EYA1 Antibody
-
中文名稱:EYA1兔多克隆抗體
-
貨號:CSB-PA857862LA01HU
-
規格:¥440
-
圖片:
-
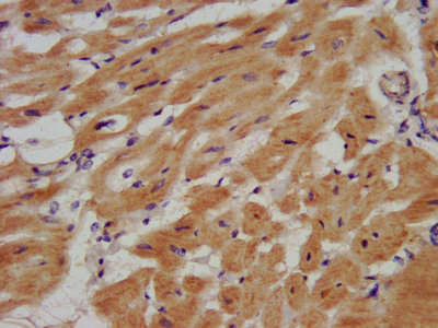
IHC image of CSB-PA857862LA01HU diluted at 1:500 and staining in paraffin-embedded human heart tissue performed on a Leica BondTM system. After dewaxing and hydration, antigen retrieval was mediated by high pressure in a citrate buffer (pH 6.0). Section was blocked with 10% normal goat serum 30min at RT. Then primary antibody (1% BSA) was incubated at 4°C overnight. The primary is detected by a biotinylated secondary antibody and visualized using an HRP conjugated SP system.
-
Immunofluorescence staining of Hela cells with CSB-PA857862LA01HU at 1:166, counter-stained with DAPI. The cells were fixed in 4% formaldehyde, permeabilized using 0.2% Triton X-100 and blocked in 10% normal Goat Serum. The cells were then incubated with the antibody overnight at 4°C. The secondary antibody was Alexa Fluor 488-congugated AffiniPure Goat Anti-Rabbit IgG(H+L).
-
-
其他:
產品詳情
-
產品名稱:Rabbit anti-Homo sapiens (Human) EYA1 Polyclonal antibody
-
Uniprot No.:
-
基因名:EYA1
-
別名:BOP antibody; BOR antibody; BOS1 antibody; EYA transcriptional coactivator and phosphatase 1 antibody; Eya1 antibody; EYA1_HUMAN antibody; Eyes absent 1 antibody; Eyes absent 1 homolog antibody; Eyes absent homolog 1 (Drosophila) antibody; Eyes absent homolog 1 antibody; Eyes absent homolog1 antibody; MGC141875 antibody; OFC1 antibody
-
宿主:Rabbit
-
反應種屬:Human
-
免疫原:Recombinant Human Eyes absent homolog 1 protein (168-321AA)
-
免疫原種屬:Homo sapiens (Human)
-
標記方式:Non-conjugated
本頁面中的產品,EYA1 Antibody (CSB-PA857862LA01HU),的標記方式是Non-conjugated。對于EYA1 Antibody,我們還提供其他標記。見下表:
-
克隆類型:Polyclonal
-
抗體亞型:IgG
-
純化方式:>95%, Protein G purified
-
濃度:It differs from different batches. Please contact us to confirm it.
-
保存緩沖液:Preservative: 0.03% Proclin 300
Constituents: 50% Glycerol, 0.01M PBS, pH 7.4 -
產品提供形式:Liquid
-
應用范圍:ELISA, IHC, IF
-
推薦稀釋比:
Application Recommended Dilution IHC 1:500-1:1000 IF 1:50-1:200 -
Protocols:
-
儲存條件:Upon receipt, store at -20°C or -80°C. Avoid repeated freeze.
-
貨期:Basically, we can dispatch the products out in 1-3 working days after receiving your orders. Delivery time maybe differs from different purchasing way or location, please kindly consult your local distributors for specific delivery time.
-
用途:For Research Use Only. Not for use in diagnostic or therapeutic procedures.
相關產品
靶點詳情
-
功能:Functions both as protein phosphatase and as transcriptional coactivator for SIX1, and probably also for SIX2, SIX4 and SIX5. Tyrosine phosphatase that dephosphorylates 'Tyr-142' of histone H2AX (H2AXY142ph) and promotes efficient DNA repair via the recruitment of DNA repair complexes containing MDC1. 'Tyr-142' phosphorylation of histone H2AX plays a central role in DNA repair and acts as a mark that distinguishes between apoptotic and repair responses to genotoxic stress. Its function as histone phosphatase may contribute to its function in transcription regulation during organogenesis. Has also phosphatase activity with proteins phosphorylated on Ser and Thr residues (in vitro). Required for normal embryonic development of the craniofacial and trunk skeleton, kidneys and ears. Together with SIX1, it plays an important role in hypaxial muscle development; in this it is functionally redundant with EYA2.
-
基因功能參考文獻:
- SIX1/EYA1 mutations might be partially responsible for conotruncal heart defects. PMID: 29043394
- These results identify the conserved arginine residues of EYA1 that play an important role for its activity, thus implicating arginine methylation as a novel regulatory mechanism of EYA function. PMID: 28213359
- A variety of DNA changes including large deletions underlie BOR syndrome in different populations, which can be detected with comprehensive genetic testing PMID: 28583505
- Results found that EYA1 affects FBW7-Myc binding to regulate the FBW7-mediated Myc degradation machinery in breast cancer cells. PMID: 27795300
- miR-101 is downregulated in breast cancer, and can inhibit cell proliferation and promote apoptosis by targeting EYA1 through the Notch signaling pathway. PMID: 27082308
- Association between EYA1 three SNPs and NSOCs and suggested that maternal environmental tobacco smoke, common cold history, and alcohol consumption. PMID: 25640282
- Our findings implicate this EYA1 partial duplication segregating with branchiootic phenotype in a Brazilian pedigree and is the first description of a large duplication leading to the Branchiootorenal syndrome/BO syndrom PMID: 25926005
- Three causative genes for BOR syndrome have been reported thus far: EYA1, SIX1, and SIX5, but the causative genes for approximately half of all BOR patients remain unknown.[review] PMID: 24730701
- we proved that the branchiooto (BO) syndrome in these cases was caused by germinal mosaicism of the EYA1 gene in either the mother or father. PMID: 25780253
- PI3K/Akt signaling enhances Eya1 transcription activity, which largely attributes to the phosphorylation-induced reduction of Eya1 SUMOylation. PMID: 24954506
- Low EYA1 expression is associated with gastric carcinoma. PMID: 24729159
- results showed evidence of weak association between the two SNPs of EYA1 (rs13260349 and rs2380716) and nonsyndromic orofacial clefts. PMID: 23601008
- The EYA1 phosphatase regulates cell-cycle control via transcriptional complex formation at the cyclin D1 promoter. PMID: 23636126
- Novel EYA1 mutations may add to the genotypic and phenotypic spectrum of BOR syndrome in the East Asian population. PMID: 23840632
- A novel EYA1 splice site mutation was found to be associated with Branchio-Oto-Renal Syndrome and focal glomerulosclerosis. PMID: 23506628
- EYA1 is efficiently degraded during mitotic exit in a ANAPC1-dependent manner and these two proteins physically interact. PMID: 23263983
- Two novel EYA1 mutations (c.466C>T and c.1735delG) were identified in two families with BOR syndrome. PMID: 22447252
- A 23 year old woman with Branchio-oto-renal syndrome presented with a novel heterozygous mutation 1420-1421delCC in exon 14 of EYA-1 gene. PMID: 21955869
- Study reports a screening of 140 patients from 124 families with Branchio-oto-renal and identified 36 EYA1 mutations in 42 unrelated patients, 2 mutations, and 1 change of unknown significance in SIX1 in 3 unrelated patients, but no mutation in SIX5. PMID: 21280147
- This report describes the expanded phenotype of individuals, resulting from contiguous gene deletion involving the EYA1 gene and provides a molecular description of the genomic rearrangements involving this gene in branchio-oto-renal syndrome. PMID: 20979191
- Data report the identification of the related proteins Sipl1 (Shank-interacting protein-like 1) and Rbck1 (RBCC protein interacting with PKC1) as novel interaction partners of Eya1. PMID: 20956555
- Hypomethylation of EYA1 in microtia may be related to the pathogenesis of the disease. PMID: 20209935
- Mutations in the EYA1 gene have been identified in both branchio-oto and branchio-oto-renal syndromes. PMID: 11683347
- Defective protein-protein interactions of mutations in the EYA domain underlie brachio-oto-renal syndrome. PMID: 11950062
- These results suggest that the S189G mutation is a candidate mutation for Branchio-Oto syndrome. PMID: 12701758
- three Six1 mutations are crucial for Eya1-Six1 interaction, and the two mutations within the homeodomain region are essential for specific Six1-DNA binding PMID: 15141091
- EYA1 mutation represents a previously undescribed cause of cardiofacial syndrome. PMID: 15493068
- Mutations in the EYA1 gene on the chromosome band 8q13.3, have been identified to be the underlying genetic defects. We found a Korean family with BOR syndrome and identified a novel insertion mutation (c.1474_1475insC; R492PfsX40) in the EYA1 gene. PMID: 16005355
- Point mutations altering the EYA1 reading frame, can be found in patients with oto-facio-cervical syndrome. PMID: 16441263
- A novel EYA1 mutation was identified in a newborn with laryngomalacia, glossoptosis, retrognathism, and funnel chest. PMID: 16691597
- We report a second Korean family with branchio-oto-renal syndrome with a novel nonsense EYA1 mutation PMID: 17049623
- Four EYA1 mutations provide a molecular diagnosis of branchio-oto-renal syndrome in five out of six Danish families. PMID: 17637804
- results indicate that mutations in EYA1 and TCF2 rarely result in an isolated Congenital anomalies of the kidney and urinary tract (CAKUT) phenotype. PMID: 18065799
- EYA1 mutations were found in 31% of families fitting established clinical criteria for branchio-oto-renal syndrome (BOR) and 7% of families with questionable BOR phenotype PMID: 18220287
- A mutation suggests that certain transcripts of EYA1 escape nonsense-mediated decay and encode truncated EYA proteins that may be capable of dominant-negative interactions producing distinct phenotypic features within the BOR spectrum. PMID: 19206155
- Familial transmission of Goldenhar syndrome is not due to mutations in EYA1. PMID: 19213029
- A novel one-base-pair deletion in the EYA1 gene, resulting in a truncated protein (c.321delT; p.Ala107fs), was found in Korean males with Branchio-oto-renal syndrome. PMID: 19667416
- miR-562 expression is reduced in Wilms' tumor and may contribute to tumorigenesis by deregulating target gene EYA1. PMID: 19789318
顯示更多
收起更多
-
相關疾病:Branchiootorenal syndrome 1 (BOR1); Otofaciocervical syndrome 1 (OTFCS1); Branchiootic syndrome 1 (BOS1); Anterior segment anomalies with or without cataract (ASA)
-
亞細胞定位:Cytoplasm. Nucleus.
-
蛋白家族:HAD-like hydrolase superfamily, EYA family
-
組織特異性:In the embryo, highly expressed in kidney with lower levels in brain. Weakly expressed in lung. In the adult, highly expressed in heart and skeletal muscle. Weakly expressed in brain and liver. No expression in eye or kidney.
-
數據庫鏈接:
Most popular with customers
-
-
YWHAB Recombinant Monoclonal Antibody
Applications: ELISA, WB, IHC, IF, FC
Species Reactivity: Human, Mouse, Rat
-
Phospho-YAP1 (S127) Recombinant Monoclonal Antibody
Applications: ELISA, WB, IHC
Species Reactivity: Human
-
-
-
-
-















