FBXL5 Antibody
-
中文名稱:FBXL5兔多克隆抗體
-
貨號:CSB-PA892451ESR2HU
-
規格:¥440
-
圖片:
-
Western blot
All lanes: FBXL5 antibody at 1.51 μg/ml
Lane 1: Mouse lung tissue
Lane 2: Mouse gonadal tissue
Secondary
Goat polyclonal to rabbit IgG at 1/10000 dilution
Predicted band size: 79, 77 kDa
Observed band size: 79, 95 kDa -
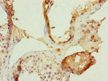
Immunohistochemistry of paraffin-embedded human testis tissue using CSB-PA892451ESR2HU at dilution of 1:100
-
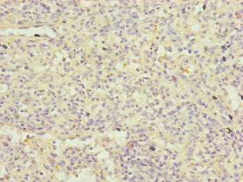
Immunohistochemistry of paraffin-embedded human spleen tissue using CSB-PA892451ESR2HU at dilution of 1:100
-
-
其他:
產品詳情
-
產品名稱:Rabbit anti-Homo sapiens (Human) FBXL5 Polyclonal antibody
-
Uniprot No.:
-
基因名:FBXL5
-
別名:F box and leucine rich repeat protein 5 antibody; F box protein FBL5 antibody; F box/LRR repeat protein 5 antibody; F-box and leucine-rich repeat protein 5 antibody; F-box protein FBL4/FBL5 antibody; F-box/LRR-repeat protein 5 antibody; FBL4 antibody; FBL5 antibody; FBXL5 antibody; FBXL5_HUMAN antibody; FLR1 antibody; p45SKP2 like protein antibody; p45SKP2-like protein antibody
-
宿主:Rabbit
-
反應種屬:Human, Mouse
-
免疫原:Recombinant Human F-box/LRR-repeat protein 5 protein (1-310AA)
-
免疫原種屬:Homo sapiens (Human)
-
標記方式:Non-conjugated
-
克隆類型:Polyclonal
-
抗體亞型:IgG
-
純化方式:Antigen Affinity Purified
-
濃度:It differs from different batches. Please contact us to confirm it.
-
保存緩沖液:PBS with 0.02% sodium azide, 50% glycerol, pH7.3.
-
產品提供形式:Liquid
-
應用范圍:ELISA, WB, IHC
-
推薦稀釋比:
Application Recommended Dilution WB 1:1000-1:5000 IHC 1:20-1:200 -
Protocols:
-
儲存條件:Upon receipt, store at -20°C or -80°C. Avoid repeated freeze.
-
貨期:Basically, we can dispatch the products out in 1-3 working days after receiving your orders. Delivery time maybe differs from different purchasing way or location, please kindly consult your local distributors for specific delivery time.
-
用途:For Research Use Only. Not for use in diagnostic or therapeutic procedures.
相關產品
靶點詳情
-
功能:Component of some SCF (SKP1-cullin-F-box) protein ligase complex that plays a central role in iron homeostasis by promoting the ubiquitination and subsequent degradation of IREB2/IRP2. Upon high iron and oxygen level, it specifically recognizes and binds IREB2/IRP2, promoting its ubiquitination and degradation by the proteasome. Promotes ubiquitination and subsequent degradation of DCTN1/p150-glued.
-
基因功能參考文獻:
- Transcriptomic analysis shows downregulation of FBXL5 expression in HSCs of patients with myelodysplastic syndrome. PMID: 28714470
- regulatory circuit involving FBXL5 and CIA acts through both IRPs to control iron metabolism and promote optimal cell growth PMID: 28768766
- analysis of the redox sensing mechanism by which FBXL5 can serve as an iron metabolism regulator within mammalian cells PMID: 28131773
- FBXL5 regulates cortactin through induction of its ubiquitylation, and FBXL5 similarly regulates Snail1. PMID: 25832584
- FBXL5-mediated degradation of CITED2 leads to the activation of HIF-1alpha. PMID: 25956243
- results thus suggest that HERC2 regulates the basal turnover of FBXL5, and that this ubiquitin-dependent degradation pathway contributes to the control of mammalian iron metabolism PMID: 24778179
- F-box and leucine-rich repeat protein 5 (FBXL5) is required for maintenance of cellular and systemic iron homeostasis PMID: 23135277
- Data indicate that F-box and leucine-rich repeat protein 5 (FBXL5)-Hr (hemerythrin-like domain) undergoes substantive structural changes when iron becomes limiting, accounting for its switch-like behavior. PMID: 22648410
- Detailed molecular and structural characterization of the ligand-responsive hemerythrin domain provides insights into the mechanisms by which FBXL5 serves as a unique mammalian metabolic sensor. PMID: 22253436
- iron homeostasis is regulated by a proteolytic pathway that couples IRP2 degradation to intracellular iron levels through the stability and activity of FBXL5 PMID: 19762596
- observations suggest a mechanistic link between iron sensing via the FBXL5 hemerythrin domain, IRP2 regulation, and cellular responses to maintain mammalian iron homeostasis PMID: 19762597
- Our findings provide a potential mechanism by which p150(Glued) protein function is regulated by SCFs. PMID: 17532294
顯示更多
收起更多
-
亞細胞定位:Cytoplasm, perinuclear region.
-
數據庫鏈接:
Most popular with customers
-
-
YWHAB Recombinant Monoclonal Antibody
Applications: ELISA, WB, IHC, IF, FC
Species Reactivity: Human, Mouse, Rat
-
Phospho-YAP1 (S127) Recombinant Monoclonal Antibody
Applications: ELISA, WB, IHC
Species Reactivity: Human
-
-
-
-
-















