FBXL21 Antibody
-
中文名稱:FBXL21兔多克隆抗體
-
貨號:CSB-PA891953LA01HU
-
規格:¥440
-
圖片:
-
Western blot
All lanes: FBL21 antibody at 10 μg/ml
Lane 1: Mouse heart tissue
Lane 2: Mouse skeletal muscle tissue
Secondary
Goat polyclonal to rabbit IgG at 1/10000 dilution
Predicted band size: 49 kDa
Observed band size: 49 kDa -
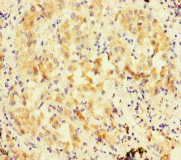
Immunohistochemistry of paraffin-embedded human lung cancer using CSB-PA891953LA01HU at dilution of 1:100
-
Immunofluorescent analysis of HepG2 cells using CSB-PA891953LA01HU at dilution of 1:100 and Alexa Fluor 488-congugated AffiniPure Goat Anti-Rabbit IgG(H+L)
-
-
其他:
產品詳情
-
產品名稱:Rabbit anti-Homo sapiens (Human) FBXL21 Polyclonal antibody
-
Uniprot No.:
-
基因名:FBXL21
-
別名:F box and leucine rich repeat protein 21 antibody; F box and leucine rich repeat protein 3 pseudogene antibody; F box and leucine rich repeat protein 3B antibody; F box protein Fbl3b antibody; F box/LRR repeat protein 21 antibody; F box/LRR repeat protein 3B antibody; F-box and leucine-rich repeat protein 21 antibody; F-box and leucine-rich repeat protein 3B antibody; F-box/LRR-repeat protein 21 antibody; F-box/LRR-repeat protein 3B antibody; Fbl 21 antibody; FBL 3 antibody; FBL 3B antibody; Fbl21 antibody; FBL3 antibody; FBL3B antibody; FBXL 21 antibody; FBXL 3B antibody; FBXL 3P antibody; Fbxl21 antibody; FBXL3B antibody; FBXL3P antibody; FXL21_HUMAN antibody; MGC120237 antibody
-
宿主:Rabbit
-
反應種屬:Human, Mouse
-
免疫原:Recombinant Human F-box/LRR-repeat protein 21 protein (78-137AA)
-
免疫原種屬:Homo sapiens (Human)
-
標記方式:Non-conjugated
本頁面中的產品,FBXL21 Antibody (CSB-PA891953LA01HU),的標記方式是Non-conjugated。對于FBXL21 Antibody,我們還提供其他標記。見下表:
-
克隆類型:Polyclonal
-
抗體亞型:IgG
-
純化方式:>95%, Protein G purified
-
濃度:It differs from different batches. Please contact us to confirm it.
-
保存緩沖液:Preservative: 0.03% Proclin 300
Constituents: 50% Glycerol, 0.01M PBS, PH 7.4 -
產品提供形式:Liquid
-
應用范圍:ELISA, WB, IHC, IF
-
推薦稀釋比:
Application Recommended Dilution WB 1:1000-1:5000 IHC 1:20-1:200 IF 1:50-1:200 -
Protocols:
-
儲存條件:Upon receipt, store at -20°C or -80°C. Avoid repeated freeze.
-
貨期:Basically, we can dispatch the products out in 1-3 working days after receiving your orders. Delivery time maybe differs from different purchasing way or location, please kindly consult your local distributors for specific delivery time.
-
用途:For Research Use Only. Not for use in diagnostic or therapeutic procedures.
相關產品
靶點詳情
-
功能:Substrate-recognition component of the SCF(FBXL21) E3 ubiquitin ligase complex involved in circadian rhythm function. Plays a key role in the maintenance of both the speed and the robustness of the circadian clock oscillation. The SCF(FBXL21) complex mainly acts in the cytosol and mediates ubiquitination of CRY proteins (CRY1 and CRY2), leading to CRY proteins stabilization. The SCF(FBXL21) complex counteracts the activity of the SCF(FBXL3) complex and protects CRY proteins from degradation. Involved in the hypothalamic suprachiasmatic nucleus (SCN) clock regulating temporal organization of the daily activities.
-
亞細胞定位:Cytoplasm, cytosol. Nucleus.
-
數據庫鏈接:
Most popular with customers
-
-
YWHAB Recombinant Monoclonal Antibody
Applications: ELISA, WB, IHC, IF, FC
Species Reactivity: Human, Mouse, Rat
-
Phospho-YAP1 (S127) Recombinant Monoclonal Antibody
Applications: ELISA, WB, IHC
Species Reactivity: Human
-
-
-
-
-















