FASTK Antibody
-
中文名稱:FASTK兔多克隆抗體
-
貨號:CSB-PA008436ESR1HU
-
規格:¥440
-
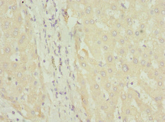
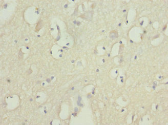
圖片:
-
其他:
產品詳情
-
產品名稱:Rabbit anti-Homo sapiens (Human) FASTK Polyclonal antibody
-
Uniprot No.:
-
基因名:FASTK
-
別名:Fas activated serine threonine kinase antibody; Fas-activated serine/threonine kinase antibody; FAST antibody; FAST kinase antibody; FASTK antibody; FASTK_HUMAN antibody; FLJ13079 antibody
-
宿主:Rabbit
-
反應種屬:Human
-
免疫原:Recombinant Human Fas-activated serine/threonine kinase protein (360-549AA)
-
免疫原種屬:Homo sapiens (Human)
-
標記方式:Non-conjugated
-
克隆類型:Polyclonal
-
抗體亞型:IgG
-
純化方式:Antigen Affinity Purified
-
濃度:It differs from different batches. Please contact us to confirm it.
-
保存緩沖液:PBS with 0.02% sodium azide, 50% glycerol, pH7.3.
-
產品提供形式:Liquid
-
應用范圍:ELISA, IHC
-
推薦稀釋比:
Application Recommended Dilution IHC 1:20-1:200 -
Protocols:
-
儲存條件:Upon receipt, store at -20°C or -80°C. Avoid repeated freeze.
-
貨期:Basically, we can dispatch the products out in 1-3 working days after receiving your orders. Delivery time maybe differs from different purchasing way or location, please kindly consult your local distributors for specific delivery time.
-
用途:For Research Use Only. Not for use in diagnostic or therapeutic procedures.
相關產品
靶點詳情
-
功能:Phosphorylates the splicing regulator TIA1, thereby promoting the inclusion of FAS exon 6, which leads to an mRNA encoding a pro-apoptotic form of the receptor.; Required for the biogenesis of some mitochondrial-encoded mRNAs, specifically stabilizes ND6 (NADH dehydrogenase complex subunit 6) mRNA, and regulates its levels.
-
基因功能參考文獻:
- FASTK binds at multiple sites along the ND6 mRNA and its precursors and cooperates with the mitochondrial degradosome to ensure regulated ND6 mRNA biogenesis. PMID: 25704814
- MIR-106a-5p functions as a tumor suppressor during the development of astrocytomas by targeting FASTK. PMID: 24013584
- FAST expression on lung cells of hematopoietic origin is crucial in mediating lipopolysaccharide-induced neutrophil migration to the lung in transgenic FAST-deficient mice compared with wild type controls. PMID: 20363972
- FAST is a survival protein that senses mitochondrial stress and modulates TIA-1 regulated changes in protein expression. PMID: 15572676
- FAST K synergizes with TIA-1/TIAR proteins to regulate Fas alternative splicing PMID: 17135269
- Nuclear FAST can regulate the splicing of FGFR2 transcripts. PMID: 17592127
顯示更多
收起更多
-
亞細胞定位:[Isoform 4]: Mitochondrion matrix.
-
蛋白家族:FAST protein kinase family
-
組織特異性:Expressed in heart, brain, placenta, lung, liver, skeletal muscle, kidney and pancreas.
-
數據庫鏈接:
Most popular with customers
-
-
YWHAB Recombinant Monoclonal Antibody
Applications: ELISA, WB, IHC, IF, FC
Species Reactivity: Human, Mouse, Rat
-
Phospho-YAP1 (S127) Recombinant Monoclonal Antibody
Applications: ELISA, WB, IHC
Species Reactivity: Human
-
-
-
-
-















