ETV6 Antibody
-
中文名稱:ETV6兔多克隆抗體
-
貨號:CSB-PA007860ESR1HU
-
規格:¥440
-
圖片:
-
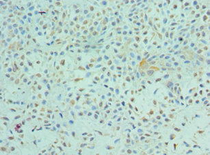
Immunohistochemistry of paraffin-embedded human breast cancer using CSB-PA007860ESR1HU at dilution of 1:100
-
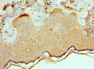
Immunohistochemistry of paraffin-embedded human skin tissue using CSB-PA007860ESR1HU at dilution of 1:100
-
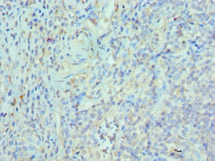
Immunohistochemistry of paraffin-embedded human epityphlon tissue using CSB-PA007860ESR1HU at dilution of 1:100
-
-
其他:
產品詳情
-
產品名稱:Rabbit anti-Homo sapiens (Human) ETV6 Polyclonal antibody
-
Uniprot No.:
-
基因名:
-
別名:ETS related protein Tel1 antibody; ETS translocation variant 6 antibody; Ets variant 6 antibody; Ets variant gene 6 (TEL oncogene) antibody; ETS-related protein Tel1 antibody; ETV 6 antibody; ETV6 antibody; ETV6_HUMAN antibody; Tel antibody; TEL oncogene antibody; TEL/ABL antibody; TEL1 antibody; TEL1 oncogene antibody; Transcription factor ETV 6 antibody; Transcription factor ETV6 antibody
-
宿主:Rabbit
-
反應種屬:Human
-
免疫原:Recombinant Human Transcription factor ETV6 protein (1-300AA)
-
免疫原種屬:Homo sapiens (Human)
-
標記方式:Non-conjugated
-
克隆類型:Polyclonal
-
抗體亞型:IgG
-
純化方式:Antigen Affinity purified
-
濃度:It differs from different batches. Please contact us to confirm it.
-
保存緩沖液:PBS with 0.02% sodium azide, 50% glycerol, pH7.3.
-
產品提供形式:Liquid
-
應用范圍:ELISA, IHC
-
推薦稀釋比:
Application Recommended Dilution IHC 1:20-1:200 -
Protocols:
-
儲存條件:Upon receipt, store at -20°C or -80°C. Avoid repeated freeze.
-
貨期:Basically, we can dispatch the products out in 1-3 working days after receiving your orders. Delivery time maybe differs from different purchasing way or location, please kindly consult your local distributors for specific delivery time.
-
用途:For Research Use Only. Not for use in diagnostic or therapeutic procedures.
相關產品
靶點詳情
-
功能:Transcriptional repressor; binds to the DNA sequence 5'-CCGGAAGT-3'. Plays a role in hematopoiesis and malignant transformation.
-
基因功能參考文獻:
- In this study, the presence of clonal heterogeneity and impaired FCM-MRD clearance among ETV6/RUNX1-positive patients, ultimately influenced prognosis. PMID: 29778230
- In the Title. PMID: 29064485
- Authors have shown that the stability of ETV6/FLT3 is regulated by the Hsp90 chaperone. ETV6/FLT3 fusion protein forms a complex with Hsp90 by coimmunoprecipitation analyses using an Hsp90 antibody. PMID: 29471895
- None of the genitourinary pseudosarcomatous myofibroblastic proliferations was found to harbour USP6 (0/12), ROS1 (0/8) or ETV6 (0/7) rearrangements PMID: 29617048
- ETV6 rearrangements often accompany other molecular mutations. Thirty-three distinct partner bands of ETV6 that contain various fusion genes were detected which plays a vital role in obtaining information about leukaemia genesis. RXDX-101 and PKC412 were reported to be inhibitors of ETV6-NTRK3. PMID: 29894279
- We did not find the AIF1L-ETV6 and ABL1-AIF1L fusions in other ETV6-ABL1-positive ALL. Nevertheless, functional studies would be needed to establish the biological role of AIF1L-ETV6 and ABL1-AIF1L and to determine whether they contribute to leukemogenesis and/or to the final leukemia phenotype. PMID: 29726059
- Data indicate that single nucleotide polymorphism rs2238126 in ETS variant 6 transcription factor (ETV6) associated with colorectal cancer risk. PMID: 27145994
- ETV6/NTRK3 fusion oncogene is associated with papillary thyroid carcinoma. PMID: 29427554
- Nasopharyngeal carcinoma (NPC) super-enhancers with extraordinarily broad and high H3K27ac signals were identified, and they were linked to genes important for oncogenesis including ETV6. ETV6 was also highly expressed in NPC biopsies by immunohistochemistry PMID: 28831010
- ETV6-RUNX1 mutation is associated with childhood acute B-lymphoblastic leukemia. PMID: 29290585
- Several studies addressed the mechanism by which ETV6/RUNX1 (E/R) contributes to leukemogenesis, including the necessary secondary genetic lesions, the cellular framework in which E/R initially arises and the maintenance of a pre-leukemic condition. [review] PMID: 28418909
- Patients with t(12;22)/MN1-EVT6 oncogene, are frequently associated with myeloid neoplasms, poor response to chemotherapy, and inferior outcome. PMID: 29273914
- Presence of fusion the genes BCR/ABL1, ETV6/RUNX1, and MLL/AF4 does not have any impact on the clinical and laboratory features of ALL at presentation. PMID: 26856288
- ETV6/RUNX1 (+) ALL may be heterogeneous in terms of prognosis, and variables such as MRD at end ofremission induction or additional structural abnormalities of 12p could define a subset of patients who are likely to have poor outcome. PMID: 27506214
- Case Reports: mammary analog secretory carcinoma of the thyroid gland with ETV6 rearrangement and ETV6-NTRK3 gene fusion. PMID: 27282352
- The prevalence of ETV6-NTRK3 kinase fusions were determined in papillary thyroid cancer ofan adult population PMID: 29046324
- We report the case of a patient with an initial diagnosis of salivary acinic cell carcinoma later reclassified as Mammary analogue secretory carcinoma after next-generation sequencing revealed an ETV6-NTRK3 fusion. PMID: 26884591
- Letter/Case Report: ETV6/MECOM gene fusion in therapy-related acute myeloid leukemia with t(3;12) and monosomy 7. PMID: 28182364
- ETV6-LYN leukemic fusion transcript due to chromosomes 1, 8 and 12 rearrangement is associated with acute myeloid leukemia. PMID: 29153093
- Report ETV6-rearranged low-grade sinonasal adenocarcinomas. PMID: 28719468
- will also provide an overview of common clinical features as well as recommendations for patient screening and follow-up and will debate whether additional clinical features should be included with the germline ETV6 syndrome[review] PMID: 28555414
- The clinical significance of ETV6-RUNX1. PMID: 28299659
- Deliver the necessary promotional drive for the progression of ETV6-RUNX1+ pre-leukaemic cells. PMID: 28299660
- Data suggest that, for ETV6 (which harbors only a single DNA contact interface for both specific and nonspecific interactions), intersegmental jumping represents a major molecular event that significantly modifies the thermodynamics and kinetics of DNA target search; site-specific DNA binding by ETV6 involves a kinetic intermediate at the cognate sequence. PMID: 28592487
- Our findings suggest ETV6-RUNX1 is associated with space-time clustering of childhood leukemia (CL) and are consistent with an infection interacting with that oncogene in early life leading to clinical leukemia. PMID: 28129329
- EGFR activation leads to the induction of miR-96 expression and suppression of ETV6, which contributes to prostate cancer progression. PMID: 27746161
- we demonstrate the expression of the ETV6-NTRK3 fusion oncogene in a small subset of inflammatory myofibroblastic tumors PMID: 27259007
- ETV6-NTRK3 translocated papillary thyroid carcinomas are locoregionally aggressive and can metastasize distantly. PMID: 28125451
- We report 6 cases of secretory carcinomas of the skin harboring the ETV6-NTRK3 gene fusion PMID: 27631515
- ETV6-ABL1 fusion occurs in both lymphoid and myeloid leukemias; the genomic profile and clinical behavior resemble BCR-ABL1-positive malignancies, including the unfavorable prognosis, particularly of acute leukemias. The poor outcome suggests that treatment with tyrosine kinase inhibitors should be considered for patients with this fusion. PMID: 27229714
- ETV6-NTRK3, MYO5A-NTRK3 and MYH9-NTRK3 fusions are identified in Spitz tumours and demonstrated that NTRK3 fusions constitutively activate the mitogen-activated protein kinase, phosphoinositide 3-kinase and phospholipase Cgamma1 pathways in melanocytes. PMID: 27477320
- A subset of ALK-negative inflammatory myofibroblastic tumour (IMT) have rearrangement of ROS1, ETV6 or NTRK3 as a possible oncogenic mechanism. PMID: 26647767
- loss of ETV6 leads to significant overexpression of CLIC5, which in turn leads to decreased lysosome-mediated apoptosis. Our data suggest that heightened CLIC5 activity could promote a permissive environment for oxidative stress-induced DNA damage accumulation, and thereby contribute to leukemogenesis. PMID: 27540136
- the effects of various aberrations in ETV6 and RUNX1 gene copy number on disease prognosis were evaluated in 21 pediatric patients diagnosed with B-cell ALL with/without t(12;21). PMID: 27393278
- Case Report: ETV6-NTRK3 translocation in primary cutaneous mammary analog secretory carcinoma. PMID: 27763904
- ETV6/RUNX1 transcript is a target of RNA-binding protein IGF2BP1 in t(12;21)(p13;q22)-positive acute lymphoblastic leukemia. PMID: 26852652
- The study shows a low representation of ETV6-RUNX1 fusion oncogenes among pediatric acute lymphoblastic leukemia patients from King Abdulaziz Medical City, National Guard Health Affairs, Riyadh, Saudi Arabia. PMID: 26625756
- the ETV6-NTRK3 fusion might identify a subset of gastrointestinal stromal tumours with peculiar clinicopathological characteristics PMID: 26606880
- our results demonstrate that MIR181A1 and ETV6/RUNX1 regulate each other, and we propose that a double negative loop involving MIR181A1 and ETV6/RUNX1 may contribute to ETV6/RUNX1-driven arrest of differentiation in pre-B ALL. PMID: 26580398
- germline ETV6 mutations associated with leukemia and thrombocytopenia were identifies in multiple individuals. Mutant ETV6 showed decreased ability to regulate expression of other genes. PMID: 26102509
- We observed significant enrichment of the neuroactive ligand-receptor interaction pathway in TCF3-PBX1 as well as an enrichment of genes involved in immunity and infection pathways in ETV6-RUNX1 subtype PMID: 26237075
- Our study demonstrated that ETV6 was markedly involved in the development of non-small cell lung cancer and could serve as a potential prognostic marker for this deadly disease PMID: 26045802
- Suggest germline ETV6 variations as the basis of a novel genetic syndrome associated with predisposition to childhood acute lymphoblastic leukemia. PMID: 26522332
- Molecular analysis of ETV6 gene rearranged mammary analogue secretory carcinoma of salivary glands tumors with lack of classical ETV6-NTRK3 fusion. PMID: 26492182
- the ETV6/ARG oncoprotein contributes to autonomous cell growth by compensating for the requirement of growth factor through activating STAT5 signaling, which leads to the up-regulation of c-Myc. PMID: 25373509
- TEL-AML1 fusion protein blocks B-cell differentiation and downregulates the IRF3-IFNalpha/beta pathway by modulating expression and phosphorylation of IRF3 in human primary hematopoietic precursor cells. PMID: 25893288
- Spectrum of secretory breast carcinoma with ETV6-NTRK3 gene fusion ranging from low-grade to high-grade histology, with occasional low hormonal receptor expression, simplex genomic profiles, and possible unfavorable course. PMID: 26291510
- A key role for ETV6 in platelet formation and leukemia predisposition. PMID: 25807284
- Mammary analogue secretory carcinoma (MASC) is a recently described salivary gland tumour that harbours the recurrent ETV6-NTRK3 translocation. PMID: 25503077
- frequency and spectrum of somatic mutations of ETV6 in hematologic malignancies; findings suggest somatic mutations of ETV6 are infrequent but recurrent in a wider range of myeloid or lymphoid malignancies, including MDS, AML, ETP-ALL, CLL, MPAL, B-ALL and CML PMID: 24997145
顯示更多
收起更多
-
相關疾病:Myeloproliferative disorder chronic with eosinophilia (MPE); Leukemia, acute myelogenous (AML); Thrombocytopenia 5 (THC5)
-
亞細胞定位:Nucleus.
-
蛋白家族:ETS family
-
組織特異性:Ubiquitous.
-
數據庫鏈接:
Most popular with customers
-
-
Phospho-YAP1 (S127) Recombinant Monoclonal Antibody
Applications: ELISA, WB, IHC
Species Reactivity: Human
-
-
-
-
-
-















