FAH Antibody
-
中文名稱:FAH兔多克隆抗體
-
貨號:CSB-PA007965LA01HU
-
規格:¥440
-
圖片:
-
Western Blot
Positive WB detected in: Mouse kidney tissue, Mouse stomach tissue
All lanes: FAH antibody at 3.4µg/ml
Secondary
Goat polyclonal to rabbit IgG at 1/50000 dilution
Predicted band size: 47, 39 kDa
Observed band size: 47 kDa -
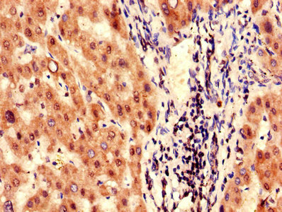
Immunohistochemistry of paraffin-embedded human liver tissue using CSB-PA007965LA01HU at dilution of 1:100
-
Immunofluorescent analysis of Hela cells using CSB-PA007965LA01HU at dilution of 1:100 and Alexa Fluor 488-congugated AffiniPure Goat Anti-Rabbit IgG(H+L)
-
-
其他:
產品詳情
-
產品名稱:Rabbit anti-Homo sapiens (Human) FAH Polyclonal antibody
-
Uniprot No.:
-
基因名:FAH
-
別名:FAHFumarylacetoacetase antibody; FAA antibody; EC 3.7.1.2 antibody; Beta-diketonase antibody; Fumarylacetoacetate hydrolase antibody
-
宿主:Rabbit
-
反應種屬:Human, Mouse
-
免疫原:Recombinant Human Fumarylacetoacetase protein (2-250AA)
-
免疫原種屬:Homo sapiens (Human)
-
標記方式:Non-conjugated
本頁面中的產品,FAH Antibody (CSB-PA007965LA01HU),的標記方式是Non-conjugated。對于FAH Antibody,我們還提供其他標記。見下表:
-
克隆類型:Polyclonal
-
抗體亞型:IgG
-
純化方式:>95%, Protein G purified
-
濃度:It differs from different batches. Please contact us to confirm it.
-
保存緩沖液:Preservative: 0.03% Proclin 300
Constituents: 50% Glycerol, 0.01M PBS, PH 7.4 -
產品提供形式:Liquid
-
應用范圍:ELISA, WB, IHC, IF
-
推薦稀釋比:
Application Recommended Dilution WB 1:2000-1:5000 IHC 1:20-1:200 IF 1:50-1:200 -
Protocols:
-
儲存條件:Upon receipt, store at -20°C or -80°C. Avoid repeated freeze.
-
貨期:Basically, we can dispatch the products out in 1-3 working days after receiving your orders. Delivery time maybe differs from different purchasing way or location, please kindly consult your local distributors for specific delivery time.
-
用途:For Research Use Only. Not for use in diagnostic or therapeutic procedures.
相關產品
靶點詳情
-
基因功能參考文獻:
- Altogether these findings elucidate the molecular basis of HT1 caused by the frequent FAH c.1062+5G>A mutation, and demonstrate the compensatory effect of the c.1061C>A change in promoting exon definition, thus unraveling a rare mechanism leading to FAH immune-reactive mosaicism. PMID: 29497141
- molecular aspects of the FAH gene and its corresponding protein and a complete listing of all the mutations identified to date; highlight of the importance of splicing mutations in hereditary tyrosinemia type 1 PMID: 28755182
- Results from whole exome sequencing revealed a novel homozygous missense variant in FAH causing tyrosinemia type I . This novel variant involves the catalytic pocket of the enzyme, but does not result in increased succinylacetone or tyrosine. PMID: 27397503
- FAH gene mutation is associated with tyrosinemia type 1. PMID: 26565546
- Four splicing mutations affecting exonic or intronic nucleotides of the FAH gene were identified in two hereditary tyrosinemia type I patients. PMID: 23895425
- Two siblings have been described with tyrosinemia type 1 complicated by reversible hypertrophic cardiomyopathy in infancy due to a FAH homozygous mutation. PMID: 24016420
- Compound mutations (R237X and L375P) in the fumarylacetoacetate hydrolase gene causing tyrosinemia type I in a Chinese patient. PMID: 22884142
- Identification of novel mutations in the fumarylacetoacetase gene in Hereditary tyrosinaemia type I. PMID: 22554029
- We detected 11 novel and 6 previously described pathogenic mutations in the fumarylacetoacetase gene in a cohort of 43 patients originating from the Middle East with the acute form hereditary tyrosinemia type I PMID: 21764616
- A missense mutation in the fumarylacetoacetate hydrolase gene, responsible for hereditary tyrosinemia, acts as a splicing mutation. PMID: 11476670
- Data describe the metabolism of fumarylacetoacetate hydrolase mRNA harboring a nonsense mutation, W262X, in lymphoblastoid cell lines derived from hereditary tyrosinemia type I patients. PMID: 15465000
- identification of an alternative nonsense transcript of the fah gene, which despite being subjected to nonsense-mediated mRNA decay, produces a protein in different human tissues PMID: 15638932
- An immunopositive liver nodule was found in a patient with tyrosinemia having a mosaic pattern of FAH. PMID: 15759101
顯示更多
收起更多
-
相關疾?。?/div>Tyrosinemia 1 (TYRSN1)蛋白家族:FAH family組織特異性:Mainly expressed in liver and kidney. Lower levels are also detected in many other tissues.數據庫鏈接:
Most popular with customers
-
-
YWHAB Recombinant Monoclonal Antibody
Applications: ELISA, WB, IHC, IF, FC
Species Reactivity: Human, Mouse, Rat
-
-
-
-
-
-















