FBXO10 Antibody
-
中文名稱:FBXO10兔多克隆抗體
-
貨號:CSB-PA890915LA01HU
-
規格:¥440
-
圖片:
-
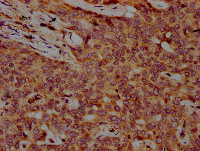
IHC image of CSB-PA890915LA01HU diluted at 1:500 and staining in paraffin-embedded human liver cancer performed on a Leica BondTM system. After dewaxing and hydration, antigen retrieval was mediated by high pressure in a citrate buffer (pH 6.0). Section was blocked with 10% normal goat serum 30min at RT. Then primary antibody (1% BSA) was incubated at 4°C overnight. The primary is detected by a biotinylated secondary antibody and visualized using an HRP conjugated SP system.
-
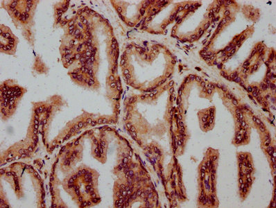
IHC image of CSB-PA890915LA01HU diluted at 1:500 and staining in paraffin-embedded human prostate tissue performed on a Leica BondTM system. After dewaxing and hydration, antigen retrieval was mediated by high pressure in a citrate buffer (pH 6.0). Section was blocked with 10% normal goat serum 30min at RT. Then primary antibody (1% BSA) was incubated at 4°C overnight. The primary is detected by a biotinylated secondary antibody and visualized using an HRP conjugated SP system.
-
Immunofluorescence staining of HepG2 cells with CSB-PA890915LA01HU at 1:166, counter-stained with DAPI. The cells were fixed in 4% formaldehyde, permeabilized using 0.2% Triton X-100 and blocked in 10% normal Goat Serum. The cells were then incubated with the antibody overnight at 4°C. The secondary antibody was Alexa Fluor 488-congugated AffiniPure Goat Anti-Rabbit IgG(H+L).
-
Western Blot
Positive WB detected in: SH-SY5Y whole cell lysate, Rat brain tissue
All lanes: FBXO10 antibody at 4.8μg/ml
Secondary
Goat polyclonal to rabbit IgG at 1/50000 dilution
Predicted band size: 106, 53 kDa
Observed band size: 106 kDa
-
-
其他:
產品詳情
-
產品名稱:Rabbit anti-Homo sapiens (Human) FBXO10 Polyclonal antibody
-
Uniprot No.:
-
基因名:FBXO10
-
別名:F box protein 10 antibody; F-box only protein 10 antibody; FBX10 antibody; FBX10_HUMAN antibody; Fbxo10 antibody; hCG_2011110 antibody; PRMT11 antibody
-
宿主:Rabbit
-
反應種屬:Human
-
免疫原:Recombinant Human F-box only protein 10 protein (248-400AA)
-
免疫原種屬:Homo sapiens (Human)
-
標記方式:Non-conjugated
本頁面中的產品,FBXO10 Antibody (CSB-PA890915LA01HU),的標記方式是Non-conjugated。對于FBXO10 Antibody,我們還提供其他標記。見下表:
-
克隆類型:Polyclonal
-
抗體亞型:IgG
-
純化方式:>95%, Protein G purified
-
濃度:It differs from different batches. Please contact us to confirm it.
-
保存緩沖液:Preservative: 0.03% Proclin 300
Constituents: 50% Glycerol, 0.01M PBS, pH 7.4 -
產品提供形式:Liquid
-
應用范圍:ELISA, WB, IHC, IF
-
推薦稀釋比:
Application Recommended Dilution WB 1:500-1:5000 IHC 1:500-1:1000 IF 1:50-1:200 -
Protocols:
-
儲存條件:Upon receipt, store at -20°C or -80°C. Avoid repeated freeze.
-
貨期:Basically, we can dispatch the products out in 1-3 working days after receiving your orders. Delivery time maybe differs from different purchasing way or location, please kindly consult your local distributors for specific delivery time.
-
用途:For Research Use Only. Not for use in diagnostic or therapeutic procedures.
相關產品
靶點詳情
-
功能:Substrate-recognition component of the SCF (SKP1-CUL1-F-box protein)-type E3 ubiquitin ligase complex. The SCF(FBXO10) complex mediates ubiquitination and degradation of BCL2, an antiapoptotic protein, thereby playing a role in apoptosis by controlling the stability of BCL2.
-
基因功能參考文獻:
- siRNA-mediated knockdown of FBXO11 facilitated HIF-1alpha expression in various cancer cells and HIF-1alpha-driven gene expressions, but the FBXO10 knockdown did not. PMID: 26187670
- Higher Fbxo10 expression in T cells is associated with Mcs5a increased susceptibility alleles PMID: 23138933
- FBXO10, a protein related to DRE-1, binds BCL2 and promotes its degradation, thereby initiating cell death. Moreover, some diffuse large B-cell lymphomas have inactivating mutations in FBXO10 or express FBXO10 at low levels. PMID: 23431138
-
相關疾病:Defects in FBXO10 may be a cause of diffuse large B-cell lymphoma by allowing the accumulation of BCL2, an oncoprotein that has a critical role in lymphomas.
-
亞細胞定位:Cytoplasm.
-
數據庫鏈接:
Most popular with customers
-
-
YWHAB Recombinant Monoclonal Antibody
Applications: ELISA, WB, IHC, IF, FC
Species Reactivity: Human, Mouse, Rat
-
Phospho-YAP1 (S127) Recombinant Monoclonal Antibody
Applications: ELISA, WB, IHC
Species Reactivity: Human
-
-
-
-
-















