FBP2 Antibody
-
中文名稱:FBP2兔多克隆抗體
-
貨號:CSB-PA089265
-
規格:¥1100
-
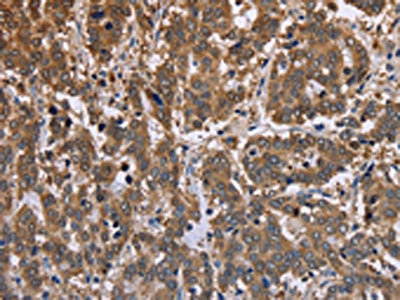
圖片:
-
The image on the left is immunohistochemistry of paraffin-embedded Human liver cancer tissue using CSB-PA089265(FBP2 Antibody) at dilution 1/40, on the right is treated with fusion protein. (Original magnification: ×200)
-
The image on the left is immunohistochemistry of paraffin-embedded Human brain tissue using CSB-PA089265(FBP2 Antibody) at dilution 1/40, on the right is treated with fusion protein. (Original magnification: ×200)
-
-
其他:
產品詳情
-
Uniprot No.:
-
基因名:
-
別名:6-bisphosphatase isozyme 2 antibody; 6-bisphosphate 1-phosphohydrolase 2 antibody; D fructose 1 6 bisphosphate 1 phosphohydrolase 2 antibody; D-fructose-1 antibody; F16P2_HUMAN antibody; FBP 2 antibody; fbp2 antibody; FBPase 2 antibody; FBPase antibody; fructose 1 6 bisphosphatase 2 antibody; Fructose 1 6 bisphosphatase isozyme 2 antibody; Fructose-1 antibody; Hexosediphosphatase antibody; MGC142192 antibody; Muscle FBPase antibody; Muscle fructose bisphosphatase antibody
-
宿主:Rabbit
-
反應種屬:Human,Mouse,Rat
-
免疫原:Fusion protein of Human FBP2
-
免疫原種屬:Homo sapiens (Human)
-
標記方式:Non-conjugated
-
抗體亞型:IgG
-
純化方式:Antigen affinity purification
-
濃度:It differs from different batches. Please contact us to confirm it.
-
保存緩沖液:-20°C, pH7.4 PBS, 0.05% NaN3, 40% Glycerol
-
產品提供形式:Liquid
-
應用范圍:ELISA,IHC
-
推薦稀釋比:
Application Recommended Dilution ELISA 1:2000-1:5000 IHC 1:50-1:200 -
Protocols:
-
儲存條件:Upon receipt, store at -20°C or -80°C. Avoid repeated freeze.
-
貨期:Basically, we can dispatch the products out in 1-3 working days after receiving your orders. Delivery time maybe differs from different purchasing way or location, please kindly consult your local distributors for specific delivery time.
-
用途:For Research Use Only. Not for use in diagnostic or therapeutic procedures.
相關產品
靶點詳情
-
功能:Catalyzes the hydrolysis of fructose 1,6-bisphosphate to fructose 6-phosphate in the presence of divalent cations and probably participates in glycogen synthesis from carbohydrate precursors, such as lactate.
-
基因功能參考文獻:
- Results demonstrate that truncation of the evolutionarily conserved N-terminal residues of FBP2 results in a loss of its mitochondria-protective functions. PMID: 24412565
- FBP2 does negatively regulate cell growth, and reduced expression of FBP2 may contribute to carcinogenesis for gastric cancer. PMID: 24063558
- The key role in strong AMP binding to muscle isozyme play K20, T177 and Q179. PMID: 16213487
- The existence of highly AMP-sensitive muscle-like FBPase, activity of which is regulated by metabolite-dependent interaction with aldolase enables the precise regulation of muscle energy expenditures. PMID: 18214967
-
亞細胞定位:Cell junction. Cytoplasm. Nucleus. Cytoplasm, myofibril, sarcomere, Z line.
-
蛋白家族:FBPase class 1 family
-
組織特異性:Expressed in skeletal muscle (at protein level).
-
數據庫鏈接:
Most popular with customers
-
-
YWHAB Recombinant Monoclonal Antibody
Applications: ELISA, WB, IHC, IF, FC
Species Reactivity: Human, Mouse, Rat
-
Phospho-YAP1 (S127) Recombinant Monoclonal Antibody
Applications: ELISA, WB, IHC
Species Reactivity: Human
-
-
-
-
-















