EXOC7 Antibody
-
中文名稱:EXOC7兔多克隆抗體
-
貨號:CSB-PA007886LA01HU
-
規格:¥440
-
圖片:
-
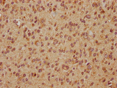
IHC image of CSB-PA007886LA01HU diluted at 1:560 and staining in paraffin-embedded human glioma cancer performed on a Leica BondTM system. After dewaxing and hydration, antigen retrieval was mediated by high pressure in a citrate buffer (pH 6.0). Section was blocked with 10% normal goat serum 30min at RT. Then primary antibody (1% BSA) was incubated at 4°C overnight. The primary is detected by a biotinylated secondary antibody and visualized using an HRP conjugated SP system.
-
Immunofluorescence staining of U251 cells with CSB-PA007886LA01HU at 1:186, counter-stained with DAPI. The cells were fixed in 4% formaldehyde, permeabilized using 0.2% Triton X-100 and blocked in 10% normal Goat Serum. The cells were then incubated with the antibody overnight at 4°C. The secondary antibody was Alexa Fluor 488-congugated AffiniPure Goat Anti-Rabbit IgG(H+L).
-
Western Blot
Positive WB detected in: Hela whole cell lysate, 293 whole cell lysate, PC-3 whole cell lysate
All lanes: EXOC7 antibody at 1:2000
Secondary
Goat polyclonal to rabbit IgG at 1/50000 dilution
Predicted band size: 84, 79, 75, 33, 78, 81 kDa
Observed band size: 75 kDa
-
-
其他:
產品詳情
-
產品名稱:Rabbit anti-Homo sapiens (Human) EXOC7 Polyclonal antibody
-
Uniprot No.:
-
基因名:
-
別名:2 5 3p antibody; DKFZp686J04253 antibody; EX070 antibody; EXO70 antibody; Exo70p antibody; EXOC 1 antibody; EXOC 7 antibody; EXOC1 antibody; Exoc7 antibody; EXOC7_HUMAN antibody; Exocyst complex component 7 antibody; Exocyst complex component Exo70 antibody; FLJ40965 antibody; FLJ46415 antibody; KIAA1067 antibody; Rexo70 antibody; YJL085W antibody
-
宿主:Rabbit
-
反應種屬:Human
-
免疫原:Recombinant Human Exocyst complex component 7 protein (521-735AA)
-
免疫原種屬:Homo sapiens (Human)
-
標記方式:Non-conjugated
本頁面中的產品,EXOC7 Antibody (CSB-PA007886LA01HU),的標記方式是Non-conjugated。對于EXOC7 Antibody,我們還提供其他標記。見下表:
-
克隆類型:Polyclonal
-
抗體亞型:IgG
-
純化方式:>95%, Protein G purified
-
濃度:It differs from different batches. Please contact us to confirm it.
-
保存緩沖液:Preservative: 0.03% Proclin 300
Constituents: 50% Glycerol, 0.01M PBS, pH 7.4 -
產品提供形式:Liquid
-
應用范圍:ELISA, WB, IHC, IF
-
推薦稀釋比:
Application Recommended Dilution WB 1:1000-1:5000 IHC 1:500-1:1000 IF 1:50-1:200 -
Protocols:
-
儲存條件:Upon receipt, store at -20°C or -80°C. Avoid repeated freeze.
-
貨期:Basically, we can dispatch the products out in 1-3 working days after receiving your orders. Delivery time maybe differs from different purchasing way or location, please kindly consult your local distributors for specific delivery time.
-
用途:For Research Use Only. Not for use in diagnostic or therapeutic procedures.
相關產品
靶點詳情
-
功能:Component of the exocyst complex involved in the docking of exocytic vesicles with fusion sites on the plasma membrane. In adipocytes, plays a crucial role in targeting SLC2A4 vesicle to the plasma membrane in response to insulin, perhaps directing the vesicle to the precise site of fusion. It is required for neuron survival and plays an essential role in cortical development.
-
基因功能參考文獻:
- the results identify Exo70 as a novel transcriptional target of HNF4alpha to promote cell cycle progression in hepatoma, thus provide a basis for the development of therapeutic strategies for hepatocellular carcinoma. PMID: 26848864
- the expression of CTTN, Exo70 and MMP-9 in HCC cells was detected and their relations with the ability of migration and invasion of hepatoma carcinoma cells were evaluated PMID: 27025610
- GIV directly and constitutively binds the exocyst complex subunit Exo-70 and also associates with GLUT4-storage vesicles (GSVs) exclusively upon insulin stimulation. PMID: 26514725
- We show that Exo70, a component of the exocyst complex, undergoes isoform switching mediated by ESRP1, a pre-mRNA splicing factor that regulates epithelial mesenchymal transition. PMID: 24331928
- Exo70 thus represents a membrane-bending protein that may couple actin dynamics and plasma membrane remodeling for morphogenesis. PMID: 23948253
- Exo70 is involved in caveolin-1 recycling to the plasma membrane during re-adhesion of the cells to the substratum. PMID: 23300727
- Exocyst component Exo70 is a direct substrate of the extracellular signal-regulated kinases 1/2, their phosphorylation enhances the binding of Exo70 to other exocyst components and promotes the assembly of the exocyst complex. PMID: 22595671
- PIPKIgamma and phosphatidyl inositol phosphate pools at nascent E-cadherin contacts cue Exo70 targeting and orient the tethering of exocyst-associated E-cadherin PMID: 22049025
顯示更多
收起更多
-
亞細胞定位:Cytoplasm, cytosol. Cell membrane; Peripheral membrane protein. Midbody, Midbody ring.
-
蛋白家族:EXO70 family
-
組織特異性:Abundant in the ventricular zone, the outer subventricular zone and the cortical plate of the fetal cortex.
-
數據庫鏈接:
Most popular with customers
-
-
YWHAB Recombinant Monoclonal Antibody
Applications: ELISA, WB, IHC, IF, FC
Species Reactivity: Human, Mouse, Rat
-
Phospho-YAP1 (S127) Recombinant Monoclonal Antibody
Applications: ELISA, WB, IHC
Species Reactivity: Human
-
-
-
-
-















