FBP1 Antibody
-
中文名稱:FBP1兔多克隆抗體
-
貨號:CSB-PA056820
-
規格:¥1100
-
圖片:
-
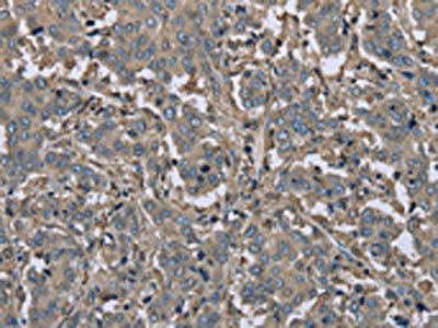
The image on the left is immunohistochemistry of paraffin-embedded Human liver cancer tissue using CSB-PA056820(FBP1 Antibody) at dilution 1/30, on the right is treated with fusion protein. (Original magnification: ×200)
-
The image on the left is immunohistochemistry of paraffin-embedded Human prostate cancer tissue using CSB-PA056820(FBP1 Antibody) at dilution 1/30, on the right is treated with fusion protein. (Original magnification: ×200)
-
Gel: 8%SDS-PAGE, Lysate: 40 μg, Lane 1-4: Mouse stomach tissue, human fetal liver tissue, MCF7 cells, mouse liver tissue tissue, Primary antibody: CSB-PA056820(FBP1 Antibody) at dilution 1/550, Secondary antibody: Goat anti rabbit IgG at 1/8000 dilution, Exposure time: 10 seconds
-
-
其他:
產品詳情
-
Uniprot No.:
-
基因名:
-
別名:6-bisphosphatase 1 antibody; 6-bisphosphate 1-phosphohydrolase 1 antibody; D fructose 1 6 bisphosphate 1 phosphohydrolase 1 antibody; D-fructose-1 antibody; EC 3.1.3.11 antibody; F16P1_HUMAN antibody; FBP antibody; FBP 1 antibody; FBP1 antibody; FBPase 1 antibody; Fructose 1 6 bisphosphatase 1 antibody; Fructose bisphosphatase 1 antibody; Fructose-1 antibody; Growth inhibiting protein 17 antibody; Liver fructose bisphosphatase antibody
-
宿主:Rabbit
-
反應種屬:Human,Mouse
-
免疫原:Fusion protein of Human FBP1
-
免疫原種屬:Homo sapiens (Human)
-
標記方式:Non-conjugated
-
抗體亞型:IgG
-
純化方式:Antigen affinity purification
-
濃度:It differs from different batches. Please contact us to confirm it.
-
保存緩沖液:-20°C, pH7.4 PBS, 0.05% NaN3, 40% Glycerol
-
產品提供形式:Liquid
-
應用范圍:ELISA,WB,IHC
-
推薦稀釋比:
Application Recommended Dilution ELISA 1:2000-1:5000 WB 1:500-1:2000 IHC 1:50-1:200 -
Protocols:
-
儲存條件:Upon receipt, store at -20°C or -80°C. Avoid repeated freeze.
-
貨期:Basically, we can dispatch the products out in 1-3 working days after receiving your orders. Delivery time maybe differs from different purchasing way or location, please kindly consult your local distributors for specific delivery time.
-
用途:For Research Use Only. Not for use in diagnostic or therapeutic procedures.
相關產品
靶點詳情
-
功能:Catalyzes the hydrolysis of fructose 1,6-bisphosphate to fructose 6-phosphate in the presence of divalent cations, acting as a rate-limiting enzyme in gluconeogenesis. Plays a role in regulating glucose sensing and insulin secretion of pancreatic beta-cells. Appears to modulate glycerol gluconeogenesis in liver. Important regulator of appetite and adiposity; increased expression of the protein in liver after nutrient excess increases circulating satiety hormones and reduces appetite-stimulating neuropeptides and thus seems to provide a feedback mechanism to limit weight gain.
-
基因功能參考文獻:
- FBP1 modulates the sensitivity of pancreatic cancer cells to BET inhibitors by decreasing the expression of c-Myc. These findings highlight FBP1 could be used as a therapeutic niche for patient-tailored therapies PMID: 30201002
- Low FBP1 expression is associated with metastasis in cholangiocarcinoma. PMID: 30193944
- CBX3 serves as a positive regulator of aerobic glycolysis via suppressing of the FBP1 in pancreatic cancer cells. PMID: 29678579
- Homozygous Alu element insertion in the FBP1 gene is associated with Fructose-1,6-bisphosphatase deficiency. PMID: 28599390
- decreased levels of FBP1 may be used as a predictor for poor prognosis of cervical cancer patients PMID: 28990097
- Study identified for the first time that HNF4alpha and C/EBPalpha are important transcriptional regulators for FBP1 expression in human hepatoma HepG2 cells. PMID: 29566023
- FBP1 mutation was associated with fructose-1,6-bisphosphatase deficiency PMID: 29016355
- Results identified FBP1 as a promising acute liver failure (ALF) biomarker among energy metabolism-related proteins. It may serve as a short-term prognosis indicator for ALF, with higher serum level of FBP1 correlated with higher ALF-related mortality in human studies. PMID: 28336726
- Here, the first crystal structure of human liver FBPase in the R-state conformation is presented, determined at a resolution of 2.2 A in a tetragonal setting that exhibits an unusual arrangement of noncrystallographic symmetry (NCS) elements. PMID: 27841754
- Studied association of fructose 1,6-bisphosphatase 1 (FBP1) expression with fluorine 18 ((18)F) fluorodeoxyglucose (FDG) accumulation in patients with hepatocellular carcinoma. Found that in patients with HCC, both 18F FDG accumulation and tumor grade (from differentiated to undifferentiated) were inversely correlated with the expression of FBP1. PMID: 28387640
- These findings indicate that FBP1 appears to be a tumor suppressor in hepatocellular carcinoma (HCC). Strategies to restore the levels and activities of FBP1 might be developed to treat patients with HCC. PMID: 27742690
- FBP1 underexpression is associated with Tumor Progression in Hepatocellular Carcinoma. PMID: 27197151
- fructose-1,6-bisphosphatase 1 facilitated co-action between Bcl-2 and Beclin 1, which may be important in the mechanism of fructose-1,6-bisphosphatase 1-mediated mitophagy inhibition. In summary, loss of mitophagy by fructose-1,6-bisphosphatase 1-mediated repression promotes apoptosis in breast cancer PMID: 28653874
- Downregulation of FBP1 promotes gastric cancer metastasis by facilitating EMT and acts as a potential prognostic factor and therapeutic target in gastric cancer. PMID: 27978536
- we show that EV71 viral proteinase 2A is capable of cleaving far upstream element-binding protein 1 (FBP1), a positive internal ribosome entry sitet rans-acting factor that directly binds to the EV71 5' UTR linker region to promote viral IRES-driven translation PMID: 27780225
- Cox multivariate regression analysis demonstrated that DUOX1, GLS2, FBP1 and age were independent risk factors for the prognosis of HCC patients after surgery PMID: 27079415
- Elevated FBP1 is a critical modulator in breast cancer progression by altering glucose metabolism and the activity of Wnt/beta-catenin pathway. PMID: 27780144
- identified Zinc finger E-box-binding homeobox 1 (ZEB1) bond to FBP1 promoter to enhance DNA methylation in lung cancer cells. Our findings indicate that the down-regulation of FBP1 is a critical oncogenic event in lung cancer progression PMID: 26546081
- Twelve different mutations were identified in 22 alleles: one missense mutation c.472C > T, one point deletion c.48del, one point duplication c.865dupA, one deletion-insertion, and two splice mutations (c.427-1del and c.825 + 1G > A). PMID: 25601412
- FBP1 expression, which is closely correlated with c-Myc expression, is an independent prognostic factor and promotes nasopharyngeal carcinoma progression. PMID: 26469968
- NPM1 promotes aerobic glycolysis and tumor progression in patients with pancreatic cancer by inhibiting FBP1 PMID: 26068981
- There was a negative correlation with the level of FBP1 and recurrence of the lung cancer PMID: 25844935
- the gluconeogenic enzyme fructose-1,6-bisphosphatase 1 (FBP1) is uniformly depleted in over six hundred clear cell renal cell carcinoma tumours examined. PMID: 25043030
- Ca(2+) affects conformation of the catalytic loop 52-72 of muscle FBPase and inhibits its activity by competing with activatory divalent cations, e.g. Mg(2+) and Zn(2+). PMID: 24146906
- Case Reports: present reliable diagnostic system to verify an FBPase deficiency and find the genetic aberration. PMID: 20151204
- A novel missense mutation (c.841G>A) in the FBP1 gene seems to be prevalent in Pakistani-Indian patients with fructose-1,6-bisphosphatase deficiency. PMID: 23881342
- A homozygous c.658delT mutation was detected at exon 5 of the FBP1 gene in the two siblings with FBPase deficiency. PMID: 24007283
- LSD1 regulates transcription activation of two gluconeogenic genes, FBP1 and G6Pase. PMID: 23755305
- study indicates that the loss of FBP1 is a critical oncogenic event in epithelial-mesenchymal transition and basal-like breast cancer PMID: 23453623
- The Identification of FBPase interacting partners with mass spectrometry reveals a set of nuclear proteins involved in cell cycle regulation, mRNA processing and in stabilization of genomic DNA structure. PMID: 22057438
- This is the first study to identify liver FBPase as a previously unknown regulator of appetite and adiposity and describes a novel process by which the liver participates in body weight regulation. PMID: 22517657
- AMP binding pattern of the muscle isozyme of fructose-1,6-bisphosphatase is quite similar to that of the liver isozyme and the T conformations of the two isozymes are nearly the same PMID: 22120740
- epigenetic inactivation of FBP1 is also common in human liver and colon cancer. FBP1 appears to be a functional tumor suppressor involved in the liver and colon carcinogenesis PMID: 22039417
- Novel compound heterozygous mutations in the fructose-1,6-bisphosphatase gene cause hypoglycemia and lactic acidosis. PMID: 20096900
- first report on mutations in patients with FBP deficiency of Arab ethnicity,two novel mutations in the FBP1 gene encode for a duplication of two amino acids and a truncation in the FBP1 protein in these families. PMID: 19259699
- Data show that NF-kappaB functions downstream of Ras to promote epigenetic downregulation of FBP1. PMID: 19881551
- Data show that EDTA and mercaptoethanol stabilized FBP-1 activity in stored urine. PMID: 19505453
- liver fructose-1,6-bisphosphatase coupled with phosphofructokinase (PFK) plays a crucial role in the metabolism of pancreatic islet cells PMID: 15965961
- Upregulation of FBPase in pancreatic islet beta-cells in states of lipid oversupply and type 2 diabetes, contributes to insulin secretory dysfunction. PMID: 18375435
- Human FBP1 was found to regulate mouse endogenous glucose production and whole body glucose homeostasis in a liver-specific transgenic model. PMID: 18780768
- this is the first experimental evidence confirming that the KKKGK motif can act as a functional NLS fructose 1,6-bisphosphatase . PMID: 19626708
顯示更多
收起更多
-
相關疾病:Fructose-1,6-bisphosphatase deficiency (FBP1D)
-
蛋白家族:FBPase class 1 family
-
組織特異性:Expressed in pancreatic islets.
-
數據庫鏈接:
Most popular with customers
-
YWHAB Recombinant Monoclonal Antibody
Applications: ELISA, WB, IHC, IF, FC
Species Reactivity: Human, Mouse, Rat
-
Phospho-YAP1 (S127) Recombinant Monoclonal Antibody
Applications: ELISA, WB, IHC
Species Reactivity: Human
-
-
-
-
-
-















