EZR Antibody
-
中文名稱:EZR兔多克隆抗體
-
貨號:CSB-PA02159A0Rb
-
規格:¥440
-
圖片:
-
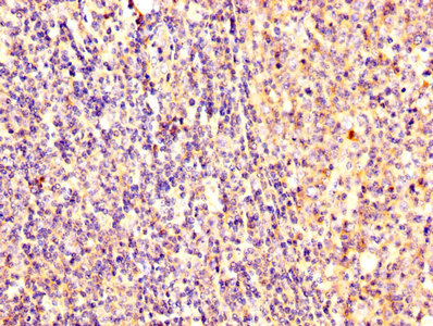
IHC image of CSB-PA02159A0Rb diluted at 1:300 and staining in paraffin-embedded human tonsil tissue performed on a Leica BondTM system. After dewaxing and hydration, antigen retrieval was mediated by high pressure in a citrate buffer (pH 6.0). Section was blocked with 10% normal goat serum 30min at RT. Then primary antibody (1% BSA) was incubated at 4°C overnight. The primary is detected by a biotinylated secondary antibody and visualized using an HRP conjugated SP system.
-
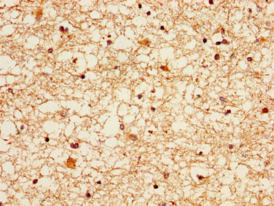
IHC image of CSB-PA02159A0Rb diluted at 1:300 and staining in paraffin-embedded human brain tissue performed on a Leica BondTM system. After dewaxing and hydration, antigen retrieval was mediated by high pressure in a citrate buffer (pH 6.0). Section was blocked with 10% normal goat serum 30min at RT. Then primary antibody (1% BSA) was incubated at 4°C overnight. The primary is detected by a biotinylated secondary antibody and visualized using an HRP conjugated SP system.
-
Immunofluorescence staining of Hela cells with CSB-PA02159A0Rb at 1:100, counter-stained with DAPI. The cells were fixed in 4% formaldehyde, permeabilized using 0.2% Triton X-100 and blocked in 10% normal Goat Serum. The cells were then incubated with the antibody overnight at 4°C. The secondary antibody was Alexa Fluor 488-congugated AffiniPure Goat Anti-Rabbit IgG(H+L).
-
-
其他:
產品詳情
-
產品名稱:Rabbit anti-Homo sapiens (Human) EZR Polyclonal antibody
-
Uniprot No.:
-
基因名:
-
別名:Villin 2 ezrin antibody; CVIL antibody; CVL antibody; Cytovillin 2 antibody; Cytovillin antibody; DKFZp762H157 antibody; Epididymis secretory protein Li 105 antibody; EZR antibody; EZRI_HUMAN antibody; Ezrin antibody; FLJ26216 antibody; HEL S 105 antibody; MGC1584 antibody; p81 antibody; VIL 2 antibody; VIL2 antibody; Villin 2 (ezrin) antibody; Villin 2 antibody; Villin-2 antibody; Villin2 antibody
-
宿主:Rabbit
-
反應種屬:Human
-
免疫原:Recombinant Human Ezrin protein (1-251AA)
-
免疫原種屬:Homo sapiens (Human)
-
標記方式:Non-conjugated
本頁面中的產品,EZR Antibody (CSB-PA02159A0Rb),的標記方式是Non-conjugated。對于EZR Antibody,我們還提供其他標記。見下表:
-
克隆類型:Polyclonal
-
抗體亞型:IgG
-
純化方式:>95%, Protein G purified
-
濃度:It differs from different batches. Please contact us to confirm it.
-
保存緩沖液:Preservative: 0.03% Proclin 300
Constituents: 50% Glycerol, 0.01M PBS, PH 7.4 -
產品提供形式:Liquid
-
應用范圍:ELISA, IHC, IF
-
推薦稀釋比:
Application Recommended Dilution IHC 1:200-1:500 IF 1:50-1:200 -
Protocols:
-
儲存條件:Upon receipt, store at -20°C or -80°C. Avoid repeated freeze.
-
貨期:Basically, we can dispatch the products out in 1-3 working days after receiving your orders. Delivery time maybe differs from different purchasing way or location, please kindly consult your local distributors for specific delivery time.
-
用途:For Research Use Only. Not for use in diagnostic or therapeutic procedures.
相關產品
靶點詳情
-
功能:Probably involved in connections of major cytoskeletal structures to the plasma membrane. In epithelial cells, required for the formation of microvilli and membrane ruffles on the apical pole. Along with PLEKHG6, required for normal macropinocytosis.
-
基因功能參考文獻:
- detection of Ezrin and E-cadherin expression in cervical smears, could be a potential prognostic marker for identifying cervical lesions with high-risk of progression to invasive cervical cancer, and may help on the selection of an appropriate therapy or avoid unnecessary treatment PMID: 29587669
- Ezrin and myosin II play critical roles in enhancing line tension by promoting the formation of an actomyosin ring. PMID: 28643776
- these findings suggest that baicalein inhibits the proliferation, migration and invasion and induces apoptosis in Osteosarcoma (OS) cells by activating the miR183/Ezrin pathway, revealing a novel mechanism underlying antiOS effects of baicalein. PMID: 29845278
- Ezrin-anchored PKA phosphorylates serine 369 and 373 on connexin 43 to enhance gap junction assembly, communication, and cell fusion. PMID: 29259079
- High Ezrin expression is associated with osteosarcoma. PMID: 29656060
- L1CAM promotes esophageal squamous cell carcinoma tumorigenicity by upregulating ezrin expression. PMID: 28939985
- This is the first study to verify the relationship of the expression of RhoA and Ezrin proteins in vaginal tissue of Postmenopausal atrophic vagina. PMID: 28843271
- ezrin facilitates AQP2 endocytosis, thus linking the dynamic actin cytoskeleton network with AQP2 trafficking. PMID: 28754689
- FUT4/LeY was critical to the TAMs-mediated EMT; this process might be associated with the up-regulation of Ezrin phosphorylation by FUT4/LeY-mediated fucosylation PMID: 28423676
- CPI-17 drives Ras activity and tumorigenesis in melanomas in a two-fold way; inactivation of the tumor suppressor merlin and activation of the growth promoting ERM family. PMID: 27793041
- Data suggest that EGF induces colorectal cancer cells to undergo epithelial-mesenchymal transition, enhances their ability to invade/migrate, and promotes phosphorylation of Ezrin at Tyr353. (EGF = epidermal growth factor) PMID: 28535417
- Binding of phosphatidylinositol 4,5-biphosphate to ezrin induces a conformational change permitting the insertion of the LOK C-terminal domain to wedge apart the membrane and F-actin-binding domains of ezrin. The N-terminal LOK kinase domain can then access a site 40 residues distal from the consensus sequence that collectively direct phosphorylation of the appropriate threonine residue. PMID: 28430576
- The expression pattern and subcellular localization of ezrin and moesin correlate with clinicopathological variables such as patients' age, tumor grade and hormonal status. PMID: 28624994
- Ezrin represents a promising target for the development of strategies aimed at preventing the progression of cervical cancer. PMID: 26933912
- Ezrin S66 phosphorylation enhances filopodia formation, contributing to the regulation of invasion and metastasis of esophageal squamous cell carcinoma cells PMID: 28504189
- The results reveal a supportive role of ERMs in cortical activities during cytokinesis, and also provide insight into the selective mechanism that preferentially associates cytokinesis-relevant proteins with the division site. PMID: 28889652
- Ezrin protein expression is a promising biomarker in estimating the outcome of stage II colorectal cancer patients. When combined with microsatellite status its ability in predicting disease outcome is further improved PMID: 28953975
- Ezrin is down-regulated during cholangiocarcinogenesis, and its loss results in a more aggressive phenotype. PMID: 26791814
- A signature of ezrin-interacting proteins accurately predicts esophageal squamous cell carcinoma patient survival or tumor recurrence. PMID: 28603065
- The results of this meta-analysis suggest that ezrin positive immunoexpression confers a higher risk of recurrence and a worse survival in osteosarcoma patients. PMID: 23805177
- PM blebbing triggered SRF-mediated up-regulation of the metastasis-associated ERM protein Ezrin. Notably, Ezrin is sufficient and important to sustain bleb dynamics for cell-in-cell invasion when SRF is suppressed. PMID: 28774893
- EZR is a novel biomarker in terms of invasion among the 3 subtypes of NFPAs, and it is a promising guide for therapeutic decision making as well. PMID: 28093347
- Increased ezrin and HER2 expression in patients with salivary gland carcinomas represents a high-grade histopathological subtype. PMID: 28300573
- SMYD3 enhances tumorigenicity in esophageal squamous cell carcinoma by enhancing transcription of ezrin and LOXL2, which are involved in proliferation, migration, and invasion. PMID: 26980013
- 3-dimensional cell cultures were found to mimic different tumor sites and be applicable as a model. The in vitro results concur with the clinical specimen analysis, suggesting that in ovarian carcinoma, the role of ezrin in disease progression is more pronounced than that of p130Cas. PMID: 27622508
- The expression of ezrin was up-regulated and significantly associated with the stage, lymph node involvement and distant metastasis PMID: 28261953
- there were significant decreases in intercellular adhesion molecules 1 (ICAM1), ezrin (EZR), mitogen-activated protein kinase kinase 2 (MAP2K2), and nitric oxide synthase 3 (NOS3) gene expressions in metabolic syndrome patients. PMID: 26956845
- Immunohistochemistry staining for ezrin, was similar in AFX and UPS tumors. PMID: 28079637
- Ezrin and HER2/neu are overexpressed and coexpressed in osteosarcoma with adverse prognostic features such as high grade. Therefore, ezrin and HER2/neu could be potential prognostic markers and treatment targets for osteosarcoma PMID: 26067138
- Study indicates the usual relationship between estrogen and ezrin induction is abridged. Study suggests that changes in ezrin may be associated with the development of the invasive phenotype and penetration of the basement membrane. PMID: 27688241
- The present study showed over-expression of ezrin and moesin in colorectal carcinoma PMID: 27042764
- study indicates that the presence of autoantibodies against Ezrin is significantly associated with ESCC PMID: 28298808
- Ezrin protein is highly expressed in human PHC tissue which can be used for the prediction of metastasis disease. PMID: 28230040
- results show that the activation of the ezrin-pAkt signaling axis is associated with the more aggressive clinicopathological features of PPA compared with LPA PMID: 27059464
- Ezrin and p65 interactions in MDA-MB-231 cells were confirmed using co-immunoprecipitation. PMID: 27420986
- the distribution of NHERF1 in ovarian cancer and reveals a different regulation of NHERF1 and EZRIN expression in ovarian tumors which represents the complexity of the molecular changes of this disease PMID: 27823775
- Phosphorylation of ezrin together with its binding to phosphatidylinositol-4,5-bisphosphate tethers the F508del CFTR to the actin cytoskeleton, stabilizing it on the apical membrane and rescuing the sub-membrane compartmentalization of cAMP and activated PKA. PMID: 26823603
- Data show that gene silence of ezrin inhibits the proliferation and invasion of prostate cancer PC-3 cells, meanwhile the level of E-cadherin is upregulated and N-cadherin is downregulated. PMID: 27371852
- Knockdown of ezrin in HUVECs significantly induced the morphogenetic changes and cytoskeletal reorganization of the transfected cells, and also reduced cell migration and angiogenesis capacity in vitro. PMID: 27072970
- High EZRIN expression is associated with prostate cancer. PMID: 26799186
- Elevated Ezrin expression is associated with a poor prognosis in a variety of solid tumors. PMID: 26632332
- These findings suggest that ezrin-EGFR interaction augments oncogenic functions of EGFR and that targeting ezrin may provide a potential novel approach to overcome erlotinib resistance in non-small cell lung cancer cells PMID: 26936397
- The value of ezrin expression as a prognostic biomarker is further consolidated in urothelial cancer. PMID: 25278252
- Suggest a role for ezrin in advanced glycation end product-induced podocyte damage. PMID: 26032400
- Phospho-Ezrin/Radixin/Moesin (ERM) inhibit cell adhesion, and therefore, dephosphorylation of ERM proteins is essential for cell adhesion.Phospho-ERM induce formation and/or maintenance of spherical cell shape. PMID: 26555866
- Activation of liver PKCs during cholestasis leads to Ezrin Thr567 phosphorylation resulting in MRP2 internalization and degradation where ubiquitin ligase E3 GP78 is involved. PMID: 26212029
- Data indicate that a quinoline-based small molecule, NSC305787, directly binds to ezrin and inhibits its functions. PMID: 26358752
- We identified and confirmed that Fra-1 affected the expression level of CTTN and EZR in vitro through LC-MS/MS analyses and western blot technology. PMID: 26330014
- Data show that both Ezrin and SIX1 proteins are highly expressed in alpha fetoprotein-negative hepatocellular carcinoma (HCC) and significantly related with the TNM stage. PMID: 26927385
- it was found that expression of miR-96 was negatively correlated with the metastatic ability of renal cell carcinoma, and that downregulation of miR-96 could suppress the invasion of renal cancer cell via downregulation of Ezrin expression. PMID: 26419932
顯示更多
收起更多
-
亞細胞定位:Apical cell membrane; Peripheral membrane protein; Cytoplasmic side. Cell projection. Cell projection, microvillus membrane; Peripheral membrane protein; Cytoplasmic side. Cell projection, ruffle membrane; Peripheral membrane protein; Cytoplasmic side. Cytoplasm, cell cortex. Cytoplasm, cytoskeleton. Cell projection, microvillus.
-
組織特異性:Expressed in cerebral cortex, basal ganglia, hippocampus, hypophysis, and optic nerve. Weakly expressed in brain stem and diencephalon. Stronger expression was detected in gray matter of frontal lobe compared to white matter (at protein level). Component
-
數據庫鏈接:
Most popular with customers
-
-
YWHAB Recombinant Monoclonal Antibody
Applications: ELISA, WB, IHC, IF, FC
Species Reactivity: Human, Mouse, Rat
-
Phospho-YAP1 (S127) Recombinant Monoclonal Antibody
Applications: ELISA, WB, IHC
Species Reactivity: Human
-
-
-
-
-















