSB-PA667562ESR2HU
-
規格:¥440
-
圖片:
-
Western blot
All lanes: FBXO7 antibody at 3.97µg/ml
Lane 1: Mouse gonadal tissue
Lane 2: Jurkat whole cell lysate
Lane 3: 293T whole cell lysate
Lane 4: PC-3 whole cell lysate
Secondary
Goat polyclonal to rabbit IgG at 1/10000 dilution
Predicted band size: 59, 50, 46 kDa
Observed band size: 59 kDa -
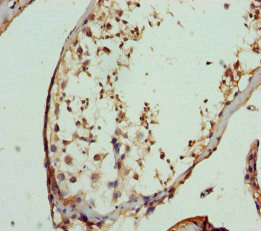
Immunohistochemistry of paraffin-embedded human testis tissue using CSB-PA667562ESR2HU at dilution of 1:100
-
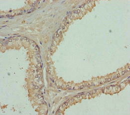
Immunohistochemistry of paraffin-embedded human prostate cancer using CSB-PA667562ESR2HU at dilution of 1:100
-
-
其他:
產品詳情
-
產品名稱:Rabbit anti-Homo sapiens (Human) FBXO7 Polyclonal antibody
-
Uniprot No.:
-
基因名:FBXO7
-
別名:F box only protein 7 antibody; F box protein 7 antibody; F-box only protein 7 antibody; FBX antibody; FBX07 antibody; FBX7 antibody; FBX7_HUMAN antibody; Fbxo7 antibody; PARK15 antibody; PKPS antibody
-
宿主:Rabbit
-
反應種屬:Human, Mouse
-
免疫原:Recombinant Human F-box only protein 7 protein (353-522AA)
-
免疫原種屬:Homo sapiens (Human)
-
標記方式:Non-conjugated
-
克隆類型:Polyclonal
-
抗體亞型:IgG
-
純化方式:Antigen Affinity Purified
-
濃度:It differs from different batches. Please contact us to confirm it.
-
保存緩沖液:PBS with 0.02% sodium azide, 50% glycerol, pH7.3.
-
產品提供形式:Liquid
-
應用范圍:ELISA, WB, IHC
-
推薦稀釋比:
Application Recommended Dilution WB 1:1000-1:5000 IHC 1:20-1:200 -
Protocols:
-
儲存條件:Upon receipt, store at -20°C or -80°C. Avoid repeated freeze.
-
貨期:Basically, we can dispatch the products out in 1-3 working days after receiving your orders. Delivery time maybe differs from different purchasing way or location, please kindly consult your local distributors for specific delivery time.
-
用途:For Research Use Only. Not for use in diagnostic or therapeutic procedures.
相關產品
靶點詳情
-
功能:Substrate recognition component of a SCF (SKP1-CUL1-F-box protein) E3 ubiquitin-protein ligase complex which mediates the ubiquitination and subsequent proteasomal degradation of target proteins. Recognizes BIRC2 and DLGAP5. Plays a role downstream of PINK1 in the clearance of damaged mitochondria via selective autophagy (mitophagy) by targeting PRKN to dysfunctional depolarized mitochondria. Promotes MFN1 ubiquitination.
-
基因功能參考文獻:
- Fbxo7 deficiency is associated with reduced cellular NAD(+) levels, which results in increased mitochondrial NADH redox index and impaired activity of complex I in the electron transport chain. PMID: 27689878
- Structure and function of Fbxo7 in Parkinson's disease has been summarized. (Review) PMID: 26965690
- Gsk3beta and Tomm20 are substrates of the SCFFbxo7/PARK15 ubiquitin ligase associated with Parkinson's disease PMID: 27503909
- Mutations in the F-box only protein 7 (FBXO7) gene, located on chromosome 22q12-q13, have been identified as having distinct clinical features in patients with hereditary Parkinson's disease (PD). PMID: 26882974
- The mutations of F-box protein 7 (FBXO7) gene (T22M, R378G and R498X) are associated with autosomal recessive juvenile-onset Parkinson's disease We demonstrated wild-type FBXO7 is a stress response protein with both cytoprotective and neurotoxic roles PMID: 26310625
- This is first time a FBXO7 mutation has been identified that causes phenotype compatible with typical idiopathic Parkinson's disease and presents with some of its common nonmotor features PMID: 26010069
- High expression of PARK15 might lead to the occurrence of non-small-cell lung cancer. PMID: 26245297
- genetic analysis of this Turkish family and the Italian PARK15 family reported previously revealed that the c.1492C > T mutation is present on two different haplotypes in the Italian family PMID: 25085748
- in addition to the parkinsonian-pyramidal phenotype, in connection with FBXO7 mutations and points to an intrafamilial phenotypic variation PMID: 25169713
- Cys52 variant of FBXO7 may contribute to reduced Parkinson's disease susceptibility in Chinese PMID: 25029497
- The involvement of the FBXO7 gene in PD is very rare, at least in this population from southern Spain. PMID: 24112787
- The crystal structure of the Fbxo7 FP domain is reported at 2.0 A resolution. The Fbxo7 FP domain adopts an alpha/beta-fold similar to that of the PI31 FP domain. PMID: 24419388
- A mutational analysis of the FBXO7 gene in Taiwanese patients with Parkinson's disease (PD) does not show a potential pathophysiological role in PD. PMID: 23352116
- This study showed that Fbxo7 participates in mitochondrial maintenance through direct interaction with PINK1 and Parkin and acts in Parkin-mediated mitophagy. PMID: 23933751
- An important role is suggested for FBXO7 in the pathogenesis of synucleinopathies, including Parkinson's disease and multiple system atrophy. PMID: 23656991
- Mutations in FBX07 is often associated with rapidly progressive parkinsonism and with additional features including pyramidal signs, cognitive decline and loss of sustained Levodopa responsiveness. PMID: 23196729
- analysis of the zebrafish model of Fbxo7 mutations with a role in levodopa-responsive parkinsonism with severe loss of nigrostriatal dopaminergic neurons PMID: 23133663
- [review] PARK15-associated parkinsonism, also referred to as parkinsonian-pyramidal disease (PPD), is caused by mutations in the F-box only protein 7 gene FBXO7. PMID: 23318512
- FBXO7 is a negative regulator of NF-KB signalling, modulating ubiquitination of several components of the TNF-R1 signalling complex and ultimately lowering NF-KB signalling activity. PMID: 22212761
- activity of FBXO7 in the nucleus appears therefore crucial for the maintenance of brain neurons and the pathogenesis of PARK15 PMID: 21347293
- Fbxo7 negatively regulates the proliferation and differentiation of haematopoietic progenitor cells in a p53-dependent manner PMID: 21695055
- Skp1 binding prevented Fbxo7 from contacting CRM1. PMID: 21378169
- We identified genetic deficits in FBXO7 that were associated with Levodopa responsive parkinsonism with pyramidal signs. PMID: 20669327
- FBXO7 mutations may be rare in Chinese early-onset Parkinsonism patients. PMID: 20603184
- Fbx7 functions in the SCF complex regulating Cdk1-cyclin B-phosphorylated hepatoma up-regulated protein (HURP) proteolysis by a proline-rich region PMID: 15145941
- a model for FP domain-mediated dimerization of SCF(Fbxo7) and PI31 PMID: 18495667
- Recessive FBXO7 mutations cause progressive neurodegeneration with extrapyramidal and pyramidal system involvement, delineating a novel genetically defined entity that we propose to designate as PARK15. PMID: 19038853
顯示更多
收起更多
-
相關疾病:Parkinson disease 15 (PARK15)
-
亞細胞定位:Cytoplasm. Nucleus. Mitochondrion. Cytoplasm, cytosol.
-
數據庫鏈接:
Most popular with customers
-
YWHAB Recombinant Monoclonal Antibody
Applications: ELISA, WB, IHC, IF, FC
Species Reactivity: Human, Mouse, Rat
-
Phospho-YAP1 (S127) Recombinant Monoclonal Antibody
Applications: ELISA, WB, IHC
Species Reactivity: Human
-
-
-
-
-
-
VDAC1 Recombinant Monoclonal Antibody
Applications: ELISA, WB, IHC
Species Reactivity: Human, Mouse, Rat















