FANCG Antibody
-
中文名稱:FANCG兔多克隆抗體
-
貨號:CSB-PA272939
-
規格:¥1100
-
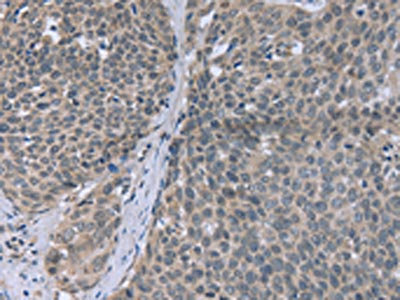
圖片:
-
The image on the left is immunohistochemistry of paraffin-embedded Human cervical cancer tissue using CSB-PA272939(FANCG Antibody) at dilution 1/30, on the right is treated with fusion protein. (Original magnification: ×200)
-
The image on the left is immunohistochemistry of paraffin-embedded Human colon cancer tissue using CSB-PA272939(FANCG Antibody) at dilution 1/30, on the right is treated with fusion protein. (Original magnification: ×200)
-
-
其他:
產品詳情
-
Uniprot No.:
-
基因名:FANCG
-
別名:DNA repair protein XRCC9 antibody; FAG antibody; FANCG antibody; FANCG_HUMAN antibody; Fanconi anaemia complementation group G antibody; Fanconi anemia group G protein antibody; Protein FACG antibody; X ray repair; complementing defective; in Chinese hamster cells 9 antibody; X-ray repair; complementing defective; in Chinese hamster; 9 antibody; XRCC9 antibody
-
宿主:Rabbit
-
反應種屬:Human
-
免疫原:Fusion protein of Human FANCG
-
免疫原種屬:Homo sapiens (Human)
-
標記方式:Non-conjugated
-
抗體亞型:IgG
-
純化方式:Antigen affinity purification
-
濃度:It differs from different batches. Please contact us to confirm it.
-
保存緩沖液:-20°C, pH7.4 PBS, 0.05% NaN3, 40% Glycerol
-
產品提供形式:Liquid
-
應用范圍:ELISA,IHC
-
推薦稀釋比:
Application Recommended Dilution ELISA 1:1000-1:2000 IHC 1:25-1:100 -
Protocols:
-
儲存條件:Upon receipt, store at -20°C or -80°C. Avoid repeated freeze.
-
貨期:Basically, we can dispatch the products out in 1-3 working days after receiving your orders. Delivery time maybe differs from different purchasing way or location, please kindly consult your local distributors for specific delivery time.
-
用途:For Research Use Only. Not for use in diagnostic or therapeutic procedures.
相關產品
靶點詳情
-
功能:DNA repair protein that may operate in a postreplication repair or a cell cycle checkpoint function. May be implicated in interstrand DNA cross-link repair and in the maintenance of normal chromosome stability. Candidate tumor suppressor gene.
-
基因功能參考文獻:
- LOH may predominantly indicate copy number gains in FANCF and losses in FANCG and BRIP1. Integration of copy number data and gene expression proved difficult as the available sample sets did not overlap. PMID: 28440438
- studied the impact of mutations on the function and structure of FANCG PMID: 28024295
- a systems biology approach for elucidating the therapeutic potential of curcumin against FA and leukemia is investigated by analyzing the computational molecular interactions of curcumin ligand with FANC G of FA and seven other key disease targets of leukemia PMID: 27608133
- Patients, homozygous for the FANCG founder mutation, present with severe cytopenia but progress to bone marrow failure at similar ages to other individuals affected with Fanconi anemia of heterogeneous genotype. PMID: 25477267
- founder haplotype analysis of FANCG for the Korean Fanconi anemia population PMID: 25703136
- A new role of FANCG in Homologous recombination repair of interstrand crosslinks through K63Ub-mediated interaction with the Rap80-BRCA1 complex. PMID: 25132264
- Three novel single base pair deletions, resulting in frameshift mutations (c.247delA, c.179delT and c.899delT) were identified in patients with Fanconi anaemia PMID: 24300640
- Areca nut extracts-induced miR-23a was correlated with a reduced FANCG expression and DSB repair, which might contribute to ANE-associated human malignancies. PMID: 21750350
- Study of the molecular evolution of FA genes using database search methods such as PSI-BLAST suggested that FANCG may contain a known domain, and that this protein is a member of the family of tetratricopeptide repeat-containing proteins. PMID: 12432219
- There is remarkably lage sequence variation in FANCG gene mutations and polymorphisms across ethnic and racial backgrounds found in the International Fanconi Anemia Registry they include IVS8-2A>G, IVS11+1G>c, 1794_1803del10, and IVS3+1G>C. PMID: 12552564
- FANCG was able to mediate interaction between FANCA and FANCF, as well as between monomers of FANCA PMID: 12649160
- FANCG is required for efficient homologous recombination-mediated repair of at least some types of DNA double-strand breaks PMID: 12861027
- FANCG interacts directly with BRCA2. PMID: 12915460
- A unique Fanconi-anemia-causing mutation, FANCG splice-site mutation IVS4+3A>G, showed exon 4 skipping. PMID: 15059067
- Primary fibroblasts from patients with Fanconi anemia with reduced FANCG expression show no signs of telomere dysfunction. PMID: 15319283
- FANCG, in addition to stabilising the FA core complex, may have a role in building multiprotein complexes that facilitate homologous recombination repair. PMID: 16621732
- Four human FANCG polymorphic variants show normal biological function. PMID: 17010390
顯示更多
收起更多
-
相關疾病:Fanconi anemia complementation group G (FANCG)
-
亞細胞定位:Nucleus. Cytoplasm. Note=The major form is nuclear. The minor form is cytoplasmic.
-
組織特異性:Highly expressed in testis and thymus. Found in lymphoblasts.
-
數據庫鏈接:
Most popular with customers
-
-
YWHAB Recombinant Monoclonal Antibody
Applications: ELISA, WB, IHC, IF, FC
Species Reactivity: Human, Mouse, Rat
-
Phospho-YAP1 (S127) Recombinant Monoclonal Antibody
Applications: ELISA, WB, IHC
Species Reactivity: Human
-
-
-
-
-















