F2R Antibody
-
中文名稱:F2R兔多克隆抗體
-
貨號:CSB-PA916397
-
規格:¥1100
-
圖片:
-
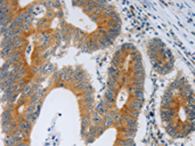
The image on the left is immunohistochemistry of paraffin-embedded Human colon cancer tissue using CSB-PA916397(F2R Antibody) at dilution 1/40, on the right is treated with synthetic peptide. (Original magnification: ×200)
-
The image on the left is immunohistochemistry of paraffin-embedded Human ovarian cancer tissue using CSB-PA916397(F2R Antibody) at dilution 1/40, on the right is treated with synthetic peptide. (Original magnification: ×200)
-
Gel: 10+12%SDS-PAGE, Lysate: 40 μg, Lane 1-3: 293T cells, K562 cells, human fetal kidney tissue, Primary antibody: CSB-PA916397(F2R Antibody) at dilution 1/650, Secondary antibody: Goat anti rabbit IgG at 1/8000 dilution, Exposure time: 2 minutes
-
-
其他:
產品詳情
-
Uniprot No.:
-
基因名:
-
別名:F2R; CF2R; PAR1; TR; Proteinase-activated receptor 1; PAR-1; Coagulation factor II receptor; Thrombin receptor
-
宿主:Rabbit
-
反應種屬:Human
-
免疫原:Synthetic peptide of Human F2R
-
免疫原種屬:Homo sapiens (Human)
-
標記方式:Non-conjugated
-
抗體亞型:IgG
-
純化方式:Antigen affinity purification
-
濃度:It differs from different batches. Please contact us to confirm it.
-
保存緩沖液:-20°C, pH7.4 PBS, 0.05% NaN3, 40% Glycerol
-
產品提供形式:Liquid
-
應用范圍:ELISA,WB,IHC
-
推薦稀釋比:
Application Recommended Dilution ELISA 1:1000-1:5000 WB 1:500-1:2000 IHC 1:50-1:200 -
Protocols:
-
儲存條件:Upon receipt, store at -20°C or -80°C. Avoid repeated freeze.
-
貨期:Basically, we can dispatch the products out in 1-3 working days after receiving your orders. Delivery time maybe differs from different purchasing way or location, please kindly consult your local distributors for specific delivery time.
-
用途:For Research Use Only. Not for use in diagnostic or therapeutic procedures.
相關產品
靶點詳情
-
功能:High affinity receptor for activated thrombin coupled to G proteins that stimulate phosphoinositide hydrolysis. May play a role in platelets activation and in vascular development.
-
基因功能參考文獻:
- The activation of PAR-1 on the cell surface of SGC7901 and AGS cells was significantly reduced after the knockdown of EPCR. By contrast, blockade of PAR-1 reduced the proliferation and migration of gastric cells in vitro PMID: 29484413
- Our structural data showed subtle changes in the binding pose between Vorapaxar and F16357. Transmembrane helices 1, 2, 5, and 7 were most significantly affected; most notably a large kink at F279(5.47) in TM helix 5 of the Vorapaxar complex was completely absent in the F16357 complex. The results of this study facilitate the future development of other therapeutic PAR1 antagonists. PMID: 28881236
- Using protein C-factor VII chimera demonstrate that APC light chain amino acid residues outside the EPCR-binding site enable cytoprotective PAR1 signaling. PMID: 28834159
- Study demonstrated that nerve activation by mucosal biopsy supernatants depends on proteases. This is a common feature of quiescent ulcerative colitis and irritable bowel syndrome (IBS) and may relate to some common gastrointestinal symptoms. However, only proteases in IBS supernatants signal through PAR1. PMID: 29529042
- Data show there was no significant correlation of autoantibodies to coagulation factor II thrombin receptor (F2R; protease-activated receptor 1, PAR1) (PAR1-AB) level with , progression-free (PFS) and overall (OS) survival. PMID: 29848718
- we found that activation of the protease-activated receptor 1 (PAR1) induced secretion of TSLP by the corneal stromal cells... we proposed that TSLP might function as the link between increased protease activity and inflammatory responses or itch sensation in the PMID: 28631887
- PAR-1 in non-small-cell lung cancer is mainly expressed on cells that constitute the pulmonary tumor microenvironment, including vascular endothelial cells, macrophages and stromal fibroblasts. PMID: 28173772
- thrombin binding to PAR-1 receptor activated Gi-protein/c-Src/Pyk2/EGFR/PI3K/Akt/p42/p44 MAPK cascade, which in turn elicited AP-1 activation and ultimately evoked MMP-9 expression and cell migration in SK-N-SH cells. PMID: 27181591
- this study demonstrates that TGFbeta is a positive regulator of PAR-1 expression in A549 lung adenocarcinoma cells, which in turn increases the sensitivity of these cells to thrombin signalling PMID: 27566553
- Taken together, these results indicated that PAR1 signalingmediated cJun activation promotes early apoptosis of HUVEC cells induced by heat stress. PMID: 28447716
- The DHA - naringenin hybrid presented triple antiplatelet activity simultaneously targeting PAR-1, P2Y12 and COX-1 platelet activation pathways PMID: 28844979
- Dabigatran increases platelet reactivity by enhancing the thrombin receptor density on platelets PMID: 27992120
- Data suggest that the abrogation of protease-activated receptor 1 (PAR1)-dependent signaling pathways may prove a promising strategy for gliomas. PMID: 26616854
- these data indicate that KLKB1 induces inflammatory reactions in human dental tissues via protease-activated receptor 1 PMID: 26566265
- In this study, we found upregulation of several hemostasis-related genes, including the thrombin-activatable receptor PAR-1 (protease-activated receptor-1), in Runx1/Cbfb-deleted MLL-AF9 cells. Similar to the effect of Runx1/Cbfb deletion, PAR-1 overexpression induced CDKN1A/p21 expression and attenuated proliferation in MLL-AF9 cells PMID: 27819671
- Data highlight functional differences in proliferation and barrier integrity between dark keratinocytes and fair keratinocytes that are partly associated with their differential expression of PAR1 and PAR2. PMID: 27979585
- the contribution of PAR1 and PAR4 to thrombin-mediated activation of the platelet fibrin receptor (GPIIbIIIa), is reported. PMID: 27784794
- In a Cox regression model, fully adjusted for age, race, sex, BMI, and smoking status, carrying a T allele was not associated with MACE (HR 1.19, 95 % CI 0.89-1.59, P = 0.23) or bleeding (HR 0.73, 95 % CI 0.37-1.4, P = 0.34). In conclusion, in our population, F2R IVS-14 PAR1 variability does not affect risk of MACE or bleeding following PCI. PMID: 26446588
- These results suggest that stabilization of microtubule-unbound tau by phosphorylation at Ser262/356 via the PAR-1/MARK may act in the initial steps of tau mismetabolism in AD pathogenesis PMID: 27023670
- The serum levels of PAR1 might have a diagnostic value in lung cancer patients PMID: 26875892
- identified HMGA2 (high mobility group A2) as an important regulator of PAR1-mediated invasion. Inhibition of PAR1 signaling suppresses HMGA2-driven invasion in breast cancer cells PMID: 26165842
- Thrombin and the PAR-1 activating peptide, TFLLR, lead to the phosphorylation of eNOS-Ser-1177 in human coronary artery endothelial cells, which was blocked by SCH-79797 (SCH), a PAR-1 inhibitor. PMID: 26729042
- Rab11A and Rab11B differentially regulate intracellular trafficking of PAR1 through distinct endosomal sorting mechanisms PMID: 26635365
- Establish FXa as a potentially important asthma mediator, stimulating airway smooth muscle function through actions requiring PAR-1 and annexin A2 and involving integrin coactivation. PMID: 26120939
- we show that the rs2227744A allele signi fi cantly associates with protection from sarcoidosis (P = 0.003, OR = 0.68 (0.52-0.88) PMID: 26278396
- Binding of the PH domain of PAR-1 enables breast cancer growth and extravillous trophoblast invasion. PMID: 26600192
- PZ-128 is a promising antiplatelet agent that provides rapid, specific, dose dependent, and reversible inhibition of platelet protease-activated receptor-1 through a novel intracellular mechanism. PMID: 26681756
- Bladder PAR activation elicits urothelial MIF release and urothelial MIF receptor signaling at least partly through CXCR4 to result in abdominal hypersensitivity without overt bladder inflammation PMID: 26020638
- PAR1-platelet releasate enhances vasculogenesis more potently than PAR4-platelet releasate, and the enhancements require a cooperation of multiple platelet-derived angiogenic regulators. PMID: 25495701
- conjugation of a peptide fragment derived from the third intracellular loop (i3) of the protease-activated receptor 1 (PAR1) to a peptide that can selectively target tumours PMID: 26424552
- Platelet activation with a PAR1 agonist triggered TGF-beta secretion, which induced EMT of via the downregulation of miR-200b expression, and activated platelets had a chemotactic effect on colon cancer cells mediated by the upregulation of CXCR4 PMID: 25846512
- The data reveal a new proprotein convertases -PAR-1-interaction pathway, which offsets the effects of HIV-induced neuroinflammation, viral infection, and potentially the development of HIV-Associated Neurocognitive Disorder. PMID: 26283733
- Protease activated receptor-1 deficiency diminishes bleomycin-induced skin fibrosis PMID: 24842054
- Proteases found in dust derived from animal feed play an important role in eliciting the dust-mediated inflammatory responses at least partially through activation of PAR1 AND PAR2. PMID: 26092994
- Data show that N-linked glycosylation of protease-activated receptor-1 (PAR1) at extracellular loop 2 (ECL2) controls G12/13 versus Gq G-proteins coupling specificity in response to thrombin stimulation. PMID: 26100877
- low levels impact placenta establishment and consequently pregnancy outcome PMID: 25496845
- The i3 pepducin enhances PAR1/Galpha subunit interactions and induces a conformational change in fluorescently labeled PAR1 in a very similar manner to that induced by thrombin. PMID: 25934391
- Apixaban exerts anti-inflammatory effects in mesangial cells by blocking thrombin/protease-activated receptor-1 system. PMID: 25294586
- Human PAR1, expressed at low levels in mouse platelets, is unresponsive to agonist peptides. PMID: 24830314
- provide evidence against the hypothesis that PAR-1 and PAR-4 stimulation of platelets trigger differential release of alpha-granules PMID: 24776597
- The upregulation of MMP-1 protein combined with the overexpression of PAR-1 protein may contribute to the malignant progression of prostate cancer. PMID: 24805876
- High protease-activated receptor-1 expression is associated with colorectal cancer. PMID: 25119598
- Tissue vascularization was found to be significantly increased in the compact tumor mass of glioblastomas compared to their invasion zone and specific overexpression of PAR-1 within tumor cells and within tumor blood vessels depending upon the tumor area. PMID: 24620969
- Data indicate that proteinase-activated receptor 1 (PAR1) was prominently expressed in hematopoietic stem cells. PMID: 24740120
- analysis of a P2Y12 receptor mutation and a function-reducing polymorphism in protease-activated receptor 1 in a patient with chronic bleeding [case report] PMID: 24612435
- PAR-1 is post-transcriptionally regulated by miR-20b microRNA in human melanoma cells. PAR-1 was found to be expressed in metastatic melanoma cells but was barely detectable in primary melanoma. PMID: 24405508
- PAR-1 may play an important role in the metastasis of lung giant cell carcinoma cells by up-regulating intracellular calcium. PMID: 20388375
- Activation of PAR-1 stimulates MMP-2 secretion, inhibits rheumatoid arthritis synovial fibroblasts growth and invasion, and decreases production of IL-17 and TNFalpha by them. PMID: 21905006
- PAR-1 plays a key role in melanoma progression. PAR-1 & its activating factors on tumor cells & the surrounding stroma induce coagulation & cell signaling promotoing the metastatic phenotype. Review. PMID: 22009534
- Our results also show that platelet PAI-1 is increased if incubated for 24 hours, both with addition of PAR1-activating peptide and without activation, which could indicate de novo synthesis. PMID: 22283974
顯示更多
收起更多
-
亞細胞定位:Cell membrane; Multi-pass membrane protein.
-
蛋白家族:G-protein coupled receptor 1 family
-
組織特異性:Platelets and vascular endothelial cells.
-
數據庫鏈接:
Most popular with customers
-
-
Phospho-YAP1 (S127) Recombinant Monoclonal Antibody
Applications: ELISA, WB, IHC
Species Reactivity: Human
-
-
-
-
-
-















